Skip to main content

Neuro D4 Antibody - BSA Free

Novus Biologicals, part of Bio-Techne | Catalog # NBP2-13932

Novus Biologicals, part of Bio-Techne
Catalog #
Availability
Size / Price
Qty
Loading...
NBP2-13932
NBP2-13932-25ul

Key Product Details

Validated by

Orthogonal Validation

Species Reactivity

Validated:

Human

Predicted:

Mouse (96%), Rat (96%). Backed by our 100% Guarantee.

Applications

Validated:

Immunocytochemistry/ Immunofluorescence, Immunohistochemistry, Immunohistochemistry-Paraffin, Western Blot

Cited:

Immunocytochemistry/ Immunofluorescence

Label

Unconjugated

Antibody Source

Polyclonal Rabbit IgG

Format

BSA Free

Concentration

Concentrations vary lot to lot. See vial label for concentration. If unlisted please contact technical services.

Product Specifications

Immunogen

This antibody was developed against a recombinant protein corresponding to the amino acids: VLEALLCAETGEKKIELKEEETIMDCQKQQLLEFPHDLEVEDLEDDIPRRKNRAKGKAYGIGGLRKRQDTASLEDR

Clonality

Polyclonal

Host

Rabbit

Isotype

IgG

Description

Novus Biologicals Rabbit Neuro D4 Antibody - BSA Free (NBP2-13932) is a polyclonal antibody validated for use in IHC, WB and ICC/IF. All Novus Biologicals antibodies are covered by our 100% guarantee.

Scientific Data Images for Neuro D4 Antibody - BSA Free

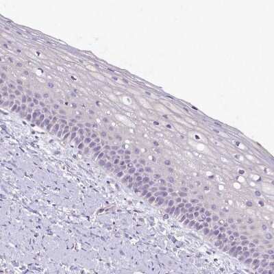
Immunohistochemistry-Paraffin: Neuro D4 Antibody [NBP2-13932]

Immunohistochemistry-Paraffin: Neuro D4 Antibody [NBP2-13932]

Immunohistochemistry-Paraffin: Neuro D4 Antibody [NBP2-13932] - Analysis in human cerebral cortex and cervix, uterine tissues using NBP2-13932 antibody. Corresponding DPF1 RNA-seq data are presented for the same tissues.
Western Blot: Neuro D4 Antibody [NBP2-13932]

Western Blot: Neuro D4 Antibody [NBP2-13932]

Western Blot: Neuro D4 Antibody [NBP2-13932] - Analysis in human cell line RT-4.
Immunocytochemistry/ Immunofluorescence: Neuro D4 Antibody [NBP2-13932]

Immunocytochemistry/ Immunofluorescence: Neuro D4 Antibody [NBP2-13932]

Immunocytochemistry/Immunofluorescence: Neuro D4 Antibody [NBP2-13932] - Staining of human cell line MCF7 shows localization to nucleoplasm & cytosol. Antibody staining is shown in green.

Applications for Neuro D4 Antibody - BSA Free

Application
Recommended Usage

Immunocytochemistry/ Immunofluorescence

0.25-2 ug/ml

Immunohistochemistry

1:50 - 1:200

Immunohistochemistry-Paraffin

1:50-1:200

Western Blot

0.04-0.4 ug/ml
Application Notes
For IHC-Paraffin, HIER pH 6 retrieval is recommended. ICC/IF Fixation Permeabilization: Use PFA/Triton X-100.

Reviewed Applications

Read 1 review rated 4 using NBP2-13932 in the following applications:

Formulation, Preparation, and Storage

Purification

Immunogen affinity purified

Formulation

PBS (pH 7.2) and 40% Glycerol

Format

BSA Free

Preservative

0.02% Sodium Azide

Concentration

Concentrations vary lot to lot. See vial label for concentration. If unlisted please contact technical services.

Shipping

The product is shipped with polar packs. Upon receipt, store it immediately at the temperature recommended below.

Stability & Storage

Store at 4C short term. Aliquot and store at -20C long term. Avoid freeze-thaw cycles.

Background: Neuro D4

Conserved gene encoding a human 353 amino acid neural specific zinc finger protein which was designated neuro d4. A cysteine and histidine rich region of the C terminus distinguishes members of this family from other zinc finger proteins. The human and rat cDNAs are 93% identical and only 3 amino acid differences are observed between the proteins. Different alternatively spliced cDNAs can be observed. The gene has been mapped to chromosome 19 using chromosomal somatic cell hybrid panels.

Alternate Names

BAF45B, BRG1-associated factor 45B, D4, zinc and double PHD fingers family 1NEUD4BAF45b, MGC150428, MGC150429, neuro-d4, neuro-d4 homolog, zinc finger protein neuro-d4

Gene Symbol

DPF1

Additional Neuro D4 Products

Product Documents for Neuro D4 Antibody - BSA Free

Certificate of Analysis

To download a Certificate of Analysis, please enter a lot number in the search box below.

Product Specific Notices for Neuro D4 Antibody - BSA Free

This product is for research use only and is not approved for use in humans or in clinical diagnosis. Primary Antibodies are guaranteed for 1 year from date of receipt.

Loading...
Loading...
Loading...
Loading...