Skip to main content

NK3R/TACR3/Neurokinin B Receptor Antibody - BSA Free

Novus Biologicals, part of Bio-Techne | Catalog # NBP2-82076

Novus Biologicals, part of Bio-Techne
Catalog #
Availability
Size / Price
Qty
Loading...
NBP2-82076
Conjugate
Catalog #

Key Product Details

Species Reactivity

Validated:

Human, Mouse

Predicted:

Rabbit (94%), Rat (94%). Backed by our 100% Guarantee.

Applications

Immunohistochemistry, Immunohistochemistry-Paraffin, Western Blot, ELISA, Immunocytochemistry/ Immunofluorescence

Label

Unconjugated

Antibody Source

Polyclonal Rabbit IgG

Format

BSA Free

Concentration

1 mg/ml

Product Specifications

Immunogen

NK3R antibody was raised against a 18 amino acid synthetic peptide from near the center of human NK3R. The immunogen is located within amino acids 370 - 420 of NK3R. Amino Acid Squence: SYDELELKTTRFHPNRQS

Reactivity Notes

Immunogen displays the following percentage of sequence identity for non-tested species: Guinea pig: (83%)

Specificity

NK3R/TACR3/Neurokinin B Receptor antibody does not recognize NK1R or NK2R.

Clonality

Polyclonal

Host

Rabbit

Isotype

IgG

Theoretical MW

51 kDa.
Disclaimer note: The observed molecular weight of the protein may vary from the listed predicted molecular weight due to post translational modifications, post translation cleavages, relative charges, and other experimental factors.

Scientific Data Images for NK3R/TACR3/Neurokinin B Receptor Antibody - BSA Free

Western Blot: NK3R/TACR3/Neurokinin B Receptor AntibodyBSA Free [NBP2-82076]

Western Blot: NK3R/TACR3/Neurokinin B Receptor AntibodyBSA Free [NBP2-82076]

Western Blot: NK3R/TACR3/Neurokinin B Receptor Antibody [NBP2-82076] - Analysis of NK3R/TACR3/Neurokinin B Receptor in RAW264.7 cell lysate with NK3R/TACR3/Neurokinin B Receptor antibody at (A) 0.5 and (B) 1 ug/ml.
NK3R/TACR3/Neurokinin B Receptor Antibody - BSA Free

Immunocytochemistry/ Immunofluorescence: NK3R/TACR3/Neurokinin B Receptor Antibody - BSA Free [NBP2-82076] -

Immunocytochemistry/ Immunofluorescence: NK3R/TACR3/Neurokinin B Receptor Antibody - BSA Free [NBP2-82076] - Immunofluorescence of NK3R/TACR3/Neurokinin B Receptor in Human Brain tissue with NK3R/TACR3/Neurokinin B Receptor antibody at 20 ug/mL.
NK3R/TACR3/Neurokinin B Receptor Antibody - BSA Free

