Skip to main content

NFYC Antibody - BSA Free

Novus Biologicals, part of Bio-Techne | Catalog # NBP2-87912

Novus Biologicals, part of Bio-Techne
Catalog #
Availability
Size / Price
Qty
Loading...
NBP2-87912

Key Product Details

Species Reactivity

Human

Applications

Immunohistochemistry, Immunohistochemistry-Paraffin, Western Blot

Label

Unconjugated

Antibody Source

Polyclonal Rabbit

Format

BSA Free

Concentration

0.5 mg/ml

Product Specifications

Immunogen

The immunogen is a synthetic peptide directed towards the C-terminal region of human NFYC. Peptide sequence: MTSLSPLHPSQQLYQIQQVTMPAGQDLAQPMFIQSANQPSDGQAPQVTGD The peptide sequence for this immunogen was taken from within the described region.

Clonality

Polyclonal

Host

Rabbit

Description

Novus Biologicals Rabbit NFYC Antibody - BSA Free (NBP2-87912) is a polyclonal antibody validated for use in IHC and WB. All Novus Biologicals antibodies are covered by our 100% guarantee.

Scientific Data Images for NFYC Antibody - BSA Free

Western Blot: NFYC Antibody [NBP2-87912]

Western Blot: NFYC Antibody [NBP2-87912]

Western Blot: NFYC Antibody [NBP2-87912] - WB Suggested Anti-NFYC Antibody Titration: 0.2-1 ug/ml. ELISA Titer: 1:62500. Positive Control: Jurkat cell lysateNFYC is strongly supported by BioGPS gene expression data to be expressed in Human Jurkat cells
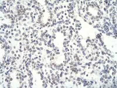
Immunohistochemistry-Paraffin: NFYC Antibody [NBP2-87912]

Immunohistochemistry-Paraffin: NFYC Antibody [NBP2-87912]

Immunohistochemistry-Paraffin: NFYC Antibody [NBP2-87912] - Paraffin Embedded Tissue: Human Lung cell. Cellular Data: Epithelial cells of renal tubule. Antibody Concentration: 4.0-8.0 ug/ml. Magnification: 400X

Applications for NFYC Antibody - BSA Free

Application
Recommended Usage

Western Blot

1.0 ug/ml

Formulation, Preparation, and Storage

Purification

Affinity purified

Formulation

PBS, 2% Sucrose

Format

BSA Free

Preservative

0.09% Sodium Azide

Concentration

0.5 mg/ml

Shipping

The product is shipped with polar packs. Upon receipt, store it immediately at the temperature recommended below.

Stability & Storage

Store at 4C short term. Aliquot and store at -20C long term. Avoid freeze-thaw cycles.

Background: NFYC

NFYC encodes one subunit of a trimeric complex forming a highly conserved transcription factor that binds with high specificity to CCAAT motifs in the promoters of a variety of genes. The encoded protein, subunit C, forms a tight dimer with the B subunit, a prerequisite for subunit A association. The resulting trimer binds to DNA with high specificity and affinity. Subunits B and C each contain a histone-like motif. Observation of the histone nature of these subunits is supported by two types of evidence; protein sequence alignments and experiments with mutants. Additional regulation, preliminarily supported by the EST database, may be represented by alternative splicing in this subunit.

Alternate Names

C subunit, nuclear transcription factor Y, gamma

Gene Symbol

NFYC

Additional NFYC Products

Product Documents for NFYC Antibody - BSA Free

Certificate of Analysis

To download a Certificate of Analysis, please enter a lot number in the search box below.

Product Specific Notices for NFYC Antibody - BSA Free

This product is for research use only and is not approved for use in humans or in clinical diagnosis. Primary Antibodies are guaranteed for 1 year from date of receipt.

Loading...
Loading...
Loading...
Loading...