Skip to main content

NFIX Antibody (HL1269) - Azide and BSA Free

Novus Biologicals, part of Bio-Techne | Catalog # NBP3-25576

Recombinant Monoclonal Antibody
Novus Biologicals, part of Bio-Techne
Catalog #
Availability
Size / Price
Qty
Loading...
NBP3-25576

Key Product Details

Species Reactivity

Validated:

Mouse, Rat

Predicted:

Human (100%). Backed by our 100% Guarantee.

Applications

Immunohistochemistry, Immunohistochemistry-Paraffin, Immunocytochemistry/ Immunofluorescence

Label

Unconjugated

Antibody Source

Recombinant Monoclonal Rabbit IgG Clone # HL1269 expressed in HEK293

Format

Azide and BSA Free

Concentration

Concentrations vary lot to lot. See vial label for concentration. If unlisted please contact technical services.

Product Specifications

Immunogen

Recombinant protein encompassing a sequence within the center region of human NFIX. The exact sequence is proprietary.

Reactivity Notes

Immunogen displays the following percentage of sequence identity for non-tested species: Xenopus (87%).

Clonality

Monoclonal

Host

Rabbit

Isotype

IgG

Description

Novus Biologicals Rabbit NFIX Antibody (HL1269) - Azide and BSA Free (NBP3-25576) is a recombinant monoclonal antibody validated for use in IHC and ICC/IF. All Novus Biologicals antibodies are covered by our 100% guarantee.

Scientific Data Images for NFIX Antibody (HL1269) - Azide and BSA Free

NFIX Antibody (HL1269) - Azide and BSA Free

Immunohistochemistry-Paraffin: NFIX Antibody (HL1269) - Azide and BSA Free [NBP3-25576] -

Immunohistochemistry-Paraffin: NFIX Antibody (HL1269) - Azide and BSA Free [NBP3-25576] - NFIX antibody [HL1269] detects NFIX protein by immunohistochemical analysis. Sample: Paraffin-embedded mouse tissue. NFIX stained by NFIX antibody [HL1269] (NBP3-25576) diluted at 1:100. Antigen Retrieval: Citrate buffer, pH 6.0, 15 min
NFIX Antibody (HL1269) - Azide and BSA Free

Immunocytochemistry/Immunofluorescence: NFIX Antibody (HL1269) - Azide and BSA Free [NBP3-25576] -

Immunocytochemistry/Immunofluorescence: NFIX Antibody (HL1269) - Azide and BSA Free [NBP3-25576] - NFIX antibody [HL1269] detects NFIX protein at nucleus by immunofluorescent analysis. Sample: DIV10 rat E18 primary hippocampal neuron and glia cells were fixed in 4% paraformaldehyde at RT for 15 min. Green: NFIX stained by NFIX antibody [HL1269] (NBP3-25576) diluted at 1:250. Red: Tau, a cytoskeleton marker, stained by Tau antibody [GT287] diluted at 1:500.
NFIX Antibody (HL1269) - Azide and BSA Free

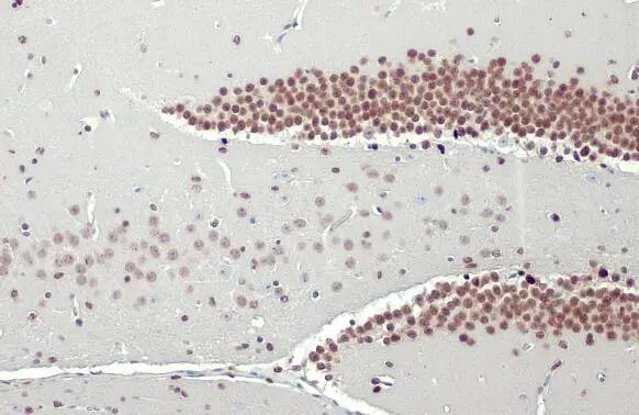
Immunohistochemistry-Paraffin: NFIX Antibody (HL1269) - Azide and BSA Free [NBP3-25576] -

Immunohistochemistry-Paraffin: NFIX Antibody (HL1269) - Azide and BSA Free [NBP3-25576] - NFIX antibody [HL1269] detects NFIX protein at nucleus by immunohistochemical analysis. Sample: Paraffin-embedded mouse brain. NFIX stained by NFIX antibody [HL1269] (NBP3-25576) diluted at 1:100. Antigen Retrieval: Citrate buffer, pH 6.0, 15 min

Applications for NFIX Antibody (HL1269) - Azide and BSA Free

Application
Recommended Usage

Immunohistochemistry-Paraffin

1:100-1:1000

Formulation, Preparation, and Storage

Purification

Protein A purified

Formulation

PBS

Format

Azide and BSA Free

Preservative

No Preservative

Concentration

Concentrations vary lot to lot. See vial label for concentration. If unlisted please contact technical services.

Shipping

The product is shipped with polar packs. Upon receipt, store it immediately at the temperature recommended below.

Stability & Storage

Store at 4C short term. Aliquot and store at -20C long term. Avoid freeze-thaw cycles.

Background: NFIX

Recognizes and binds the palindromic sequence 5'-TTGGCNNNNNGCCAA-3' present in viral and cellular promoters and in the origin of replication of adenovirus type 2. These proteins are individually capable of activating transcription and replication

Alternate Names

CTF, NF1ACCAAT-box-binding transcription factor, NF1-X, NF-I/X, NFI-X, nuclear factor 1 X-type, Nuclear factor 1/X, Nuclear factor I/X, nuclear factor I/X (CCAAT-binding transcription factor), TGGCA-binding protein

Gene Symbol

NFIX

Additional NFIX Products

Product Documents for NFIX Antibody (HL1269) - Azide and BSA Free

Certificate of Analysis

To download a Certificate of Analysis, please enter a lot number in the search box below.

Product Specific Notices for NFIX Antibody (HL1269) - Azide and BSA Free

This product is for research use only and is not approved for use in humans or in clinical diagnosis. Primary Antibodies are guaranteed for 1 year from date of receipt.

Loading...
Loading...
Loading...
Loading...