Skip to main content

Neuromedin BR/NMBR Antibody - BSA Free

Novus Biologicals, part of Bio-Techne | Catalog # NLS828

Novus Biologicals, part of Bio-Techne
Catalog #
Availability
Size / Price
Qty
Loading...
NLS828

Key Product Details

Species Reactivity

Validated:

Human

Predicted:

Primate (100%). Backed by our 100% Guarantee.

Applications

Immunohistochemistry, Immunohistochemistry-Paraffin

Label

Unconjugated

Antibody Source

Polyclonal Rabbit IgG

Format

BSA Free

Concentration

1.0 mg/ml

Product Specifications

Immunogen

Synthetic 19 amino acid peptide from C-terminus of human Neuromedin BR/NMBR.

Epitope

C-Terminus

Reactivity Notes

Predicted cross-reactivity based on sequence identity: Gorilla (100%), Gibbon (100%), Monkey (89%), Marmoset (89%), Mouse (89%), Bovine (89%), Rat (84%), Canine (84%), Bat (84%), Rabbit (84%), Porcine (84%).

Specificity

Human NMBR. BLAST analysis of the peptide immunogen showed no homology with other human proteins.

Clonality

Polyclonal

Host

Rabbit

Isotype

IgG

Description

Product can be stored undiluted at 4C for up to 1 month.

Scientific Data Images for Neuromedin BR/NMBR Antibody - BSA Free

Immunohistochemistry-Paraffin: Neuromedin BR/NMBR Antibody - BSA Free [NLS828]

Immunohistochemistry-Paraffin: Neuromedin BR/NMBR Antibody - BSA Free [NLS828]

Immunohistochemistry-Paraffin: Neuromedin B R/NMBR Antibody [NLS828] - Anti-NMBR antibody IHC of human Skin, Melanoma. Immunohistochemistry of formalin-fixed, paraffin-embedded tissue after heat-induced antigen retrieval.
Immunohistochemistry: Neuromedin BR/NMBR Antibody - BSA Free [NLS828]

Immunohistochemistry: Neuromedin BR/NMBR Antibody - BSA Free [NLS828]

Immunohistochemistry: Neuromedin B R/NMBR Antibody [NLS828] - Analysis of anti-NMBR antibody with brain, pituitary using this antibody at 9 ug/ ml.
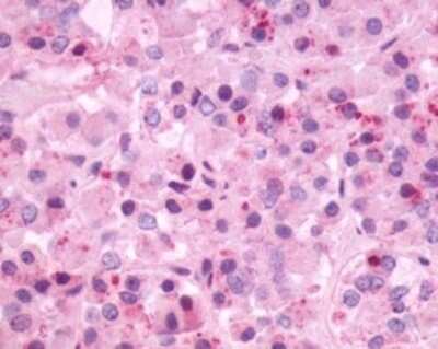
Immunohistochemistry-Paraffin: Neuromedin BR/NMBR Antibody - BSA Free [NLS828]

Immunohistochemistry-Paraffin: Neuromedin BR/NMBR Antibody - BSA Free [NLS828]

Immunohistochemistry-Paraffin: Neuromedin B R/NMBR Antibody [NLS828] - Analysis of anti-NMBR antibody with human brain, glioblastoma.

Applications for Neuromedin BR/NMBR Antibody - BSA Free

Application
Recommended Usage

Immunohistochemistry-Paraffin

9 ug/ml
Application Notes
.

Formulation, Preparation, and Storage

Purification

Immunogen affinity purified

Formulation

PBS

Format

BSA Free

Preservative

0.1% Sodium Azide

Concentration

1.0 mg/ml

Shipping

The product is shipped with polar packs. Upon receipt, store it immediately at the temperature recommended below.

Stability & Storage

Keep as concentrated solution. Aliquot and store at -20C or below. Avoid multiple freeze-thaw cycles.

Background: Neuromedin BR/NMBR

The neuromedin B receptor, a Bombesin Receptor, activates phospholipase and protein kinase C and enhances calcium mobilization. It binds neuromedin B, a potent mitogen and growth factor for normal and neoplastic lung and for gastrointestinal epithelial tissues. Neuromedin B receptor expression has been reported in brain, particularly the olfactory bulb and thalamus, and in colon, liver, placenta, testis, spinal cord, and gastrointestinal tract. In addition, it has been shown to be present in cancer of the lung, ovary, and prostate. ESTs have been isolated from B-cell/lung/testis and brain libraries.

Long Name

Neuromedin B Receptor

Alternate Names

Neuromedin B R, NMBR

Entrez Gene IDs

4829 (Human)

Gene Symbol

NMBR

Additional Neuromedin BR/NMBR Products

Product Documents for Neuromedin BR/NMBR Antibody - BSA Free

Certificate of Analysis

To download a Certificate of Analysis, please enter a lot number in the search box below.

Product Specific Notices for Neuromedin BR/NMBR Antibody - BSA Free

This product is for research use only and is not approved for use in humans or in clinical diagnosis. Primary Antibodies are guaranteed for 1 year from date of receipt.

Loading...
Loading...
Loading...
Loading...