Skip to main content

NIPSNAP1 Antibody - BSA Free

Novus Biologicals, part of Bio-Techne | Catalog # NBP2-31755

Novus Biologicals, part of Bio-Techne
Catalog #
Availability
Size / Price
Qty
Loading...
NBP2-31755

Key Product Details

Species Reactivity

Validated:

Human

Predicted:

Mouse (96%), Rat (96%). Backed by our 100% Guarantee.

Applications

Immunohistochemistry, Immunohistochemistry-Paraffin, Western Blot

Label

Unconjugated

Antibody Source

Polyclonal Rabbit IgG

Format

BSA Free

Concentration

Concentrations vary lot to lot. See vial label for concentration. If unlisted please contact technical services.

Product Specifications

Immunogen

This antibody was developed against a recombinant protein corresponding to amino acids: EYLDAYNSLTEAVLPKLHLDEDYPCSLV

Clonality

Polyclonal

Host

Rabbit

Isotype

IgG

Description

Novus Biologicals Rabbit NIPSNAP1 Antibody - BSA Free (NBP2-31755) is a polyclonal antibody validated for use in IHC and WB. All Novus Biologicals antibodies are covered by our 100% guarantee.

Scientific Data Images for NIPSNAP1 Antibody - BSA Free

Western Blot: NIPSNAP1 Antibody [NBP2-31755]

Western Blot: NIPSNAP1 Antibody [NBP2-31755]

Western Blot: NIPSNAP1 Antibody [NBP2-31755] - Lane 1: Marker [kDa] 250, 130, 95, 72, 55, 36, 28, 17, 10. Lane 2: Human cell line RT-4. Lane 3: Human cell line U-251MG sp
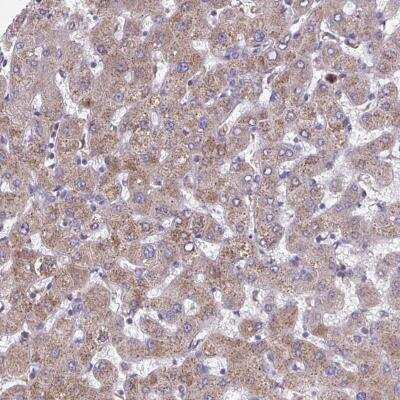
Immunohistochemistry-Paraffin: NIPSNAP1 Antibody [NBP2-31755]

Immunohistochemistry-Paraffin: NIPSNAP1 Antibody [NBP2-31755]

Immunohistochemistry-Paraffin: NIPSNAP1 Antibody [NBP2-31755] - Staining of human liver shows weak cytoplasmic positivity in hepatocytes.

Applications for NIPSNAP1 Antibody - BSA Free

Application
Recommended Usage

Immunohistochemistry

1:50 - 1:200

Immunohistochemistry-Paraffin

1:50 - 1:200

Western Blot

0.04-0.4 ug/ml
Application Notes
For IHC-Paraffin, HIER pH 6 retrieval is recommended.

Formulation, Preparation, and Storage

Purification

Affinity purified

Formulation

PBS (pH 7.2) and 40% Glycerol

Format

BSA Free

Preservative

0.02% Sodium Azide

Concentration

Concentrations vary lot to lot. See vial label for concentration. If unlisted please contact technical services.

Shipping

The product is shipped with polar packs. Upon receipt, store it immediately at the temperature recommended below.

Stability & Storage

Store at 4C short term. Aliquot and store at -20C long term. Avoid freeze-thaw cycles.

Background: NIPSNAP1

NIPSNAP1 protein has a strong sequence similarity to the central portion of a hypothetical protein encoded by C. elegans chromosome III between a 4-nitrophenylphosphatase (NIP) domain and non-neuronal SNAP25-like protein. The NIPSNAP1 gene is located between the NF2 and pK1.3 genes on 22q12. [provided by RefSeq]

Alternate Names

nipsnap homolog 1 (C. elegans), NIPSNAP, C. elegans, homolog 1,4-nitrophenylphosphatase domain and non-neuronal SNAP25-like 1, NipSnap1, protein NipSnap homolog 1

Gene Symbol

NIPSNAP1

UniProt

Additional NIPSNAP1 Products

Product Documents for NIPSNAP1 Antibody - BSA Free

Certificate of Analysis

To download a Certificate of Analysis, please enter a lot number in the search box below.

Product Specific Notices for NIPSNAP1 Antibody - BSA Free

This product is for research use only and is not approved for use in humans or in clinical diagnosis. Primary Antibodies are guaranteed for 1 year from date of receipt.

Loading...
Loading...
Loading...
Loading...