Skip to main content

NGDN Antibody - BSA Free

Novus Biologicals, part of Bio-Techne | Catalog # NBP1-88408

Novus Biologicals, part of Bio-Techne
Catalog #
Availability
Size / Price
Qty
Loading...
NBP1-88408
NBP1-88408-25ul

Key Product Details

Species Reactivity

Validated:

Human

Predicted:

Mouse (91%), Rat (95%). Backed by our 100% Guarantee.

Applications

Immunohistochemistry, Immunohistochemistry-Paraffin, Immunocytochemistry/ Immunofluorescence

Label

Unconjugated

Antibody Source

Polyclonal Rabbit IgG

Format

BSA Free

Concentration

Concentrations vary lot to lot. See vial label for concentration. If unlisted please contact technical services.

Product Specifications

Immunogen

This antibody was developed against Recombinant Protein corresponding to amino acids: LMYLMDLTHLILDKASGGSLQGHDAVLRLVEIRTVLEKLRPLDQKLKYQIDKLIKTAVTGSLSENDPLRFKPHPSNMMSKLSSEDEEEDEAEDDQSEASGKKSVKGVSKKYVPPRLVPVHYDETEAEREKKRLERAKRRALSSSVIREL

Clonality

Polyclonal

Host

Rabbit

Isotype

IgG

Scientific Data Images for NGDN Antibody - BSA Free

Immunocytochemistry/ Immunofluorescence: NGDN Antibody [NBP1-88408]

Immunocytochemistry/ Immunofluorescence: NGDN Antibody [NBP1-88408]

Immunocytochemistry/Immunofluorescence: NGDN Antibody [NBP1-88408] - Immunofluorescent staining of human cell line U-251 MG shows localization to nucleus, nucleoli & mitochondria.
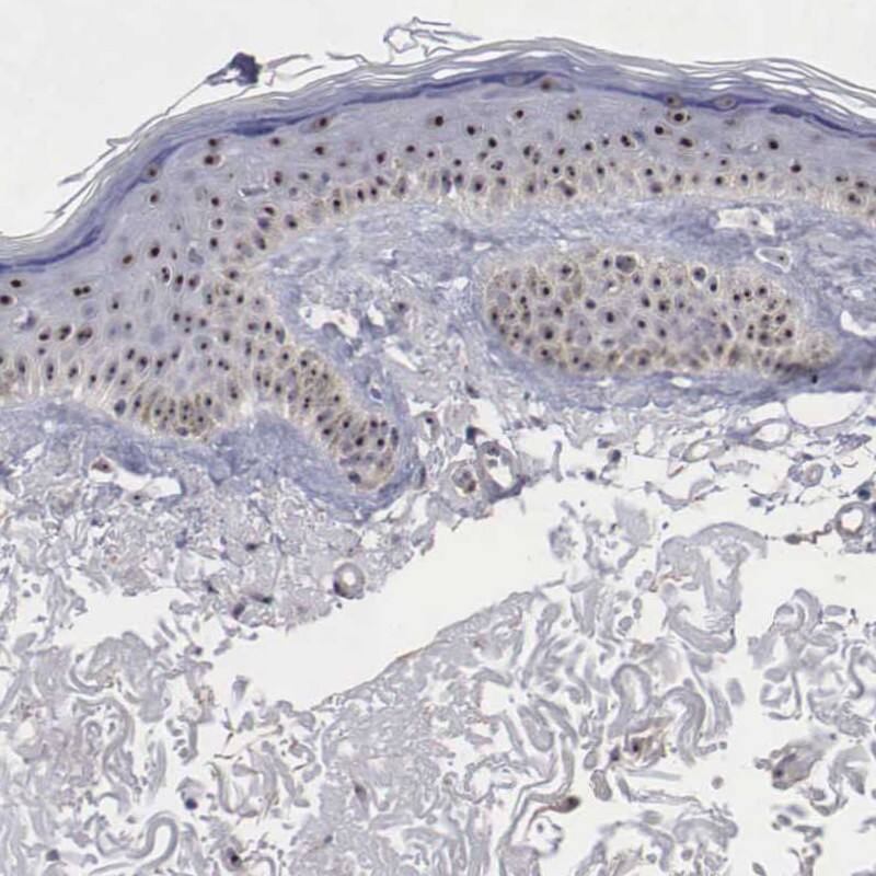
NGDN Antibody - BSA Free Immunohistochemistry-Paraffin: NGDN Antibody - BSA Free [NBP1-88408]

Immunohistochemistry-Paraffin: NGDN Antibody - BSA Free [NBP1-88408]

Staining of human skin shows strong nuclear positivity in epidermal cells.

Applications for NGDN Antibody - BSA Free

Application
Recommended Usage

Immunocytochemistry/ Immunofluorescence

0.25-2 ug/ml

Immunohistochemistry

1:200 - 1:500

Immunohistochemistry-Paraffin

1:200 - 1:500
Application Notes
For IHC-Paraffin, HIER pH 6 retrieval is recommended. ICC/IF, Fixation Permeabilization: Use PFA/Triton X-100.

Formulation, Preparation, and Storage

Purification

Affinity purified

Formulation

PBS (pH 7.2) and 40% Glycerol

Format

BSA Free

Preservative

0.02% Sodium Azide

Concentration

Concentrations vary lot to lot. See vial label for concentration. If unlisted please contact technical services.

Shipping

The product is shipped with polar packs. Upon receipt, store it immediately at the temperature recommended below.

Stability & Storage

Store at 4C short term. Aliquot and store at -20C long term. Avoid freeze-thaw cycles.

Background: NGDN

Neuroguidin is an EIF4E (MIM 133440)-binding protein that interacts with CPEB (MIM 607342) and functions as a translational regulatory protein during development of the vertebrate nervous system (Jung et al., 2006 [PubMed 16705177]).[supplied by OMIM].

Alternate Names

C14orf120, DKFZp564O092, EIF4E-binding protein, eukaryotic initiation factor 4E and CPEB binding protein, LCP5, lpd-2, neuroguidin, neuroguidin, EIF4E binding protein, NGDchromosome 14 open reading frame 120

Gene Symbol

NGDN

Additional NGDN Products

Product Documents for NGDN Antibody - BSA Free

Certificate of Analysis

To download a Certificate of Analysis, please enter a lot number in the search box below.

Product Specific Notices for NGDN Antibody - BSA Free

This product is for research use only and is not approved for use in humans or in clinical diagnosis. Primary Antibodies are guaranteed for 1 year from date of receipt.

Loading...
Loading...
Loading...
Loading...