Skip to main content

NLRP3/NALP3 Antibody (SC06-23)

Novus Biologicals, part of Bio-Techne | Catalog # NBP2-67639

Recombinant Monoclonal Antibody.
Novus Biologicals, part of Bio-Techne
Catalog #
Availability
Size / Price
Qty
Loading...
NBP2-67639

Key Product Details

Validated by

Biological Validation

Species Reactivity

Validated:

Human, Mouse, Rat

Cited:

Human, Mouse, Rat

Applications

Validated:

Immunohistochemistry, Immunohistochemistry-Paraffin, Western Blot, Flow Cytometry, Immunocytochemistry/ Immunofluorescence, Immunoprecipitation

Cited:

Western Blot, IF/IHC

Label

Unconjugated

Antibody Source

Recombinant Monoclonal Rabbit IgG Clone # SC06-23 expressed in HEK293

Concentration

1 mg/ml

Product Specifications

Immunogen

Recombinant protein within Human NLRP3/NALP3 aa 5-161 / 1036. (SwissProt: Q96P20 Human; SwissProt: Q8R4B8 Mouse; Entrez Gene: 287362 Rat)

Localization

Cytoplasm, Inflammasome, Secreted, Nucleus, Endoplasmic reticulum.

Clonality

Monoclonal

Host

Rabbit

Isotype

IgG

Theoretical MW

118 kDa.
Disclaimer note: The observed molecular weight of the protein may vary from the listed predicted molecular weight due to post translational modifications, post translation cleavages, relative charges, and other experimental factors.

Description

Novus Biologicals Rabbit NLRP3/NALP3 Antibody (SC06-23) (NBP2-67639) is a recombinant monoclonal antibody validated for use in IHC, WB, Flow, ICC/IF and IP. Anti-NLRP3/NALP3 Antibody: Cited in 3 publications. All Novus Biologicals antibodies are covered by our 100% guarantee.

Scientific Data Images for NLRP3/NALP3 Antibody (SC06-23)

Western Blot: NLRP3/NALP3 Antibody (SC06-23) [NBP2-67639]

Western Blot: NLRP3/NALP3 Antibody (SC06-23) [NBP2-67639]

Western Blot: NLRP3/NALP3 Antibody (SC06-23) [NBP2-67639] - Analysis of NLRP3 on human lung tissue lysates. Proteins were transferred to a PVDF membrane and blocked with 5% BSA in PBS for 1 hr at room temperature. The primary antibody (1:500) was used in 5% BSA at room temperature for 2 hrs.Goat Anti-Rabbit IgG - HRP Secondary Antibody at 1:5,000 dilution was used for 1 hr at room temperature.
Immunocytochemistry/ Immunofluorescence: NLRP3/NALP3 Antibody (SC06-23) [NBP2-67639]

Immunocytochemistry/ Immunofluorescence: NLRP3/NALP3 Antibody (SC06-23) [NBP2-67639]

Immunocytochemistry/Immunofluorescence: NLRP3/NALP3 Antibody (SC06-23) [NBP2-67639] - Analysis of HUVEC cells labeling NLRP3/NAPL3 with Rabbit anti-NLRP3 antibody (permeabilized with 0.05% Triton X-100 in PBS for 20 minutes, and then blocked with 2% negative goat serum for 30 minutes at room temperature. Cells were then incubated with Rabbit anti-NLRP3 antibody was used as the secondary antibody at 1/1,000 dilution. PBS instead of the primary antibody was used as the secondary antibody only control. Nuclear DNA was labelled in blue with DAPI.
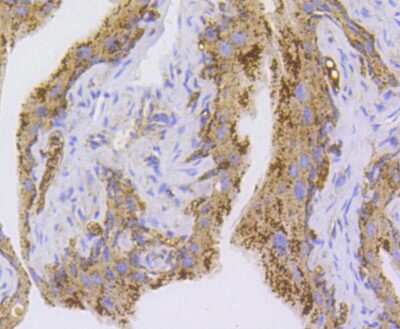
Immunohistochemistry-Paraffin: NLRP3/NALP3 Antibody (SC06-23) [NBP2-67639]

Immunohistochemistry-Paraffin: NLRP3/NALP3 Antibody (SC06-23) [NBP2-67639]

Immunohistochemistry-Paraffin: NLRP3/NALP3 Antibody (SC06-23) [NBP2-67639] - Analysis of paraffin-embedded human liver carcinoma tissue with Rabbit anti-NLRP3/NALP3 antibody washed with ddH2O and PBS, and then probed with the primary antibody at 1/100 dilution for 1 hour at room temperature. The detection was performed using an HRP conjugated compact polymer system. DAB was used as the chromogen. Tissues were counterstained with hematoxylin and mounted with DPX.

