NHE3/SLC9A3 Antibody - BSA Free
Novus Biologicals, part of Bio-Techne | Catalog # NBP1-82575
Key Product Details
Validated by
Independent Antibodies
Species Reactivity
Validated:
Human
Cited:
Human
Predicted:
Mouse (93%), Rat (93%). Backed by our 100% Guarantee.
Applications
Validated:
Immunohistochemistry, Immunohistochemistry-Paraffin, Immunocytochemistry/ Immunofluorescence
Cited:
Immunocytochemistry/ Immunofluorescence
Label
Unconjugated
Antibody Source
Polyclonal Rabbit IgG
Format
BSA Free
Concentration
Concentrations vary lot to lot. See vial label for concentration. If unlisted please contact technical services.
Product Specifications
Immunogen
This antibody was developed against Recombinant Protein corresponding to amino acids: TDNVVNVDFTPRSSTVEASVSYLLRENVSAVCLDMQSLEQRRRSIRDAEDMVTHHTLQQYLYKPRQEYKHLYSRHELTPTEDEKQDREIFHRTM
Clonality
Polyclonal
Host
Rabbit
Isotype
IgG
Description
Novus Biologicals Rabbit NHE3/SLC9A3 Antibody - BSA Free (NBP1-82575) is a polyclonal antibody validated for use in IHC and ICC/IF. Anti-NHE3/SLC9A3 Antibody: Cited in 1 publication. All Novus Biologicals antibodies are covered by our 100% guarantee.
Scientific Data Images for NHE3/SLC9A3 Antibody - BSA Free
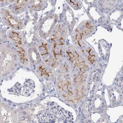
Immunohistochemistry-Paraffin: NHE3/SLC9A3 Antibody [NBP1-82575]
Immunohistochemistry-Paraffin: NHE3/SLC9A3 Antibody [NBP1-82575] - Staining of human cerebral cortex, colon, gallbladder and lymph node using Anti-SLC9A3 antibody NBP1-82575 (A) shows similar protein distribution across tissues to independent antibody NBP1-82574 (B).Immunocytochemistry/ Immunofluorescence: NHE3/SLC9A3 Antibody [NBP1-82575]
Immunocytochemistry/Immunofluorescence: NHE3/SLC9A3 Antibody [NBP1-82575] - Immunofluorescence micrograph of human intestine showing polarized distribution of apical (NHE3) protein. ICC/IF image submitted by a verified customer review.Immunohistochemistry-Paraffin: NHE3/SLC9A3 Antibody [NBP1-82575]
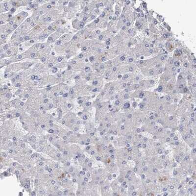
Immunohistochemistry-Paraffin: NHE3/SLC9A3 Antibody [NBP1-82575] - Staining of human liver shows no membranous positivity in hepatocytes as expected.Applications for NHE3/SLC9A3 Antibody - BSA Free
Application
Recommended Usage
Immunocytochemistry/ Immunofluorescence
0.25-2 ug/ml
Immunohistochemistry
1:20 - 1:50
Immunohistochemistry-Paraffin
1:20 - 1:50
Application Notes
For IHC-Paraffin, HIER pH 6 retrieval is recommended. ICC/IF Fixation Permeabilization: Use PFA/Triton X-100.
Reviewed Applications
Read 1 review rated 5 using NBP1-82575 in the following applications:
Formulation, Preparation, and Storage
Purification
Immunogen affinity purified
Formulation
PBS (pH 7.2) and 40% Glycerol
Format
BSA Free
Preservative
0.02% Sodium Azide
Concentration
Concentrations vary lot to lot. See vial label for concentration. If unlisted please contact technical services.
Shipping
The product is shipped with polar packs. Upon receipt, store it immediately at the temperature recommended below.
Stability & Storage
Store at 4C short term. Aliquot and store at -20C long term. Avoid freeze-thaw cycles.
Background: NHE3/SLC9A3
Long Name
Sodium/Hydrogen Exchanger 3
Alternate Names
SLC9A3
Gene Symbol
SLC9A3
Additional NHE3/SLC9A3 Products
Product Documents for NHE3/SLC9A3 Antibody - BSA Free
Product Specific Notices for NHE3/SLC9A3 Antibody - BSA Free
This product is for research use only and is not approved for use in humans or in clinical diagnosis. Primary Antibodies are guaranteed for 1 year from date of receipt.
Loading...
Loading...
Loading...
Loading...
Loading...