Skip to main content

NEK9 Antibody - BSA Free

Novus Biologicals, part of Bio-Techne | Catalog # NBP3-35791

Novus Biologicals, part of Bio-Techne
Catalog #
Availability
Size / Price
Qty
Loading...
NBP3-35791-20ul
NBP3-35791-100ul

Key Product Details

Species Reactivity

Human, Mouse, Rat

Applications

Immunohistochemistry, Immunohistochemistry-Paraffin, Western Blot, ELISA

Label

Unconjugated

Antibody Source

Polyclonal Rabbit IgG

Format

BSA Free

Concentration

Please see the vial label for concentration. If unlisted please contact technical services.

Product Specifications

Immunogen

Recombinant fusion protein containing a sequence corresponding to amino acids 730-979 of human NEK9 (NP_149107.4).

Sequence:
SKTIRSNSSGLSIGTVFQSSSPGGGGGGGGGEEEDSQQESETPDPSGGFRGTMEADRGMEGLISPTEAMGNSNGASSSCPGWLRKELENAEFIPMPDSPSPLSAAFSESEKDTLPYEELQGLKVASEAPLEHKPQVEASSPRLNPAVTCAGKGTPLTPPACACSSLQVEVERLQGLVLKCLAEQQKLQQENLQIFTQLQKLNKKLEGGQQVGMHSKGTQTAKEEMEMDPKPDLDSDSWCLLGTDSCRPSL

Clonality

Polyclonal

Host

Rabbit

Isotype

IgG

Theoretical MW

107 kDa.
Disclaimer note: The observed molecular weight of the protein may vary from the listed predicted molecular weight due to post translational modifications, post translation cleavages, relative charges, and other experimental factors.

Description

Novus Biologicals Rabbit NEK9 Antibody - BSA Free (NBP3-35791) is a polyclonal antibody validated for use in IHC, WB and ELISA. All Novus Biologicals antibodies are covered by our 100% guarantee.

Scientific Data Images for NEK9 Antibody - BSA Free

NEK9 Antibody

Western Blot: NEK9 Antibody [NBP3-35791] -

Western Blot: NEK9 Antibody [NBP3-35791] - Western blot analysis of various lysates using NEK9 Rabbit pAb at 1:1000 dilution.
Secondary antibody: HRP-conjugated Goat anti-Rabbit IgG (H+L) at 1:10000 dilution.
Lysates/proteins: 25ug per lane.
Blocking buffer: 3% nonfat dry milk in TBST.
Detection: ECL Basic Kit.
Exposure time: 15s.
NEK9 Antibody

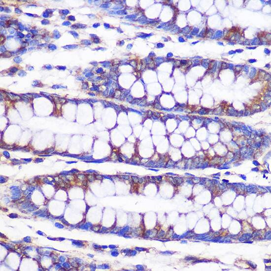
Immunohistochemistry: NEK9 Antibody [NBP3-35791] -

Immunohistochemistry: NEK9 Antibody [NBP3-35791] - Immunohistochemistry analysis of paraffin-embedded Human colon using NEK9 Rabbit pAb at dilution of 1:100 (40x lens). Microwave antigen retrieval performed with 0.01M PBS Buffer (pH 7.2) prior to IHC staining.
NEK9 Antibody

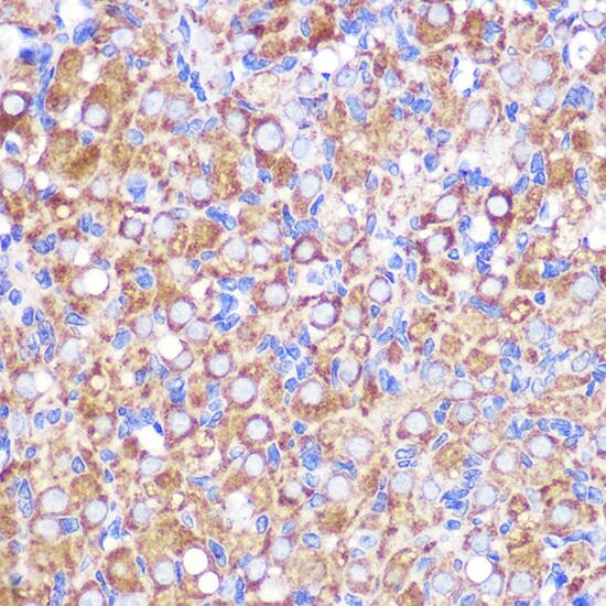
Immunohistochemistry: NEK9 Antibody [NBP3-35791] -

Immunohistochemistry: NEK9 Antibody [NBP3-35791] - Immunohistochemistry analysis of paraffin-embedded Rat ovary using NEK9 Rabbit pAb at dilution of 1:100 (40x lens). Microwave antigen retrieval performed with 0.01M PBS Buffer (pH 7.2) prior to IHC staining.

Applications for NEK9 Antibody - BSA Free

Application
Recommended Usage

Immunohistochemistry-Paraffin

1:50 - 1:200

Western Blot

1:500 - 1:2000

Formulation, Preparation, and Storage

Purification

Affinity purified

Formulation

PBS (pH 7.3), 50% glycerol

Format

BSA Free

Preservative

0.01% Thimerosal

Concentration

Please see the vial label for concentration. If unlisted please contact technical services.

Shipping

The product is shipped with polar packs. Upon receipt, store it immediately at the temperature recommended below.

Stability & Storage

Store at -20C. Avoid freeze-thaw cycles.

Background: NEK9

Pleiotropic regulator of mitotic progression, participating in the control of spindle dynamics and chromosomeseparation. Phosphorylates different histones, myelin basic protein, beta-casein, and BICD2. Phosphorylates histone H3on serine and threonine residues and beta-casein on serine residues. Important for G1/S transition and S phaseprogression

Long Name

Serine/threonine-protein kinase Nek9

Alternate Names

KIAA1995, Nek8, NERCC, Nercc1 kinase

Gene Symbol

NEK9

Additional NEK9 Products

Product Documents for NEK9 Antibody - BSA Free

Certificate of Analysis

To download a Certificate of Analysis, please enter a lot number in the search box below.

Product Specific Notices for NEK9 Antibody - BSA Free

This product is for research use only and is not approved for use in humans or in clinical diagnosis. Primary Antibodies are guaranteed for 1 year from date of receipt.

Loading...
Loading...
Loading...
Loading...