Skip to main content

Niban Antibody - BSA Free

Novus Biologicals, part of Bio-Techne | Catalog # NBP3-46520

Novus Biologicals, part of Bio-Techne
Catalog #
Availability
Size / Price
Qty
Loading...
NBP3-46520

Key Product Details

Species Reactivity

Human, Mouse, Rat

Applications

Immunohistochemistry, Western Blot, ELISA, Immunocytochemistry/ Immunofluorescence

Label

Unconjugated

Antibody Source

Polyclonal Rabbit IgG

Format

BSA Free

Concentration

Please see the vial label for concentration. If unlisted please contact technical services.

Product Specifications

Immunogen

family with sequence similarity 129, member A. (Uniprot# Q9BZQ8)

Clonality

Polyclonal

Host

Rabbit

Isotype

IgG

Description

Novus Biologicals Rabbit Niban Antibody - BSA Free (NBP3-46520) is a polyclonal antibody validated for use in IHC, WB, ELISA and ICC/IF. All Novus Biologicals antibodies are covered by our 100% guarantee.

Scientific Data Images for Niban Antibody - BSA Free

Niban Antibody - BSA Free

Western Blot: Niban Antibody - BSA Free [NBP3-46520] -

Western Blot: Niban Antibody - BSA Free [NBP3-46520] - HT-1080 cells were subjected to SDS PAGE followed by western blot with (Niban antibody) at dilution of 1:500
Niban Antibody - BSA Free

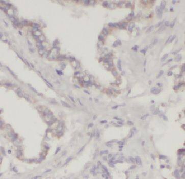
Immunohistochemistry: Niban Antibody - BSA Free [NBP3-46520] -

Immunohistochemistry: Niban Antibody - BSA Free [NBP3-46520] - Immunohistochemistry of paraffin-embedded human thyroid cancer slide using (Niban Antibody) at dilution of 1:50

Applications for Niban Antibody - BSA Free

Application
Recommended Usage

Immunocytochemistry/ Immunofluorescence

1:20-1:200

Immunohistochemistry

1:20-1:200

Western Blot

1:500-1:2000
Application Notes
Theoretical Molecular Weight is 150 kDa, 130 kDa

Formulation, Preparation, and Storage

Purification

Immunogen affinity purified

Formulation

PBS, 50% Glycerol, pH (7.3)

Format

BSA Free

Preservative

0.02% Sodium Azide

Concentration

Please see the vial label for concentration. If unlisted please contact technical services.

Shipping

The product is shipped with polar packs. Upon receipt, store it immediately at the temperature recommended below.

Stability & Storage

Store at -20C. Avoid freeze-thaw cycles.

Background: Niban

Regulates phosphorylation of a number of proteins involved in translation regulation including EIF2A,EIF4EBP1 and RPS6KB1. May be involved in the endoplasmic reticulum stress response

Alternate Names

C1orf24, cell growth inhibiting protein 39, Cell growth-inhibiting gene 39 protein, chromosome 1 open reading frame 24, family with sequence similarity 129, member A, GIG39, NIBANFLJ38228, Protein FAM129A, protein Niban

Gene Symbol

FAM129A

Additional Niban Products

Product Documents for Niban Antibody - BSA Free

Certificate of Analysis

To download a Certificate of Analysis, please enter a lot number in the search box below.

Product Specific Notices for Niban Antibody - BSA Free

This product is for research use only and is not approved for use in humans or in clinical diagnosis. Primary Antibodies are guaranteed for 1 year from date of receipt.

Loading...
Loading...
Loading...
Loading...