Skip to main content

NGFR/TNFRSF16/p75NTR Antibody (NGFR5) - IHC-Prediluted

Novus Biologicals, part of Bio-Techne | Catalog # NBP2-48295

Novus Biologicals, part of Bio-Techne
Catalog #
Availability
Size / Price
Qty
Loading...
NBP2-48295

Key Product Details

Species Reactivity

Human, Baboon, Feline, Ferret, Monkey, Mouse (Negative), Rabbit, Rat (Negative)

Applications

Immunohistochemistry, Immunohistochemistry-Paraffin

Label

Unconjugated

Antibody Source

Monoclonal Mouse IgG1 kappa Clone # NGFR5

Format

IHC-Prediluted

Concentration

Please see the vial label for concentration. If unlisted please contact technical services.

Product Specifications

Immunogen

NGFR from A875 melanoma cells

Epitope

aa 1-160

Reactivity Notes

Does not react with Mouse or Rat.

Localization

Cell surface and cytoplasmic

Specificity

It recognizes a glycoprotein of 75kDa, identified as low affinity Nerve Growth Factor (NGF) Receptor (p75NGFR) or Neurotrophin Receptor (p75NTR). Its epitope spans in aa 1-160 of extracellular domain of NGFR/NTR. NGF-receptor contains an extracellular domain containing four 40-amino acid repeats with 6 cysteine residues at conserved positions followed by a serine/threonine-rich region, a single transmembrane domain, and a 155-amino acid cytoplasmic domain. The cysteine-rich region contains the nerve growth factor binding domain. NGF is important for the development, differentiation, and survival of variety of neuronal and non-neuronal cells. Its action is mediated by binding two distinct receptors, the high affinity p140 and low affinity p75.

Marker

Soft Tissue Tumor Marker

Clonality

Monoclonal

Host

Mouse

Isotype

IgG1 kappa

Theoretical MW

75 kDa.
Disclaimer note: The observed molecular weight of the protein may vary from the listed predicted molecular weight due to post translational modifications, post translation cleavages, relative charges, and other experimental factors.

Description

The prediluted antibody does not require any mixing, dilution, reconstitution, or titration; the antibody is ready-to-use and optimized for staining.

Scientific Data Images for NGFR/TNFRSF16/p75NTR Antibody (NGFR5) - IHC-Prediluted

Immunohistochemistry-Paraffin: NGFR/TNFRSF16/p75NTR Antibody (NGFR5) - IHC-Prediluted [NBP2-48295]

Immunohistochemistry-Paraffin: NGFR/TNFRSF16/p75NTR Antibody (NGFR5) - IHC-Prediluted [NBP2-48295]

Immunohistochemistry-Paraffin: NGFR/TNFRSF16/p75NTR Antibody (NGFR5) - IHC-Prediluted [NBP2-48295] - Human Adrenal Gland stained with NGFR Mouse Monoclonal Antibody (NGFR5).
Immunohistochemistry-Paraffin: NGFR/TNFRSF16/p75NTR Antibody (NGFR5) - IHC-Prediluted [NBP2-48295]

Immunohistochemistry-Paraffin: NGFR/TNFRSF16/p75NTR Antibody (NGFR5) - IHC-Prediluted [NBP2-48295]

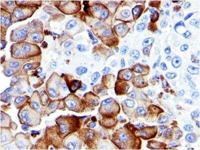
Immunohistochemistry-Paraffin: NGFR/TNFRSF16/p75NTR Antibody (NGFR5) - IHC-Prediluted [NBP2-48295] - Human Melanoma stained with NGFR Mouse Monoclonal Antibody (NGFR5).

Applications for NGFR/TNFRSF16/p75NTR Antibody (NGFR5) - IHC-Prediluted

Application
Recommended Usage

Immunohistochemistry

Optimal dilutions of this antibody should be experimentally determined.

Immunohistochemistry-Paraffin

Optimal dilutions of this antibody should be experimentally determined.
Application Notes
Immunohistochemistry (Formalin-fixed): 1-2ug/ml for 30 minutes at RT. Staining of formalin-fixed tissues requires heating tissue sections in 10mM Tris with 1mM EDTA, pH 9.0, for 45 min at 95C followed by cooling at RT for 20 minutes.
Optimal dilution for a specific application should be determined.

Formulation, Preparation, and Storage

Purification

Protein A or G purified

Formulation

10 mM PBS with 0.05% BSA

Format

IHC-Prediluted

Preservative

0.05% Sodium Azide

Concentration

Please see the vial label for concentration. If unlisted please contact technical services.

Shipping

The product is shipped with polar packs. Upon receipt, store it immediately at the temperature recommended below.

Stability & Storage

Store at 4C.

Background: NGFR/TNFRSF16

p75NTR was originally discovered as a low affinity nerve growth factor receptor. Later it was found that it was the receptor for all neurotrophins. It mediates signals of neurotrophins for neuronal survival, apoptosis, neurite outgrowth and synaptic plasticity. Recently, it has been revealed that p75NTR is not only acts as the receptor for neurotrophins but also the receptor for many other pathological ligands such as prions, rabies virus and amyloid beta. p75NTR also acts as a co-receptor for NOGO which mediates inhibitory signals of myelin associated protein. p75NTR is highly expressed in a number of non-neuronal and neuronal cells including motor neurons during development and also in damaged neurons. FUNCTION: Low affinity receptor which can bind to NGF, BDNF, NT-3, and NT-4. Can mediate cell survival as well as cell death of neural cells. SUBUNIT: Homodimer; disulfide-linked. Interacts with p75NTR-associated cell death executor. Interacts with NGFRAP1/BEX3. Interacts with TRAF2, TRAF4, TRAF6, PTPN13 and RANBP9. Interacts through TRAF6 with SQSTM1 which bridges NGFR to NTRK1. Interacts with BEX1. SUBCELLULAR LOCATION: Membrane; single-pass type I membrane protein. DOMAIN: Death domain is responsible for interaction with RANBP9. PTM: N- and O-glycosylated. PTM: Phosphorylated on serine residues. SIMILARITY: Contains 1 death domain. SIMILARITY: Contains 4 TNFR-Cys repeats.

Long Name

Nerve Growth Factor Receptor

Alternate Names

CD271, NGF R, p75 NTR, TNFRSF16

Gene Symbol

NGFR

Additional NGFR/TNFRSF16 Products

Product Documents for NGFR/TNFRSF16/p75NTR Antibody (NGFR5) - IHC-Prediluted

Certificate of Analysis

To download a Certificate of Analysis, please enter a lot number in the search box below.

Product Specific Notices for NGFR/TNFRSF16/p75NTR Antibody (NGFR5) - IHC-Prediluted

This product is for research use only and is not approved for use in humans or in clinical diagnosis. Primary Antibodies are guaranteed for 1 year from date of receipt.

Loading...
Loading...
Loading...
Loading...