Skip to main content

Nephronophthisis Antibody - BSA Free

Novus Biologicals, part of Bio-Techne | Catalog # NBP2-98647

Novus Biologicals, part of Bio-Techne

Key Product Details

Species Reactivity

Human

Applications

Immunohistochemistry, Immunohistochemistry-Paraffin, Western Blot, Immunoprecipitation

Label

Unconjugated

Antibody Source

Polyclonal Rabbit IgG

Format

BSA Free

Concentration

Please see the vial label for concentration. If unlisted please contact technical services.

Product Specifications

Immunogen

Produced in rabbits immunized with E. coli-derived Human Nephronophthisis fragment.

Clonality

Polyclonal

Host

Rabbit

Isotype

IgG

Description

This antibody can be stored at 2C to 8C for one month without detectable loss of activity. Antibody products are stable for twelve months from date of receipt when stored at -20C to -80C. Avoid repeated freeze-thaw cycles.

Scientific Data Images for Nephronophthisis Antibody - BSA Free

Western Blot: Nephronophthisis Antibody [NBP2-98647]

Western Blot: Nephronophthisis Antibody [NBP2-98647]

Western Blot: Nephronophthisis Antibody [NBP2-98647] - Anti-Nephronophthisis rabbit polyclonal antibody at 1:500 dilution. Lane A: Hela Whole Cell Lysate. Lane B: U-251 MG Whole Cell Lysate. Lysates/proteins at 30 ug per lane. Secondary Goat Anti-Rabbit IgG (H+L)/HRP at 1/10000 dilution. Developed using the ECL technique. Performed under reducing conditions. Predicted band size: 80 kDa
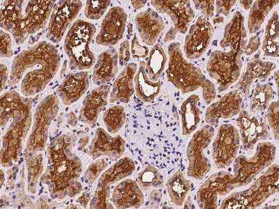
Immunohistochemistry-Paraffin: Nephronophthisis Antibody [NBP2-98647]

Immunohistochemistry-Paraffin: Nephronophthisis Antibody [NBP2-98647]

Immunohistochemistry-Paraffin: Nephronophthisis Antibody [NBP2-98647] - Immunochemical staining of human Nephronophthisis in human kidney with rabbit polyclonal antibody at 1:100 dilution, formalin-fixed paraffin embedded sections.
Immunoprecipitation: Nephronophthisis Antibody [NBP2-98647]

Immunoprecipitation: Nephronophthisis Antibody [NBP2-98647]

Immunoprecipitation: Nephronophthisis Antibody [NBP2-98647] - Nephronophthisis was immunoprecipitated using: Lane A: 0.5 mg Hela Whole Cell Lysate. 4 ul anti-Nephronophthisis rabbit polyclonal antibody and 60 ug of Immunomagnetic beads. Protein A/G. Primary antibody: Anti-Nephronophthisis rabbit polyclonal antibody, at 1:100 dilution. Secondary antibody: Goat Anti-Rabbit IgG (H+L)/HRP at 1/10000 dilution. Developed using the ECL technique. Performed under reducing conditions. Predicted band size: 80 kDa. Observed band size: 80 kDa

Applications for Nephronophthisis Antibody - BSA Free

Application
Recommended Usage

Immunohistochemistry-Paraffin

1:50-1:200

Immunoprecipitation

0.5-1uL/mg of lysate

Western Blot

1:500-1:2000

Formulation, Preparation, and Storage

Purification

Antigen and protein A Affinity-purified

Formulation

PBS

Format

BSA Free

Preservative

0.03% Proclin 300

Concentration

Please see the vial label for concentration. If unlisted please contact technical services.

Shipping

The product is shipped with polar packs. Upon receipt, store it immediately at the temperature recommended below.

Stability & Storage

Store at 4C short term. Aliquot and store at -20C long term. Avoid freeze-thaw cycles.

Background: Nephronophthisis

Nephronophthisis encodes a protein with src homology domain 3 (SH3) patterns. This protein interacts with Crk-associated substrate, and it appears to function in the control of cell division, as well as in cell-cell and cell-matrix adhesion signaling, likely as part of a multifunctional complex localized in actin- and microtubule-based structures. Mutations in this gene cause familial juvenile nephronophthisis type 1, a kidney disorder involving both tubules and glomeruli. Defects in this gene are also associated with Senior-Loken syndrome type 1, also referred to as juvenile nephronophthisis with Leber amaurosis, which is characterized by kidney and eye disease, and with Joubert syndrome type 4, which is characterized by cerebellar ataxia, oculomotor apraxia, psychomotor delay and neonatal breathing abnormalities, sometimes including retinal dystrophy and renal disease. Multiple transcript variants encoding different isoforms have been found for this gene. [provided by RefSeq]

Alternate Names

FLJ97602, JBTS4NPH1Juvenile nephronophthisis 1 protein, nephrocystin 1, nephrocystin-1, nephronophthisis 1 (juvenile), SLSN1

Gene Symbol

NPHP1

Additional Nephronophthisis Products

Product Documents for Nephronophthisis Antibody - BSA Free

Certificate of Analysis

To download a Certificate of Analysis, please enter a lot number in the search box below.

Product Specific Notices for Nephronophthisis Antibody - BSA Free

This product is for research use only and is not approved for use in humans or in clinical diagnosis. Primary Antibodies are guaranteed for 1 year from date of receipt.

Loading...
Loading...
Loading...
Loading...