Skip to main content

NF-M Antibody - BSA Free

Novus Biologicals, part of Bio-Techne | Catalog # NBP1-87754

Novus Biologicals, part of Bio-Techne
Catalog #
Availability
Size / Price
Qty
Loading...
NBP1-87754
NBP1-87754-25ul

Key Product Details

Validated by

Orthogonal Validation, Independent Antibodies

Species Reactivity

Human

Applications

Immunohistochemistry, Immunohistochemistry-Paraffin, Western Blot, Immunocytochemistry/ Immunofluorescence

Label

Unconjugated

Antibody Source

Polyclonal Rabbit IgG

Format

BSA Free

Concentration

Concentrations vary lot to lot. See vial label for concentration. If unlisted please contact technical services.

Product Specifications

Immunogen

This antibody was developed against Recombinant Protein corresponding to amino acids: KEEEEKEVKEAPKEEKVEKKEEKPKDVPEKKKAESPVKEEAVAEVVTITKSVKVHLEKETKEEGKPLQQEKEKEKAGGEGGSEEEGSDKGAKG

Marker

Neuronal Marker

Clonality

Polyclonal

Host

Rabbit

Isotype

IgG

Description

Novus Biologicals Rabbit NF-M Antibody - BSA Free (NBP1-87754) is a polyclonal antibody validated for use in IHC, WB and ICC/IF. Anti-NF-M Antibody: Cited in 2 publications. All Novus Biologicals antibodies are covered by our 100% guarantee.

Scientific Data Images for NF-M Antibody - BSA Free

Immunohistochemistry-Paraffin: NF-M Antibody [NBP1-87754]

Immunohistochemistry-Paraffin: NF-M Antibody [NBP1-87754]

Immunohistochemistry-Paraffin: NF-M Antibody [NBP1-87754] - Analysis in human cerebral cortex and liver tissues. Corresponding NF-M RNA-seq data are presented for the same tissues.
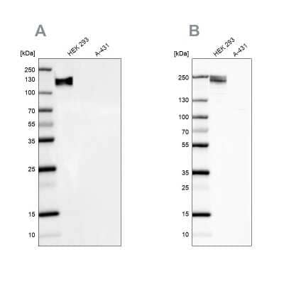
Western Blot: NF-M Antibody [NBP1-87754]

Western Blot: NF-M Antibody [NBP1-87754]

Western Blot: NF-M Antibody [NBP1-87754] - Analysis NBP1-87754 (A) shows similar pattern to independent antibody NBP1-87753 (B).
Immunocytochemistry/ Immunofluorescence: NF-M Antibody [NBP1-87754]

Immunocytochemistry/ Immunofluorescence: NF-M Antibody [NBP1-87754]

Immunocytochemistry/Immunofluorescence: NF-M Antibody [NBP1-87754] - Staining of human cell line HEK 293 shows localization to intermediate filaments. Antibody staining is shown in green.

Applications for NF-M Antibody - BSA Free

Application
Recommended Usage

Immunocytochemistry/ Immunofluorescence

0.25-2 ug/ml

Immunohistochemistry

1:1000 - 1:2500

Immunohistochemistry-Paraffin

1:1000 - 1:2500

Western Blot

0.04-0.4 ug/ml
Application Notes
For IHC-Paraffin, HIER pH 6 retrieval is recommended. ICC/IF, Fixation/Permeabilization: PFA/Triton X-100.

Formulation, Preparation, and Storage

Purification

Immunogen affinity purified

Formulation

PBS (pH 7.2) and 40% Glycerol

Format

BSA Free

Preservative

0.02% Sodium Azide

Concentration

Concentrations vary lot to lot. See vial label for concentration. If unlisted please contact technical services.

Shipping

The product is shipped with polar packs. Upon receipt, store it immediately at the temperature recommended below.

Stability & Storage

Store at 4C short term. Aliquot and store at -20C long term. Avoid freeze-thaw cycles.

Background: NF-M

Neurofilaments are 10nm intermediate filament proteins located in vertebrate neurons, which regulate axonal diameter. They are composed predominantly of the three major neurofilament proteins: NF-Light, NF-Medium and NF-Heavy. NF-M is the middle or medium neurofilament subunit and runs on SDS-PAGE gels in the range 145-170kDa, with some size variation in across species.

Antibodies to NF-M may be used to identify NF-M in neurons and to study neuronal processes in tissue sections and/or culture. NF-M can also be useful in studies of neurofilament accumulations seen in many neurological diseases, such as Lou Gehrig's disease or Alzheimer's disease.

Long Name

Neurofilament Protein, Medium Chain

Alternate Names

NEF3, NEFM, NFM

Gene Symbol

NEFM

Additional NF-M Products

Product Documents for NF-M Antibody - BSA Free

Certificate of Analysis

To download a Certificate of Analysis, please enter a lot number in the search box below.

Product Specific Notices for NF-M Antibody - BSA Free

This product is for research use only and is not approved for use in humans or in clinical diagnosis. Primary Antibodies are guaranteed for 1 year from date of receipt.

Loading...
Loading...
Loading...
Loading...