Skip to main content

NHLH2 Antibody - BSA Free

Novus Biologicals, part of Bio-Techne | Catalog # NBP2-30642

Novus Biologicals, part of Bio-Techne
Catalog #
Availability
Size / Price
Qty
Loading...
NBP2-30642
NBP2-30642-25ul

Key Product Details

Species Reactivity

Validated:

Human

Predicted:

Mouse (95%), Rat (94%). Backed by our 100% Guarantee.

Applications

Immunohistochemistry, Immunohistochemistry-Paraffin, Immunocytochemistry/ Immunofluorescence

Label

Unconjugated

Antibody Source

Polyclonal Rabbit IgG

Format

BSA Free

Concentration

Concentrations vary lot to lot. See vial label for concentration. If unlisted please contact technical services.

Product Specifications

Immunogen

This antibody was developed against a recombinant protein corresponding to amino acids: LSPDQAADSDHPSSAHSDPESLGGTDTKVLGSVSDLEPVEEAEGDGKGGSRAALYPHPQQLSREE

Clonality

Polyclonal

Host

Rabbit

Isotype

IgG

Description

Novus Biologicals Rabbit NHLH2 Antibody - BSA Free (NBP2-30642) is a polyclonal antibody validated for use in IHC and ICC/IF. All Novus Biologicals antibodies are covered by our 100% guarantee.

Scientific Data Images for NHLH2 Antibody - BSA Free

Immunocytochemistry/ Immunofluorescence: NHLH2 Antibody [NBP2-30642]

Immunocytochemistry/ Immunofluorescence: NHLH2 Antibody [NBP2-30642]

Immunocytochemistry/Immunofluorescence: NHLH2 Antibody [NBP2-30642] - Staining of human cell line SiHa shows localization to nucleoplasm & nuclear bodies.
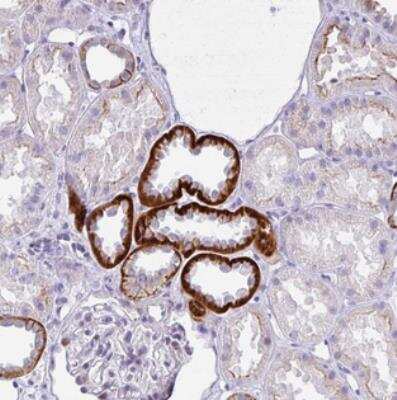
Immunohistochemistry-Paraffin: NHLH2 Antibody [NBP2-30642]

Immunohistochemistry-Paraffin: NHLH2 Antibody [NBP2-30642]

Immunohistochemistry-Paraffin: NHLH2 Antibody [NBP2-30642] - Staining of human kidney shows strong cytoplasmic and membranous positivity in tubule cells.

Applications for NHLH2 Antibody - BSA Free

Application
Recommended Usage

Immunocytochemistry/ Immunofluorescence

0.25-2 ug/ml

Immunohistochemistry

1:500 - 1:1000

Immunohistochemistry-Paraffin

1:500 - 1:1000
Application Notes
For IHC-Paraffin, HIER pH 6 retrieval is recommended. ICC/IF Fixation Permeabilization: Use PFA/Triton X-100.

Formulation, Preparation, and Storage

Purification

Affinity purified

Formulation

PBS (pH 7.2) and 40% Glycerol

Format

BSA Free

Preservative

0.02% Sodium Azide

Concentration

Concentrations vary lot to lot. See vial label for concentration. If unlisted please contact technical services.

Shipping

The product is shipped with polar packs. Upon receipt, store it immediately at the temperature recommended below.

Stability & Storage

Store at 4C short term. Aliquot and store at -20C long term. Avoid freeze-thaw cycles.

Background: NHLH2

NHLH2 may serve as DNA-binding protein and may be involved in the control of cell-type determination, possibly within the developing nervous system

Alternate Names

BHLHA34, bHLHa34NSCL-2, Class A basic helix-loop-helix protein 34, helix-loop-helix protein 2, HEN-2, HEN2NSCL2, nescient helix loop helix 2KIAA0490

Gene Symbol

NHLH2

UniProt

Additional NHLH2 Products

Product Documents for NHLH2 Antibody - BSA Free

Certificate of Analysis

To download a Certificate of Analysis, please enter a lot number in the search box below.

Product Specific Notices for NHLH2 Antibody - BSA Free

This product is for research use only and is not approved for use in humans or in clinical diagnosis. Primary Antibodies are guaranteed for 1 year from date of receipt.

Loading...
Loading...
Loading...
Loading...