Skip to main content

NM23-H1 Antibody (13C2-R)

Novus Biologicals, part of Bio-Techne | Catalog # NBP3-33132

Recombinant Monoclonal Antibody
Novus Biologicals, part of Bio-Techne
Catalog #
Availability
Size / Price
Qty
Loading...
NBP3-33132

Key Product Details

Species Reactivity

Human, Mouse, Rat

Applications

Immunocytochemistry/ Immunofluorescence, Immunohistochemistry, Immunohistochemistry-Paraffin, Western Blot

Label

Unconjugated

Antibody Source

Recombinant Monoclonal Mouse IgG1 Clone # 13C2-R expressed in HEK293

Concentration

1 mg/ml

Product Specifications

Immunogen

Synthetic peptide within Human NM23-H1 aa 1-50 / 152. (Uniprot: P15531)

Localization

Nucleus, Cytoplasm.

Clonality

Monoclonal

Host

Mouse

Isotype

IgG1

Theoretical MW

17 kDa.
Disclaimer note: The observed molecular weight of the protein may vary from the listed predicted molecular weight due to post translational modifications, post translation cleavages, relative charges, and other experimental factors.

Description

Novus Biologicals Mouse NM23-H1 Antibody (13C2-R) (NBP3-33132) is a recombinant monoclonal antibody validated for use in IHC, WB and ICC/IF. All Novus Biologicals antibodies are covered by our 100% guarantee.

Scientific Data Images for NM23-H1 Antibody (13C2-R)

NM23-H1 Antibody (13C2-R)

Western Blot: NM23-H1 Antibody (13C2-R) [NBP3-33132]

Western Blot: NM23-H1 Antibody (13C2-R) [NBP3-33132] - Western blot analysis of NM23-H1 on different lysates with Mouse anti-NM23-H1 antibody (NBP3-33132) at 1/2,000 dilution.

Lane 1: HEK-293 cell lysate (20 ug/Lane)
Lane 2: MCF7 cell lysate (20 ug/Lane)
Lane 3: Jurkat cell lysate (20 ug/Lane)
Lane 4: Raji cell lysate (20 ug/Lane)
Lane 5: HeLa cell lysate (20 ug/Lane)
Lane 6: K-562 cell lysate (20 ug/Lane)
Lane 7: A549 cell lysate (20 ug/Lane)
Lane 8: A431 cell lysate (20 ug/Lane)
Lane 9: HepG2 cell lysate (20 ug/Lane)
Lane 10: NIH/3T3 cell lysate (20 ug/Lane)
Lane 11: C6 cell lysate (20 ug/Lane)
Lane 12: Mouse kidney tissue lysate (40 ug/Lane)
Lane 13: Mouse liver tissue lysate (40 ug/Lane)
Lane 14: Rat brain tissue lysate (40 ug/Lane)

Predicted band size: 17 kDa
Observed band size: 17/20 kDa

Exposure time: 1 minute 59 seconds;

4-20% SDS-PAGE gel.

Proteins were transferred to a PVDF membrane and blocked with 5% NFDM/TBST for 1 hour at room temperature. The primary antibody (NBP3-33132) at 1/2,000 dilution was used in 5% NFDM/TBST at 4C overnight. Goat Anti-Mouse IgG - HRP Secondary Antibody at 1/50,000 dilution was used for 1 hour at room temperature.
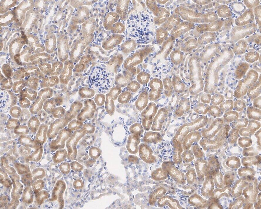
NM23-H1 Antibody (13C2-R)

Immunohistochemistry: NM23-H1 Antibody (13C2-R) [NBP3-33132]

Immunohistochemistry: NM23-H1 Antibody (13C2-R) [NBP3-33132] - Immunohistochemical analysis of paraffin-embedded mouse kidney tissue with Mouse anti-NM23-H1 antibody (NBP3-33132) at 1/2,000 dilution.

