Skip to main content

Nicotinic Acetylcholine Receptor beta Antibody - BSA Free

Novus Biologicals, part of Bio-Techne | Catalog # NBP2-19540

Novus Biologicals, part of Bio-Techne
Catalog #
Availability
Size / Price
Qty
Loading...
NBP2-19540

Key Product Details

Species Reactivity

Validated:

Human

Predicted:

Bovine (93%). Backed by our 100% Guarantee.

Applications

Immunohistochemistry, Immunohistochemistry-Paraffin, Western Blot

Label

Unconjugated

Antibody Source

Polyclonal Rabbit IgG

Format

BSA Free

Concentration

Concentrations vary lot to lot. See vial label for concentration. If unlisted please contact technical services.

Product Specifications

Immunogen

Recombinant protein encompassing a sequence within the center region of human Nicotinic Acetylcholine Receptor beta. The exact sequence is proprietary.

Reactivity Notes

Immunogen displays the following percentage of sequence identity for non-tested species: Mouse (88%), Rat (87%).

Localization

Cell junction; synapse; postsynaptic cell membrane; Cell membrane

Clonality

Polyclonal

Host

Rabbit

Isotype

IgG

Theoretical MW

57 kDa.
Disclaimer note: The observed molecular weight of the protein may vary from the listed predicted molecular weight due to post translational modifications, post translation cleavages, relative charges, and other experimental factors.

Description

Novus Biologicals Rabbit Nicotinic Acetylcholine Receptor beta Antibody - BSA Free (NBP2-19540) is a polyclonal antibody validated for use in IHC and WB. All Novus Biologicals antibodies are covered by our 100% guarantee.

Scientific Data Images for Nicotinic Acetylcholine Receptor beta Antibody - BSA Free

Western Blot: Nicotinic Acetylcholine Receptor beta Antibody [NBP2-19540]

Western Blot: Nicotinic Acetylcholine Receptor beta Antibody [NBP2-19540]

Western Blot: Nicotinic Acetylcholine Receptor beta Antibody [NBP2-19540] - Sample (30 ug of whole cell lysate) A: MCF-7 7. 5% SDS PAGE gel, diluted at 1:1000.
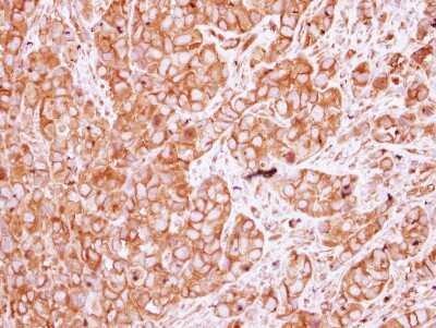
Immunohistochemistry-Paraffin: Nicotinic Acetylcholine Receptor beta Antibody [NBP2-19540]

Immunohistochemistry-Paraffin: Nicotinic Acetylcholine Receptor beta Antibody [NBP2-19540]

Immunohistochemistry-Paraffin: Nicotinic Acetylcholine Receptor beta Antibody [NBP2-19540] - H661 xenograft, using Nicotinic Acetylcholine Receptor beta antibody at 1:250 dilution. Antigen Retrieval: Citrate buffer, pH 6.0, 15 min.

Applications for Nicotinic Acetylcholine Receptor beta Antibody - BSA Free

Application
Recommended Usage

Immunohistochemistry

1:100-1:1000

Immunohistochemistry-Paraffin

1:100-1:1000

Western Blot

1:500-1:3000

Formulation, Preparation, and Storage

Purification

Antigen Affinity-purified

Formulation

0.1M Tris, 0.1M Glycine, 20% Glycerol

Format

BSA Free

Preservative

0.01% Thimerosal

Concentration

Concentrations vary lot to lot. See vial label for concentration. If unlisted please contact technical services.

Shipping

The product is shipped with polar packs. Upon receipt, store it immediately at the temperature recommended below.

Stability & Storage

Aliquot and store at -20C or -80C. Avoid freeze-thaw cycles.

Background: Nicotinic Acetylcholine R beta 1/CHRNB1

The muscle acetylcholine receptor is composed of five subunits: two alpha subunits and one beta, one gamma, and one delta subunit. This gene encodes the beta subunit of the acetylcholine receptor. The acetylcholine receptor changes conformation upon acetylcholine binding leading to the opening of an ion-conducting channel across the plasma membrane. Mutations in this gene are associated with slow-channel congenital myasthenic syndrome. [provided by RefSeq]

Long Name

Nicotinic Acetylcholine Receptor beta 1

Alternate Names

ACHRB, CHRNB1, CMS1D, CMS2C, nAChRB1

Gene Symbol

CHRNB1

UniProt

Additional Nicotinic Acetylcholine R beta 1/CHRNB1 Products

Product Documents for Nicotinic Acetylcholine Receptor beta Antibody - BSA Free

Certificate of Analysis

To download a Certificate of Analysis, please enter a lot number in the search box below.

Product Specific Notices for Nicotinic Acetylcholine Receptor beta Antibody - BSA Free

This product is for research use only and is not approved for use in humans or in clinical diagnosis. Primary Antibodies are guaranteed for 1 year from date of receipt.

Loading...
Loading...
Loading...
Loading...
Loading...

⚠ WARNING: This product can expose you to chemicals including mercury, which is known to the State of California to cause reproductive toxicity with developmental effects.  For more information go to www.P65Warnings.ca.gov.