Skip to main content

Neurotrypsin Antibody - BSA Free

Novus Biologicals, part of Bio-Techne | Catalog # NBP1-76784

Novus Biologicals, part of Bio-Techne

Key Product Details

Species Reactivity

Human, Mouse, Rat

Applications

Immunohistochemistry, Immunohistochemistry-Paraffin, Western Blot, ELISA, Immunocytochemistry/ Immunofluorescence

Label

Unconjugated

Antibody Source

Polyclonal Rabbit IgG

Format

BSA Free

Concentration

1 mg/ml

Product Specifications

Immunogen

Antibody was raised against a 23 amino acid synthetic peptide from near the amino terminus of human neurotrypsin. The immunogen is located within amino acids 110 - 160 of Neurotrypsin. Amino Acid Squence: VPPFLERSPPASWAQLRGQRHNF

Clonality

Polyclonal

Host

Rabbit

Isotype

IgG

Theoretical MW

96 kDa.
Disclaimer note: The observed molecular weight of the protein may vary from the listed predicted molecular weight due to post translational modifications, post translation cleavages, relative charges, and other experimental factors.

Description

Novus Biologicals Rabbit Neurotrypsin Antibody - BSA Free (NBP1-76784) is a polyclonal antibody validated for use in IHC, WB, ELISA and ICC/IF. All Novus Biologicals antibodies are covered by our 100% guarantee.

Scientific Data Images for Neurotrypsin Antibody - BSA Free

Western Blot: Neurotrypsin AntibodyBSA Free [NBP1-76784]

Western Blot: Neurotrypsin AntibodyBSA Free [NBP1-76784]

Western Blot: Neurotrypsin Antibody [NBP1-76784] - Analysis in in 3T3 cell lysate with antibody at (A) 0.25 and (B) 0.5 ug/mL.
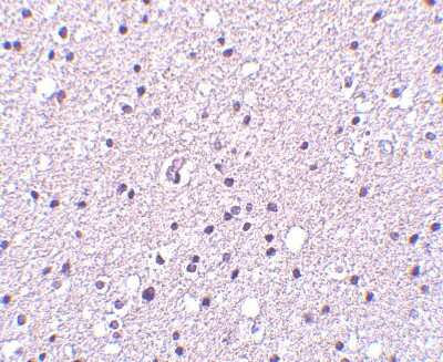
Immunohistochemistry-Paraffin: Neurotrypsin Antibody - BSA Free [NBP1-76784]

Immunohistochemistry-Paraffin: Neurotrypsin Antibody - BSA Free [NBP1-76784]

Immunohistochemistry-Paraffin: Neurotrypsin Antibody [NBP1-76784] - Human brain tissue with Neurotrypsin antibody at 2.5 ug/ml.
Western Blot: Neurotrypsin AntibodyBSA Free [NBP1-76784]

Western Blot: Neurotrypsin AntibodyBSA Free [NBP1-76784]

Western Blot: Neurotrypsin Antibody [NBP1-76784] - SK-N-SH cell lysate with neurotrypsin antibody at (A) 0.5, (B) 1 and (C) 2 ug/mL.

Applications for Neurotrypsin Antibody - BSA Free

Application
Recommended Usage

ELISA

1:100-1:2000

Immunocytochemistry/ Immunofluorescence

20 ug/ml

Immunohistochemistry

2.5 ug/ml

Immunohistochemistry-Paraffin

2.5 ug/ml

Western Blot

0.5-2 ug/ml

Formulation, Preparation, and Storage

Purification

Peptide affinity purified

Formulation

PBS

Format

BSA Free

Preservative

0.02% Sodium Azide

Concentration

1 mg/ml

Shipping

The product is shipped with polar packs. Upon receipt, store it immediately at the temperature recommended below.

Stability & Storage

Store at 4C short term. Aliquot and store at -20C long term. Avoid freeze-thaw cycles.

Background: Neurotrypsin

Neurotrypsin is a central nervous system-expressed serine protease whose truncation or absence causes nonsyndromic mental retardation. It is most prominently expressed in structures that are involved in the processing and storage of learned behavior and memory, such as the cerebral cortex, the hippocampus, and amygdala. Evidence suggests that neurotrypsin has multiple functions, including axonal outgrowth, maintaining neuronal plasticity, and arranging the perineuronal environment, partly in coordination with other proteases including tissue plasminogen activator. At least two isoforms of neurotrypsin are known to exist.

Alternate Names

brain-specific serine protease 3, BSSP3, BSSP-3, EC 3.4.21, leydin, MGC12722, Motopsin, MRT1EC 3.4.21.-, neurotrypsin, protease, serine, 12 (neurotrypsin, motopsin), Serine protease 12

Gene Symbol

PRSS12

Additional Neurotrypsin Products

Product Documents for Neurotrypsin Antibody - BSA Free

Certificate of Analysis

To download a Certificate of Analysis, please enter a lot number in the search box below.

Product Specific Notices for Neurotrypsin Antibody - BSA Free

This product is for research use only and is not approved for use in humans or in clinical diagnosis. Primary Antibodies are guaranteed for 1 year from date of receipt.

Loading...
Loading...
Loading...
Loading...