Skip to main content

Neurturin Antibody - BSA Free

Novus Biologicals, part of Bio-Techne | Catalog # NBP1-77047

Novus Biologicals, part of Bio-Techne
Catalog #
Availability
Size / Price
Qty
Loading...
NBP1-77047-0.025mg
NBP1-77047

Key Product Details

Species Reactivity

Human, Mouse

Applications

Immunohistochemistry, Immunohistochemistry-Paraffin, Western Blot, ELISA, Immunocytochemistry/ Immunofluorescence

Label

Unconjugated

Antibody Source

Polyclonal Rabbit IgG

Format

BSA Free

Concentration

1 mg/ml

Product Specifications

Immunogen

Antibody was raised against a 16 amino acid peptide near the carboxy terminus of human Neurturin. The immunogen is located within the last 50 amino acids of Neurturin. Amino Acid Squence: DAHSRYHTVHELSARE

Reactivity Notes

Immunogen displays the following percentage of sequence identity for non-tested species: Mouse (81%)

Clonality

Polyclonal

Host

Rabbit

Isotype

IgG

Theoretical MW

14 kDa.
Disclaimer note: The observed molecular weight of the protein may vary from the listed predicted molecular weight due to post translational modifications, post translation cleavages, relative charges, and other experimental factors.

Description

Novus Biologicals Rabbit Neurturin Antibody - BSA Free (NBP1-77047) is a polyclonal antibody validated for use in IHC, WB, ELISA and ICC/IF. Anti-Neurturin Antibody: Cited in 1 publication. All Novus Biologicals antibodies are covered by our 100% guarantee.

Scientific Data Images for Neurturin Antibody - BSA Free

Western Blot: Neurturin AntibodyBSA Free [NBP1-77047]

Western Blot: Neurturin AntibodyBSA Free [NBP1-77047]

Western Blot: Neurturin Antibody [NBP1-77047] - HeLa cell lyaste containing 10 or 2.5 ng of full length recombinant NTN with neurturin antibody at 1:500.
Neurturin Antibody - BSA Free

Immunocytochemistry/ Immunofluorescence: Neurturin Antibody - BSA Free [NBP1-77047] -

Immunocytochemistry/ Immunofluorescence: Neurturin Antibody - BSA Free [NBP1-77047] - Immunofluorescence of Neurturin in mouse brain tissue with Neurturin Antibody at 20 ug/mL.

Green: Neuriturin Antibody
Red: Phylloidin staining
Blue: DAPI staining
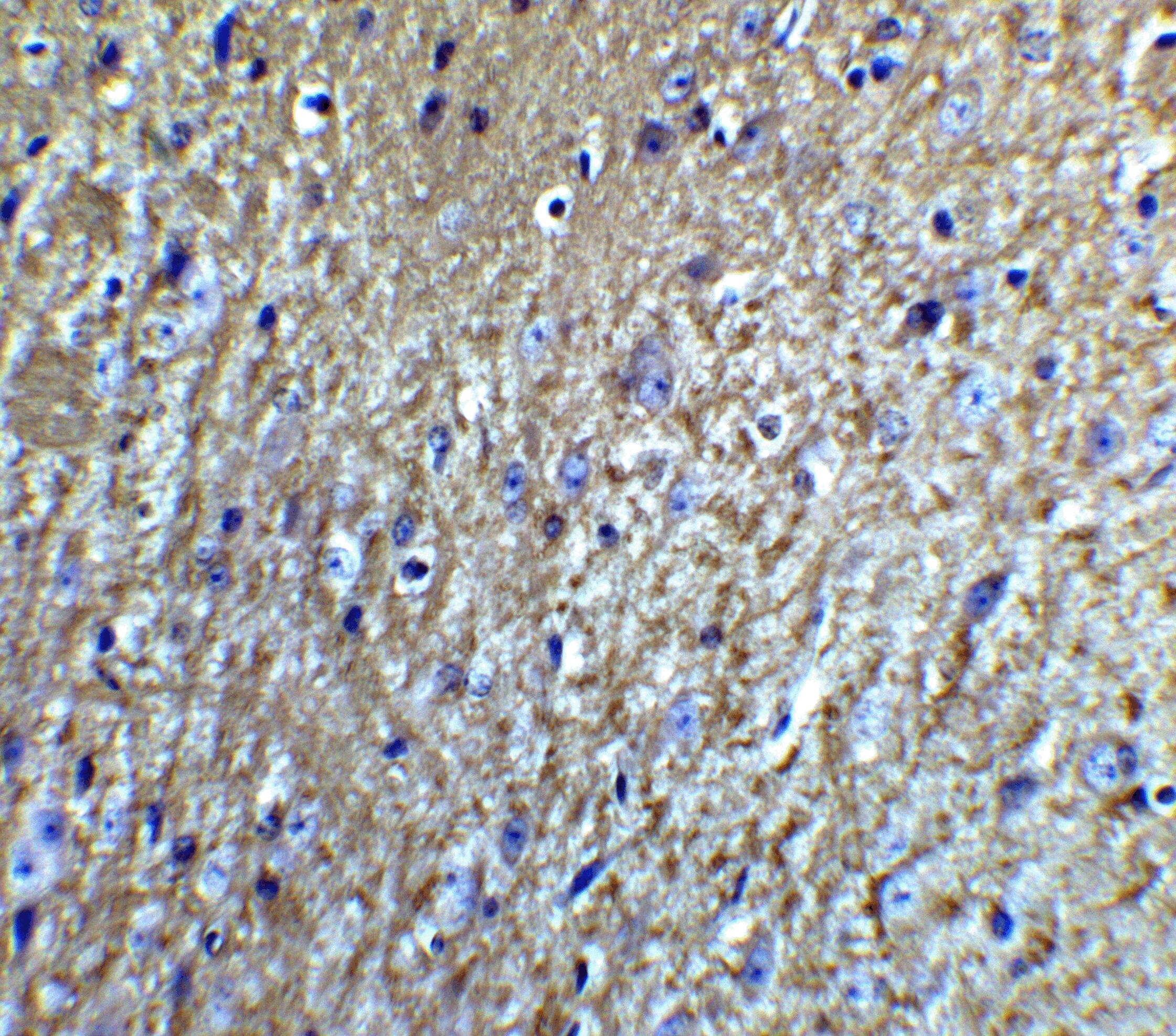
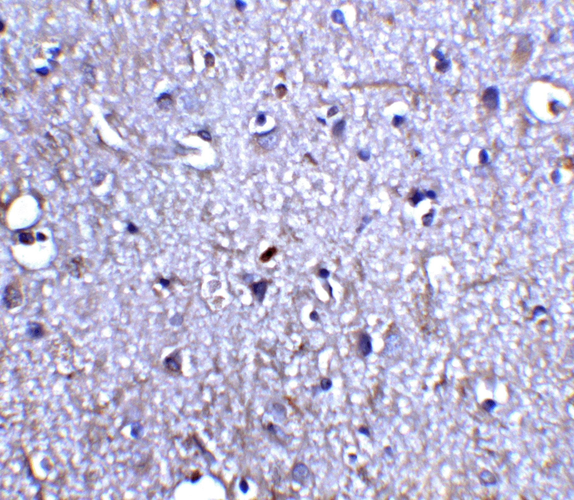
Neurturin Antibody - BSA Free

