NGFI-B alpha/Nur77/NR4A1 Antibody (JM59-11)
Novus Biologicals, part of Bio-Techne | Catalog # NBP2-66980
Recombinant Monoclonal Antibody.
Key Product Details
Species Reactivity
Human, Mouse, Rat
Applications
Immunohistochemistry, Immunohistochemistry-Paraffin, Western Blot, Immunocytochemistry/ Immunofluorescence
Label
Unconjugated
Antibody Source
Recombinant Monoclonal Rabbit IgG Clone # JM59-11 expressed in HEK293
Concentration
1 mg/ml
Product Specifications
Immunogen
Synthetic peptide within Human NGFI-B alpha/Nur77/NR4A1 aa 10-49 / 598. (SwissProt: P22736 Human; SwissProt: P12813 Mouse; SwissProt: P22829 Rat)
Localization
Cytoplasm. Nucleus. Nucleus membrane.
Clonality
Monoclonal
Host
Rabbit
Isotype
IgG
Description
Novus Biologicals Rabbit NGFI-B alpha/Nur77/NR4A1 Antibody (JM59-11) (NBP2-66980) is a recombinant monoclonal antibody validated for use in IHC, WB and ICC/IF. Anti-NGFI-B alpha/Nur77/NR4A1 Antibody: Cited in 2 publications. All Novus Biologicals antibodies are covered by our 100% guarantee.
Scientific Data Images for NGFI-B alpha/Nur77/NR4A1 Antibody (JM59-11)
Western Blot: NGFI-B alpha/Nur77/NR4A1 Antibody (JM59-11) [NBP2-66980]
Western Blot: NGFI-B alpha/Nur77/NR4A1 Antibody (JM59-11) [NBP2-66980] - Analysis of NUR77 on rat brain tissue lysates using anti-NUR77 antibody at 1/500 dilution.Immunocytochemistry/ Immunofluorescence: NGFI-B alpha/Nur77/NR4A1 Antibody (JM59-11) [NBP2-66980]
Immunocytochemistry/Immunofluorescence: NGFI-B alpha/Nur77/NR4A1 Antibody (JM59-11) [NBP2-66980] - Staining NUR77 in NIH-3T3 cells (green). The nuclear counter stain is DAPI (blue). Cells were fixed in paraformaldehyde, permeabilised with 0.25% Triton X100/PBS.Immunohistochemistry-Paraffin: NGFI-B alpha/Nur77/NR4A1 Antibody (JM59-11) [NBP2-66980]
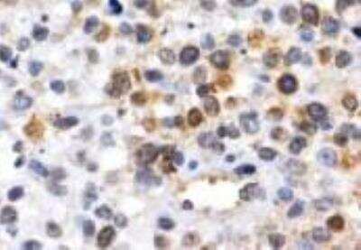
Immunohistochemistry-Paraffin: NGFI-B alpha/Nur77/NR4A1 Antibody (JM59-11) [NBP2-66980] - Human lymph node tissue stained with NGFI-B alpha/Nur77/NR4A1 Antibody (JM59-11). IHC-P image submitted by a verified customer review.Applications for NGFI-B alpha/Nur77/NR4A1 Antibody (JM59-11)
Application
Recommended Usage
Immunocytochemistry/ Immunofluorescence
1:50-1:200
Immunohistochemistry-Paraffin
1:50-1:200
Western Blot
1:500-1:1000
Reviewed Applications
Read 1 review rated 5 using NBP2-66980 in the following applications:
Formulation, Preparation, and Storage
Purification
Protein A purified
Formulation
TBS (pH7.4), 0.05% BSA, 40% Glycerol
Preservative
0.05% Sodium Azide
Concentration
1 mg/ml
Shipping
The product is shipped with polar packs. Upon receipt, store it immediately at the temperature recommended below.
Stability & Storage
Store at 4C short term. Aliquot and store at -20C long term. Avoid freeze-thaw cycles.
Background: NGFI-B alpha/Nur77/NR4A1
Long Name
Nerve Growth Factor-induced Protein I-B alpha/Nuclear Receptor Subfamily 4, Group A, Member 1
Alternate Names
HMR, NAK1, NGFIB alpha, NR4A1, Nur77, TR3
Gene Symbol
NR4A1
Additional NGFI-B alpha/Nur77/NR4A1 Products
Product Documents for NGFI-B alpha/Nur77/NR4A1 Antibody (JM59-11)
Product Specific Notices for NGFI-B alpha/Nur77/NR4A1 Antibody (JM59-11)
This product is for research use only and is not approved for use in humans or in clinical diagnosis. Primary Antibodies are guaranteed for 1 year from date of receipt.
Loading...
Loading...
Loading...
Loading...