Skip to main content

Niemann-Pick type C1 Like-1 Antibody - BSA Free

Novus Biologicals, part of Bio-Techne | Catalog # NB400-127

Novus Biologicals, part of Bio-Techne

Key Product Details

Species Reactivity

Validated:

Human, Mouse, Rat, Porcine

Cited:

Human, Mouse, Porcine

Applications

Validated:

Immunohistochemistry, Immunohistochemistry-Paraffin, Western Blot, ELISA, Immunocytochemistry/ Immunofluorescence, Knockdown Validated, Electron Microscopy

Cited:

Immunohistochemistry-Paraffin, Western Blot, Immunocytochemistry/ Immunofluorescence, IF/IHC, Knockdown Validated, Electron Microscopy

Label

Unconjugated

Antibody Source

Polyclonal Rabbit IgG

Format

BSA Free

Concentration

1.0 mg/ml

Product Specifications

Immunogen

A synthetic peptide made to an internal region of rat Niemann-Pick type C1 Like-1 (between residues 1000-1100). [UniProt# Q6T3U3]

Clonality

Polyclonal

Host

Rabbit

Isotype

IgG

Theoretical MW

140 kDa.
Disclaimer note: The observed molecular weight of the protein may vary from the listed predicted molecular weight due to post translational modifications, post translation cleavages, relative charges, and other experimental factors.

Description

Novus Biologicals Rabbit Niemann-Pick type C1 Like-1 Antibody - BSA Free (NB400-127) is a polyclonal antibody validated for use in IHC, WB, ELISA and ICC/IF. Anti-Niemann-Pick type C1 Like-1 Antibody: Cited in 18 publications. All Novus Biologicals antibodies are covered by our 100% guarantee.

Scientific Data Images for Niemann-Pick type C1 Like-1 Antibody - BSA Free

Western Blot: Niemann-Pick type C1 Like-1 Antibody [NB400-127]

Western Blot: Niemann-Pick type C1 Like-1 Antibody [NB400-127]

Western Blot: Niemann-Pick type C1 Like-1 Antibody [NB400-127] - Detection of NPC1L1 protein in lysate of human small intestine tissue using Niemann-Pick type C1 Like-1 antibody at 2ug/ml concentration.
Immunocytochemistry/ Immunofluorescence: Niemann-Pick type C1 Like-1 Antibody [NB400-127]

Immunocytochemistry/ Immunofluorescence: Niemann-Pick type C1 Like-1 Antibody [NB400-127]

Immunocytochemistry/Immunofluorescence: Niemann-Pick type C1 Like-1 Antibody [NB400-127] - HepG2 cells were fixed in 4% paraformaldehyde for 10 min and permeabilized in 0.05% Triton X-100 in PBS for 5 minutes. The cells were incubated with anti-Niemann-Pick type C1 Like-1 Antibody (NB400-127) at 2 ug/ml overnight at 4C and detected with an anti-rabbit Dylight 488 (Green) at a 1:500 dilution for 60 minutes. Nuclei were counterstained with DAPI (Blue). Cells were imaged using a 100X objective and digitally deconvolved.
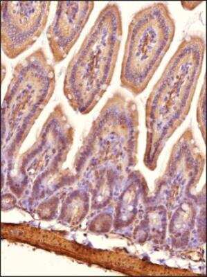
Immunohistochemistry-Paraffin: Niemann-Pick type C1 Like-1 Antibody [NB400-127]

Immunohistochemistry-Paraffin: Niemann-Pick type C1 Like-1 Antibody [NB400-127]

Immunohistochemistry-Paraffin: Niemann-Pick type C1 Like-1 Antibody [NB400-127] - Analysis of a FFPE tissue section of mouse small intestine using 1:200 dilution of NPC1L1 antibody (NB400-127). The staining was developed using HRP labeled anti-rabbit secondary antibody and DAB reagent, and nuclei of cells were counter-stained with hematoxylin.

Applications for Niemann-Pick type C1 Like-1 Antibody - BSA Free

Application
Recommended Usage

ELISA

reported in scientific literature (PMID 21051527)

Electron Microscopy

reported in scientific literature (PMID 21051527)

Immunocytochemistry/ Immunofluorescence

2 ug/ml

Immunohistochemistry

1:100-1:250

Immunohistochemistry-Paraffin

1:100-1:250

Knockdown Validated

reported in scientific literature (PMID 35023619)

Western Blot

2 ug/ml
Application Notes
In Western blot a band is observed at ~140 kDa representing NPC1L1, and a nonspecific band may be observed at ~45 kDa depending on the lysate used.

Formulation, Preparation, and Storage

Purification

Immunogen affinity purified

Formulation

PBS

Format

BSA Free

Preservative

0.05% Sodium Azide

Concentration

1.0 mg/ml

Shipping

The product is shipped with polar packs. Upon receipt, store it immediately at the temperature recommended below.

Stability & Storage

Store at 4C. Do not freeze.

Background: Niemann-Pick type C1 Like-1

Dietary consumption and intestinal cholesterol absorption contribute to plasma cholesterol levels, which factor into the risk of coronary heart disease. Niemann-Pick type C1 Like 1 protein (NPC1L1 or NPC3) is enriched in the small intestine and is found in the brush border membrane of enterocytes. It plays a critical role in absorption of intestinal cholesterol.

Alternate Names

Niemann-Pick C1-like protein 1, NPC1 (Niemann-Pick disease, type C1, gene)-like 1, NPC11L1

Gene Symbol

NPC1L1

Additional Niemann-Pick type C1 Like-1 Products

Product Documents for Niemann-Pick type C1 Like-1 Antibody - BSA Free

Certificate of Analysis

To download a Certificate of Analysis, please enter a lot number in the search box below.

Product Specific Notices for Niemann-Pick type C1 Like-1 Antibody - BSA Free

This product is for research use only and is not approved for use in humans or in clinical diagnosis. Primary Antibodies are guaranteed for 1 year from date of receipt.

Loading...
Loading...
Loading...
Loading...
Loading...