NF-H Antibody (RT-97 + NR-4) - IHC-Prediluted
Novus Biologicals, part of Bio-Techne | Catalog # NBP2-48253
Conjugate
Catalog #
Forumulation
Catalog #
Key Product Details
Species Reactivity
Human, Mouse, Rat, Porcine, Chicken
Applications
Immunohistochemistry, Immunohistochemistry-Paraffin
Label
Unconjugated
Antibody Source
Monoclonal Mouse IgG1 Kappa/IgG1 Kappa Clone # RT-97 + NR-4
Format
IHC-Prediluted
Concentration
Please see the vial label for concentration. If unlisted please contact technical services.
Product Specifications
Immunogen
Triton-X 100 insoluble proteins of rat brain (RT-97); Neurofilaments from porcine spinal cord (NR-4) (Uniprot: P12036)
Localization
Cytoplasmic
Specificity
This monoclonal antibody reacts with a 200kDa and 68kDa protein, identified as heavy and light sub-units of neurofilaments (NF-H NF-L). Neurofilaments make up the main structural elements of axons and dendrites and are found in neurons, peripheral nerves, and sympathetic ganglion cells. Neurofilaments consist of three major subunits with molecular weights of 68kDa (NF-L), 160kDa (NF-M) and 200kDa (NF-H). Anti-neurofilament stains a number of neural, neuroendocrine, and endocrine tumors. Neuromas, ganglioneuromas, gangliogliomas, ganglioneuroblastomas, and neuroblastomas stain positively for anti-neurofilament. Neurofilaments are also present in paragangliomas as well as adrenal and extra-adrenal pheochromocytomas. Carcinoids, neuroendocrine carcinomas of the skin, and oat cell carcinomas of the lung also express neurofilament.
Marker
Neuronal Marker
Clonality
Monoclonal
Host
Mouse
Isotype
IgG1 Kappa/IgG1 Kappa
Description
The prediluted antibody does not require any mixing, dilution, reconstitution, or titration; the antibody is ready-to-use and optimized for staining.
Scientific Data Images for NF-H Antibody (RT-97 + NR-4) - IHC-Prediluted
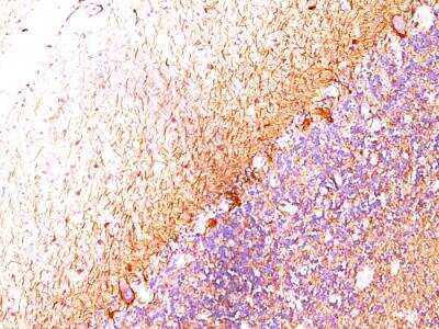
Immunohistochemistry-Paraffin: NF-H Antibody (RT-97 + NR-4) - IHC-Prediluted [NBP2-48253]
Immunohistochemistry-Paraffin: NF-H Antibody (RT-97 + NR-4) - IHC-Prediluted [NBP2-48253] - Formalin-fixed, paraffin-embedded Rat Cerebellum stained with Neurofilament Monoclonal Antibody (RT-97 + NR-4).Immunohistochemistry-Paraffin: NF-H Antibody (RT-97 + NR-4) - IHC-Prediluted [NBP2-48253]
Immunohistochemistry-Paraffin: NF-H Antibody (RT-97 + NR-4) - IHC-Prediluted [NBP2-48253] - Formalin-fixed, paraffin-embedded human Cerebellum stained with Neurofilament Monoclonal Antibody (RT-97 + NR-4).Flow Cytometry: NF-H Antibody (RT-97 + NR-4) - IHC-Prediluted [NBP2-48253] -
Flow Cytometric Analysis of HEK293 cells using NF-H Antibody (RT-97 + NR-4) - IHC-Prediluted followed by goat anti-Mouse IgG-CF488 (Blue); Isotype control (Red).Applications for NF-H Antibody (RT-97 + NR-4) - IHC-Prediluted
Application
Recommended Usage
Immunohistochemistry
Optimal dilutions of this antibody should be experimentally determined.
Immunohistochemistry-Paraffin
Optimal dilutions of this antibody should be experimentally determined.
Application Notes
Immunohistochemistry (Formalin-fixed): 0.25-0.5ug/ml for 30 minutes at RT. Staining of formalin-fixed tissues requires heating tissue sections in 10mM Tris with 1mM EDTA, pH 9.0, for 45 min at 95C followed by cooling at RT for 20 minutes.
Optimal dilution for a specific application should be determined.
Optimal dilution for a specific application should be determined.
Formulation, Preparation, and Storage
Purification
Protein G purified
Formulation
10 mM PBS with 0.05% BSA
Format
IHC-Prediluted
Preservative
0.05% Sodium Azide
Concentration
Please see the vial label for concentration. If unlisted please contact technical services.
Shipping
The product is shipped with polar packs. Upon receipt, store it immediately at the temperature recommended below.
Stability & Storage
Store at 4C.
Background: NF-H
Antibodies to NF-H may be used to identify NF-H in neurons and to study neuronal processes in tissue sections and/or culture. NF-H antibodies can also be used to study microfilament accumulations seen in many neurological diseases, such as Lou Geri's disease or Alzheimer's disease.
Long Name
Neurofilament Protein, Heavy Chain
Alternate Names
NEFH, NFH
Gene Symbol
NEFH
Additional NF-H Products
Product Documents for NF-H Antibody (RT-97 + NR-4) - IHC-Prediluted
Product Specific Notices for NF-H Antibody (RT-97 + NR-4) - IHC-Prediluted
This product is for research use only and is not approved for use in humans or in clinical diagnosis. Primary Antibodies are guaranteed for 1 year from date of receipt.
Loading...
Loading...
Loading...
Loading...