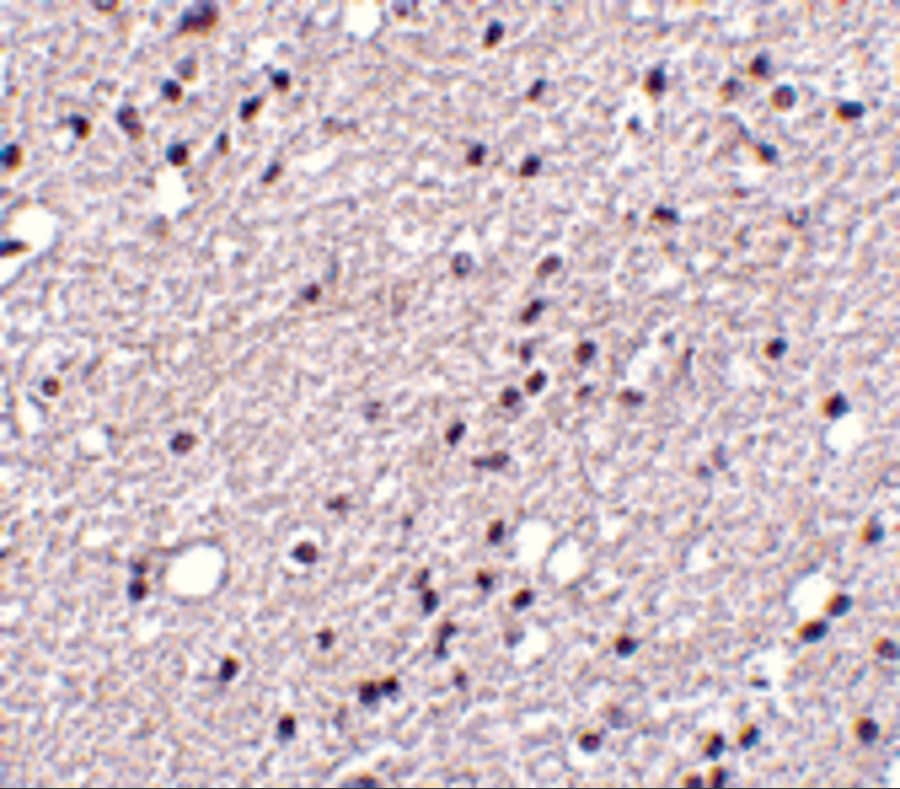
Immunohistochemistry: NK3R/TACR3/Neurokinin B Receptor Antibody - BSA Free [NBP2-82076] -

Immunohistochemistry: NK3R/TACR3/Neurokinin B Receptor Antibody - BSA Free [NBP2-82076] - Immunohistochemistry of NK3R/TACR3/Neurokinin B Receptor in human brain tissue with NK3R/TACR3/Neurokinin B Receptor antibody at 5 ug/mL.

Applications for NK3R/TACR3/Neurokinin B Receptor Antibody - BSA Free

Application
Recommended Usage

Immunocytochemistry/ Immunofluorescence

20 ug/ml

Immunohistochemistry

5 ug/ml

Western Blot

0.5-2 ug/ml

Formulation, Preparation, and Storage

Purification

Peptide affinity purified

Formulation

PBS

Format

BSA Free

Preservative

0.02% Sodium Azide

Concentration

1 mg/ml

Shipping

The product is shipped with polar packs. Upon receipt, store it immediately at the temperature recommended below.

Stability & Storage

Store at 4C.

Background: NK3R/TACR3

The Neurokinins, also known as Tachykinins, belong to an evolutionary conserved family of peptide neurotransmitters that share a c-terminal sequence and have an established role in neurotransmission. The mammalian tachykinins include substance P (NK1), neurokinin A (NKA) and neurokinin B (NKB) which exert their effects by binding to specific receptors. Tachykinin peptides are important in the mediation of many physiological and pathological processes including inflammation, pain, migraine headache and allergy induced asthma.

Three tachykinin receptor types have been characterized, NK-1, NK-2 and NK-3 which have preferential affinities for SP, NKA and NKB respectively. All three receptors share a high degree of sequence homology, have seven transmembrane spanning domains and similar signal transduction mechanisms (e.g. G-protein coupled activation of phospholipase C).

Long Name

Neurokinin-3 Receptor

Alternate Names

Neurokinin B Receptor, Neuromedin-K Receptor, TAC3RL, TACR3

Gene Symbol

TACR3

Additional NK3R/TACR3 Products

Product Documents for NK3R/TACR3/Neurokinin B Receptor Antibody - BSA Free

Certificate of Analysis

To download a Certificate of Analysis, please enter a lot number in the search box below.

Product Specific Notices for NK3R/TACR3/Neurokinin B Receptor Antibody - BSA Free

This product is for research use only and is not approved for use in humans or in clinical diagnosis. Primary Antibodies are guaranteed for 1 year from date of receipt.

Loading...
Loading...
Loading...
Loading...