The section was pre-treated using heat mediated antigen retrieval with Tris-EDTA buffer (pH 9.0) for 20 minutes. The tissues were blocked in 1% BSA for 20 minutes at room temperature, washed with ddH2O and PBS, and then probed with the primary antibody (NBP3-33132) at 1/2,000 dilution for 1 hour at room temperature. The detection was performed using an HRP conjugated compact polymer system. DAB was used as the chromogen. Tissues were counterstained with hematoxylin and mounted with DPX.
NM23-H1 Antibody (13C2-R)

Immunocytochemistry/ Immunofluorescence: NM23-H1 Antibody (13C2-R) [NBP3-33132]

Immunocytochemistry/ Immunofluorescence: NM23-H1 Antibody (13C2-R) [NBP3-33132] - Immunocytochemistry analysis of HeLa cells labeling NM23-H1 with Mouse anti-NM23-H1 antibody (NBP3-33132) at 1/100 dilution.

Cells were fixed in 4% paraformaldehyde for 20 minutes at room temperature, permeabilized with 0.1% Triton X-100 in PBS for 5 minutes at room temperature, then blocked with 1% BSA in 10% negative goat serum for 1 hour at room temperature. Cells were then incubated with Mouse anti-NM23-H1 antibody (NBP3-33132) at 1/100 dilution in 1% BSA in PBST overnight at 4 ℃. Goat Anti-Mouse IgG H&L (iFluor™ 488) was used as the secondary antibody at 1/1,000 dilution. PBS instead of the primary antibody was used as the secondary antibody only control. Nuclear DNA was labelled in blue with DAPI.

beta Tubulin (red) was stained at 1/100 dilution overnight at +4℃. Goat Anti-Rabbit IgG H&L (iFluor™ 594) were used as the secondary antibody at 1/1,000 dilution.

Applications for NM23-H1 Antibody (13C2-R)

Application
Recommended Usage

Immunocytochemistry/ Immunofluorescence

1:100

Immunohistochemistry-Paraffin

1:2000

Western Blot

1:2000

Formulation, Preparation, and Storage

Purification

Protein A purified

Formulation

PBS (pH7.4), 0.1% BSA and 40% Glycerol

Preservative

0.05% Sodium Azide

Concentration

1 mg/ml

Shipping

The product is shipped with polar packs. Upon receipt, store it immediately at the temperature recommended below.

Stability & Storage

Store at 4C short term. Aliquot and store at -20C long term. Avoid freeze-thaw cycles.

Background: NM23-H1

The nm23 gene, a potential suppressor of metastasis, was originally identified by differential hybridization between two murine melanoma sub-lines, one with a high and the second with a low metastatic capacity. Highly metastatic sub-lines exhibit much lower levels of nm23 than less metastatic cells. Based on sequence analysis, nm23 appears highly related to nucleotide diphosphate kinases (NDP). In humans, NDP kinases A and B are identical to two isotypes of human nm23 homologs, namely nm23-H1 and -H2, respectively. nm23-H2 is identical in sequence to PuF, a transcription factor that binds to nucleasehypersensitive elements at positions 142 to 115 of the human c-Myc promotor.

Long Name

Non-metastatic Protein 23 Homolog 1

Alternate Names

GAAD, NDKA, NDPKA, NM23A, NM23H1, NME1

Gene Symbol

NME1

Additional NM23-H1 Products

Product Documents for NM23-H1 Antibody (13C2-R)

Certificate of Analysis

To download a Certificate of Analysis, please enter a lot number in the search box below.

Product Specific Notices for NM23-H1 Antibody (13C2-R)

This product is for research use only and is not approved for use in humans or in clinical diagnosis. Primary Antibodies are guaranteed for 1 year from date of receipt.

Loading...
Loading...
Loading...
Loading...