Applications for NLRP3/NALP3 Antibody (SC06-23)

Application
Recommended Usage

Flow Cytometry

1:50-1:100

Immunocytochemistry/ Immunofluorescence

1:100-1:500

Immunohistochemistry-Paraffin

1:50-1:400

Western Blot

1:500-1:1000

Formulation, Preparation, and Storage

Purification

Protein A purified

Formulation

TBS (pH7.4), 0.05% BSA, 40% Glycerol

Preservative

0.05% Sodium Azide

Concentration

1 mg/ml

Shipping

The product is shipped with polar packs. Upon receipt, store it immediately at the temperature recommended below.

Stability & Storage

Store at 4C short term. Aliquot and store at -20C long term. Avoid freeze-thaw cycles.

Background: NLRP3/NALP3

NACHT, LRR and PYD domains-containing protein 3 (NALP3), Nucleotide-Binding Oligomerization Domain, or Leucine Rich Repeat and Pyrin Domain Containing 3 (NLRP3) (human NLRP3-isoform 2 theoretical molecular weight 118kDa) acts as a cytosolic receptor for stress-signals initiated by a wide variety of pathogen-associated molecular patterns (PAMPS) and danger-associated molecular patterns (DAMPs) (1). NLRP3 belongs to the family of NOD-like receptors, a type of pattern-recognition receptor (PRR) which participates in innate immune responses. The exact mechanisms leading to NLRP3 activation are still not fully resolved. Some proposed mechanisms for NLRP3 inflammasome activation include induced ion channel flux as exemplified by potassium efflux, sodium influx and calcium signaling, generation of mitochondrial reactive oxygen species (ROS), and lysosomal destabilization (2). Activation of NLRP3 induces its association with the adaptor protein Apoptosis-associated Speck-like protein containing CARD (ASC) forming a complex that binds to Caspase-1 (1, 2). The inflammasome complex, comprised of NLRP3, ASC and Caspase 1, induces the processing of pro-IL-1beta and pro-IL-18 and release of the mature inflammatory cytokines IL-1beta and IL-18 and pyroptosis (1-3).

NLRP3 is expressed in a variety of cell types such as monocytes, dendritic cells, lymphocytes and epithelial cells (3). Abnormal NLRP3 activation may occur as the result of inherited mutations and is associated with diseases such as hereditary periodic fevers (HPFs) and familial cold autoinflammatory syndrome (FCAS). Additionally, abnormal NLRP3 activation is associated with a variety of diseases such as gout, obesity, atherosclerosis, Alzheimers, multiple sclerosis and type 2 diabetes (1, 3). NLRP3 inflammasome is regulated by several post-translational modifications (e.g., ubiquitination, phosphorylation and sumoylation) as well as by various interacting proteins (e.g., JNK1, FBXO3, TXNIP, MARK4 and PKD) (4).

References

1. Abderrazak, A., Syrovets, T., Couchie, D., El Hadri, K., Friguet, B., Simmet, T., & Rouis, M. (2015). NLRP3 inflammasome: From a danger signal sensor to a regulatory node of oxidative stress and inflammatory diseases. Redox Biology. https://doi.org/10.1016/j.redox.2015.01.008

2. Yang, Y., Wang, H., Kouadir, M., Song, H., & Shi, F. (2019). Recent advances in the mechanisms of NLRP3 inflammasome activation and its inhibitors. Cell Death and Disease. https://doi.org/10.1038/s41419-019-1413-8

3. Zahid, A., Li, B., Kombe, A. J. K., Jin, T., & Tao, J. (2019). Pharmacological inhibitors of the nlrp3 inflammasome. Frontiers in Immunology. https://doi.org/10.3389/fimmu.2019.02538

4. Kelley, N., Jeltema, D., Duan, Y., & He, Y. (2019). The NLRP3 inflammasome: An overview of mechanisms of activation and regulation. International Journal of Molecular Sciences. https://doi.org/10.3390/ijms20133328

Long Name

NLR Family, Pyrin Domain Containing 2

Alternate Names

AGTAVPRL, AII, CIAS1, Cryopyrin, FCAS, FCU, MWS, NACHT, NALP3, PYPAF1

Gene Symbol

NLRP3

Additional NLRP3/NALP3 Products

Product Documents for NLRP3/NALP3 Antibody (SC06-23)

Certificate of Analysis

To download a Certificate of Analysis, please enter a lot number in the search box below.

Product Specific Notices for NLRP3/NALP3 Antibody (SC06-23)

This product is for research use only and is not approved for use in humans or in clinical diagnosis. Primary Antibodies are guaranteed for 1 year from date of receipt.

Loading...
Loading...
Loading...
Loading...
Loading...
Loading...