Skip to main content

Ninein Antibody - BSA Free

Novus Biologicals, part of Bio-Techne | Catalog # NBP2-13657

Novus Biologicals, part of Bio-Techne
Catalog #
Availability
Size / Price
Qty
Loading...
NBP2-13657-25ul
NBP2-13657

Key Product Details

Species Reactivity

Validated:

Human

Cited:

Mouse

Applications

Validated:

Immunohistochemistry, Immunohistochemistry-Paraffin, Immunocytochemistry/ Immunofluorescence

Cited:

Immunocytochemistry/ Immunofluorescence

Label

Unconjugated

Antibody Source

Polyclonal Rabbit IgG

Format

BSA Free

Concentration

Concentrations vary lot to lot. See vial label for concentration. If unlisted please contact technical services.

Product Specifications

Immunogen

This antibody was developed against a recombinant protein corresponding to the amino acids: EERLTQMRNEYERQCRVLQDQVDELQSELEEYRAQGRVLRLPLKNSPSEEVEANSGGIEPEHGLGSEECNPLNMSIEAELVIEQMKEQHHRDICCLRLELEDKVRHYEKQLDETVVSCKKAQENMKQRHENETHTL

Marker

Centrosome Marker

Clonality

Polyclonal

Host

Rabbit

Isotype

IgG

Scientific Data Images for Ninein Antibody - BSA Free

Immunocytochemistry/ Immunofluorescence: Ninein Antibody [NBP2-13657]

Immunocytochemistry/ Immunofluorescence: Ninein Antibody [NBP2-13657]

Immunocytochemistry/Immunofluorescence: Ninein Antibody [NBP2-13657] - Staining of human cell line U-251 MG shows localization to nucleoli and centrosome.
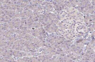
Immunohistochemistry-Paraffin: Ninein Antibody [NBP2-13657]

Immunohistochemistry-Paraffin: Ninein Antibody [NBP2-13657]

Immunohistochemistry-Paraffin: Ninein Antibody [NBP2-13657] - Staining of human pancreas shows no positivity in exocrine glandular cells as expected.
Immunohistochemistry-Paraffin: Ninein Antibody [NBP2-13657]

Immunohistochemistry-Paraffin: Ninein Antibody [NBP2-13657]

Immunohistochemistry-Paraffin: Ninein Antibody [NBP2-13657] - Staining of human tonsil shows moderate cytoplasmic and membranous positivity in germinal center cells.

Applications for Ninein Antibody - BSA Free

Application
Recommended Usage

Immunocytochemistry/ Immunofluorescence

0.25-2 ug/ml

Immunohistochemistry

1:20 - 1:50

Immunohistochemistry-Paraffin

1:20 - 1:50
Application Notes
For IHC-Paraffin, HIER pH 6 retrieval is recommended. ICC/IF Fixation Permeabilization: Use PFA/Triton X-100.

Reviewed Applications

Read 1 review rated 5 using NBP2-13657 in the following applications:

Formulation, Preparation, and Storage

Purification

Affinity purified

Formulation

PBS (pH 7.2) and 40% Glycerol

Format

BSA Free

Preservative

0.02% Sodium Azide

Concentration

Concentrations vary lot to lot. See vial label for concentration. If unlisted please contact technical services.

Shipping

The product is shipped with polar packs. Upon receipt, store it immediately at the temperature recommended below.

Stability & Storage

Store at 4C short term. Aliquot and store at -20C long term. Avoid freeze-thaw cycles.

Background: Ninein

Ninein encodes one of the proteins important for centrosomal function. This protein is important for positioning and anchoring the microtubules minus-ends in epithelial cells. Localization of this protein to the centrosome requires three leucine zippers in the central coiled coil domain. Multiple alternatively spliced transcript variants that encode different isoforms have been reported.

Alternate Names

Glycogen synthase kinase 3 beta-interacting protein, GSK3B-interacting protein, hNinein, KIAA1565, ninein, ninein (GSK3B interacting protein), ninein centrosomal protein

Gene Symbol

NIN

Additional Ninein Products

Product Documents for Ninein Antibody - BSA Free

Certificate of Analysis

To download a Certificate of Analysis, please enter a lot number in the search box below.

Product Specific Notices for Ninein Antibody - BSA Free

This product is for research use only and is not approved for use in humans or in clinical diagnosis. Primary Antibodies are guaranteed for 1 year from date of receipt.

Loading...
Loading...
Loading...
Loading...