Immunohistochemistry: Neurturin Antibody - BSA Free [NBP1-77047] -

Immunohistochemistry: Neurturin Antibody - BSA Free [NBP1-77047] - Immunohistochemistry of Neurturin in mouse brain tissue with Neurturin Antibody at 5 ug/mL.

Applications for Neurturin Antibody - BSA Free

Application
Recommended Usage

ELISA

1:100-1:2000

Immunocytochemistry/ Immunofluorescence

5 ug/ml

Immunohistochemistry

5 ug/ml

Immunohistochemistry-Paraffin

5 ug/ml

Western Blot

1:100-1:2000
Application Notes
An approximate 14 kDa band of the full length recombinant Neurturin was detected in Western Blot.

Formulation, Preparation, and Storage

Purification

Peptide affinity purified

Formulation

PBS

Format

BSA Free

Preservative

0.02% Sodium Azide

Concentration

1 mg/ml

Shipping

The product is shipped with polar packs. Upon receipt, store it immediately at the temperature recommended below.

Stability & Storage

Store at 4C short term. Aliquot and store at -20C long term. Avoid freeze-thaw cycles.

Background: Neurturin

Glial cell line-derived neurotrophic factor (GDNF) plays key roles in the control of vertebrate neuron survival and differentiation. A novel neurotrophic factor was recently cloned from human and mouse and designated neurturin. Physiological responses to neurturin (NTN) require the presence of receptor tyrosine kinase RET and a novel glycosylphosphatidylinositol linked receptor NTNRalpha. The cDNAs encoding NTNRalpha from human, rat, chicken, and mouse have been cloned recently and termed GDNFRbeta, Ret ligand 2 (RETL2) or TGF-beta-related neurotrophic factor receptor 2 (TrnR2) and nominated as GFRalpha-2 recently. NTN binds to and forms a complex with GFRalpha-2 and the Ret PTK and activates the RET receptor tyrosine kinase pathway. Both NTN and GDNF can activate the MAP kinase and phosphatidylinositol 3-kinase pathways and play a critical role in the development of many neuronal populations. Neurturin and GDNF define a new family of neurotrophic factors.

Alternate Names

NRTN, NTN

Gene Symbol

NRTN

Additional Neurturin Products

Product Documents for Neurturin Antibody - BSA Free

Certificate of Analysis

To download a Certificate of Analysis, please enter a lot number in the search box below.

Product Specific Notices for Neurturin Antibody - BSA Free

This product is for research use only and is not approved for use in humans or in clinical diagnosis. Primary Antibodies are guaranteed for 1 year from date of receipt.

Loading...
Loading...
Loading...
Loading...