Skip to main content

NFAM1 Antibody - BSA Free

Novus Biologicals, part of Bio-Techne | Catalog # NBP1-84424

Novus Biologicals, part of Bio-Techne
Catalog #
Availability
Size / Price
Qty
Loading...
NBP1-84424
NBP1-84424-25ul

Key Product Details

Species Reactivity

Human

Applications

Immunohistochemistry, Immunohistochemistry-Paraffin, Western Blot

Label

Unconjugated

Antibody Source

Polyclonal Rabbit IgG

Format

BSA Free

Concentration

Concentrations vary lot to lot. See vial label for concentration. If unlisted please contact technical services.

Product Specifications

Immunogen

This antibody was developed against Recombinant Protein corresponding to amino acids: NKKRMRGPGKDPTRKCPDPRSASSPKQHPSESVYTALQRRETEVYACIENEDGSSPTAKQSPLSQERPHRFEDDGELNLVYE

Clonality

Polyclonal

Host

Rabbit

Isotype

IgG

Scientific Data Images for NFAM1 Antibody - BSA Free

Immunohistochemistry-Paraffin: NFAM1 Antibody [NBP1-84424]

Immunohistochemistry-Paraffin: NFAM1 Antibody [NBP1-84424]

Immunohistochemistry-Paraffin: NFAM1 Antibody [NBP1-84424] - Staining of human tonsil shows moderate membranous positivity in non-germinal center cells.
Immunohistochemistry-Paraffin: NFAM1 Antibody [NBP1-84424]

Immunohistochemistry-Paraffin: NFAM1 Antibody [NBP1-84424]

Immunohistochemistry-Paraffin: NFAM1 Antibody [NBP1-84424] - Staining of human bone marrow shows strong cytoplasmic positivity in hematopoietic cells.
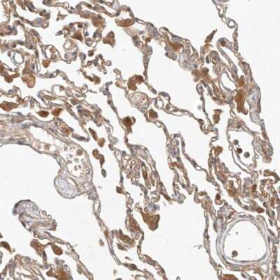
Immunohistochemistry-Paraffin: NFAM1 Antibody [NBP1-84424]

Immunohistochemistry-Paraffin: NFAM1 Antibody [NBP1-84424]

Immunohistochemistry-Paraffin: NFAM1 Antibody [NBP1-84424] - Staining of human lung shows moderate cytoplasmic positivity in macrophages.

Applications for NFAM1 Antibody - BSA Free

Application
Recommended Usage

Immunohistochemistry

1:50 - 1:200

Immunohistochemistry-Paraffin

1:50-1:200

Western Blot

0.04-0.4 ug/ml
Application Notes
For IHC-Paraffin, HIER pH 6 retrieval is recommended.

Formulation, Preparation, and Storage

Purification

Affinity purified

Formulation

PBS (pH 7.2) and 40% Glycerol

Format

BSA Free

Preservative

0.02% Sodium Azide

Concentration

Concentrations vary lot to lot. See vial label for concentration. If unlisted please contact technical services.

Shipping

The product is shipped with polar packs. Upon receipt, store it immediately at the temperature recommended below.

Stability & Storage

Store at 4C short term. Aliquot and store at -20C long term. Avoid freeze-thaw cycles.

Background: NFAM1

NFAM1 is encoded by this gene is a type I membrane receptor that activates cytokine gene promoters such as the IL-13 and TNF-alpha promoters. The encoded protein contains an immunoreceptor tyrosine-based activation motif (ITAM) and is thought to regulate the signaling and development of B-cells. [provided by RefSeq]

Long Name

NFAT Activating Protein with ITAM Motif 1

Alternate Names

CNAIP

Gene Symbol

NFAM1

Additional NFAM1 Products

Product Documents for NFAM1 Antibody - BSA Free

Certificate of Analysis

To download a Certificate of Analysis, please enter a lot number in the search box below.

Product Specific Notices for NFAM1 Antibody - BSA Free

This product is for research use only and is not approved for use in humans or in clinical diagnosis. Primary Antibodies are guaranteed for 1 year from date of receipt.

Loading...
Loading...
Loading...
Loading...