Skip to main content

NIK/MAP3K14 Antibody - BSA Free

Novus Biologicals, part of Bio-Techne | Catalog # NBP2-23603

Novus Biologicals, part of Bio-Techne

Key Product Details

Species Reactivity

Validated:

Human, Mouse

Predicted:

Primate (100%), Rat (92%). Backed by our 100% Guarantee.

Applications

Validated:

Immunohistochemistry, Immunohistochemistry-Paraffin, Western Blot, Immunocytochemistry/ Immunofluorescence

Cited:

Immunohistochemistry-Paraffin

Label

Unconjugated

Antibody Source

Polyclonal Rabbit IgG

Format

BSA Free

Concentration

2.0 mg/ml

Product Specifications

Immunogen

A synthetic peptide made to a C-terminal portion of the human MAP3K14 protein (between residues 800-900) [UniProt Q99558]

Reactivity Notes

Predicted to react with monkey and rat based on sequence homology.

Localization

Cytoplasmic, nuclear and vesicular.

Clonality

Polyclonal

Host

Rabbit

Isotype

IgG

Description

Novus Biologicals Rabbit NIK/MAP3K14 Antibody - BSA Free (NBP2-23603) is a polyclonal antibody validated for use in IHC, WB and ICC/IF. Anti-NIK/MAP3K14 Antibody: Cited in 1 publication. All Novus Biologicals antibodies are covered by our 100% guarantee.

Scientific Data Images for NIK/MAP3K14 Antibody - BSA Free

Western Blot: NIK/MAP3K14 AntibodyBSA Free [NBP2-23603]

Western Blot: NIK/MAP3K14 AntibodyBSA Free [NBP2-23603]

Western Blot: NIK/MAP3K14 Antibody [NBP2-23603] - Detection of MAP3K14 in U2OS cell lysate.
Immunocytochemistry/ Immunofluorescence: NIK/MAP3K14 Antibody - BSA Free [NBP2-23603]

Immunocytochemistry/ Immunofluorescence: NIK/MAP3K14 Antibody - BSA Free [NBP2-23603]

Immunocytochemistry/Immunofluorescence: NIK/MAP3K14 Antibody [NBP2-23603] - MAP3K14 antibody was tested in U2OS cells with DyLight 488 (green). Nuclei and alpha-tubulin were counterstained with DAPI (blue) and Dylight 550 (red).
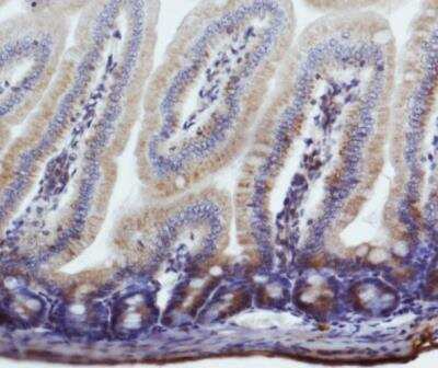
Immunohistochemistry: NIK/MAP3K14 Antibody - BSA Free [NBP2-23603]

Immunohistochemistry: NIK/MAP3K14 Antibody - BSA Free [NBP2-23603]

Immunohistochemistry: NIK/MAP3K14 Antibody [NBP2-23603] - Analysis of MAP3K14 in mouse small intestine.

Applications for NIK/MAP3K14 Antibody - BSA Free

Application
Recommended Usage

Immunocytochemistry/ Immunofluorescence

1:50 - 1:200

Immunohistochemistry

1:400

Immunohistochemistry-Paraffin

1:400

Western Blot

2.0 ug/ml
Application Notes
This MAP3K14 antibody detects a band at ~104 kDa in Western blot. In Immunocytochemistry/Immunofluorescence, cytoplasmic and nuclear staining was observed in U2OS cells. Prior to immunostaining paraffin tissues, antigen retrieval with sodium citrate buffer (pH 6.0) is recommended.

Formulation, Preparation, and Storage

Purification

Immunogen affinity purified

Formulation

PBS

Format

BSA Free

Preservative

0.02% Sodium Azide

Concentration

2.0 mg/ml

Shipping

The product is shipped with polar packs. Upon receipt, store it immediately at the temperature recommended below.

Stability & Storage

Store at 4C short term. Aliquot and store at -20C long term. Avoid freeze-thaw cycles.

Background: NIK/MAP3K14

MAP3K14, or NIK (Nuclear Factor-KB Inducing Kinase) is a serine/threonine protein kinase that activates the canonical and non-canonical NF-KB pathways to control transcription of proteins such as cytokines, chemokines and NF-KB signaling molecules. The NK-KB family of transcription factors is composed of a number of structurally related proteins that modulate an assortment of physiological processes from immune responses to cell death and survival. Regulation of NK-KB occurs by two distinct pathways; the canonical pathway mediated by the inhibitor of KB kinase complex, and the non-canonical pathway, involving p100 processing. In the canonical pathway NIK interacts and activates IKK alpha and IKK beta resulting in the release of RelA and p50 for gene transcription. In the non-canonical pathway, MAP3K14 (NIK) phosphorylates p100, resulting in its partial proteolysis to p52, which in turn mediates gene expression (PMID:20685151).

Long Name

NF-kappa-beta Inducing Kinase

Alternate Names

FTDCR1B, HSNIK, MAP3K14

Entrez Gene IDs

9020 (Human); 53859 (Mouse)

Gene Symbol

MAP3K14

Additional NIK/MAP3K14 Products

Product Documents for NIK/MAP3K14 Antibody - BSA Free

Certificate of Analysis

To download a Certificate of Analysis, please enter a lot number in the search box below.

Product Specific Notices for NIK/MAP3K14 Antibody - BSA Free

This product is for research use only and is not approved for use in humans or in clinical diagnosis. Primary Antibodies are guaranteed for 1 year from date of receipt.

Loading...
Loading...
Loading...
Loading...