Skip to main content

NME5 Antibody - BSA Free

Novus Biologicals, part of Bio-Techne | Catalog # NBP1-92188

Novus Biologicals, part of Bio-Techne
Catalog #
Availability
Size / Price
Qty
Loading...
NBP1-92188
NBP1-92188-25ul

Key Product Details

Species Reactivity

Human

Applications

Immunohistochemistry, Immunohistochemistry-Paraffin

Label

Unconjugated

Antibody Source

Polyclonal Rabbit IgG

Format

BSA Free

Concentration

Concentrations vary lot to lot. See vial label for concentration. If unlisted please contact technical services.

Product Specifications

Immunogen

This antibody was developed against Recombinant Protein corresponding to amino acids: FMFPEVIVEPIPIGQAAKDYLNLHIMPTLLEGLTELCKQKPADPLIWLADWLLKNNPNKPKLCHHPI

Reactivity Notes

Immunogen displays the following percentage of sequence identity for non-tested species: Rat (85%)

Clonality

Polyclonal

Host

Rabbit

Isotype

IgG

Scientific Data Images for NME5 Antibody - BSA Free

Immunohistochemistry-Paraffin: NME5 Antibody [NBP1-92188]

Immunohistochemistry-Paraffin: NME5 Antibody [NBP1-92188]

Immunohistochemistry-Paraffin: NME5 Antibody [NBP1-92188] - Staining of human lung shows weak cytoplasmic positivity in macrophages.
Immunohistochemistry-Paraffin: NME5 Antibody [NBP1-92188]

Immunohistochemistry-Paraffin: NME5 Antibody [NBP1-92188]

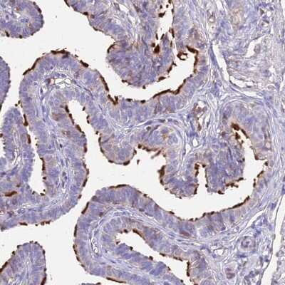
Immunohistochemistry-Paraffin: NME5 Antibody [NBP1-92188] - Staining of human fallopian tube shows strong positivity in cilia of glandular cells.
Immunohistochemistry-Paraffin: NME5 Antibody [NBP1-92188]

Immunohistochemistry-Paraffin: NME5 Antibody [NBP1-92188]

Immunohistochemistry-Paraffin: NME5 Antibody [NBP1-92188] - Staining of human liver shows no positivity in hepatocytes as expected.

Applications for NME5 Antibody - BSA Free

Application
Recommended Usage

Immunohistochemistry

1:1000 - 1:2500

Immunohistochemistry-Paraffin

1:1000 - 1:2500
Application Notes
For IHC-Paraffin, HIER pH 6 retrieval is recommended. Immunocytochemistry/Immunofluorescence Fixation Permeabilization: Use PFA/Triton X-100.

Formulation, Preparation, and Storage

Purification

Affinity purified

Formulation

PBS (pH 7.2) and 40% Glycerol

Format

BSA Free

Preservative

0.02% Sodium Azide

Concentration

Concentrations vary lot to lot. See vial label for concentration. If unlisted please contact technical services.

Shipping

The product is shipped with polar packs. Upon receipt, store it immediately at the temperature recommended below.

Stability & Storage

Store at 4C short term. Aliquot and store at -20C long term. Avoid freeze-thaw cycles.

Background: NME5

NME5, or Nucleoside diphosphate kinase homolog 5, consists of a 212 amino acid isoform that is 24 kDa, and is involved in spermiogenesis. Current disease research is being conducted on the relationship between NME5 and pneumonia. The protein has been linked to several biological processes, including purine metabolism, pyrimidine metabolism, and the pyrimidine ribonucleotide salvage pathway. NME5 has been found to interact with DYDC1, DYDC2, RELA, NFS1, and AK7.

Alternate Names

Inhibitor of p53-induced apoptosis-beta, IPIA-beta, NDK-H 5, NDP kinase homolog 5, NM23H5, NM23-H5, non-metastatic cells 5, protein expressed in (nucleoside-diphosphate kinase), nucleoside diphosphate kinase homolog 5, radial spoke 23 homolog, RSPH23, Testis-specific nm23 homolog

Gene Symbol

NME5

Additional NME5 Products

Product Documents for NME5 Antibody - BSA Free

Certificate of Analysis

To download a Certificate of Analysis, please enter a lot number in the search box below.

Product Specific Notices for NME5 Antibody - BSA Free

This product is for research use only and is not approved for use in humans or in clinical diagnosis. Primary Antibodies are guaranteed for 1 year from date of receipt.

Loading...
Loading...
Loading...
Loading...