Skip to main content

NEK1 Antibody - BSA Free

Novus Biologicals, part of Bio-Techne | Catalog # NBP1-82884

Novus Biologicals, part of Bio-Techne
Catalog #
Availability
Size / Price
Qty
Loading...
NBP1-82884
NBP1-82884-25ul

Key Product Details

Validated by

Orthogonal Validation, Independent Antibodies

Species Reactivity

Human, Mouse

Applications

Immunohistochemistry, Immunohistochemistry-Paraffin

Label

Unconjugated

Antibody Source

Polyclonal Rabbit IgG

Format

BSA Free

Concentration

Concentrations vary lot to lot. See vial label for concentration. If unlisted please contact technical services.

Product Specifications

Immunogen

This antibody was developed against Recombinant Protein corresponding to amino acids: NLKAQEDEKGKQNLSDTFEINVHEDAKEHEKEKSVSSDRKKWEAGGQLVIPLDELTLDTSFSTTERHTVGEVIKLGPNGSPRRAWGKSPTDSVLKILGEAELQLQTELLENTTIRSEISPEGEKYKPLITGEKKVQCISHEINPSA

Reactivity Notes

Mouse reactivity reported from a verified customer review.

Clonality

Polyclonal

Host

Rabbit

Isotype

IgG

Scientific Data Images for NEK1 Antibody - BSA Free

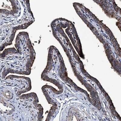
Immunohistochemistry-Paraffin: NEK1 Antibody [NBP1-82884]

Immunohistochemistry-Paraffin: NEK1 Antibody [NBP1-82884]

Immunohistochemistry-Paraffin: NEK1 Antibody [NBP1-82884] - Nek1 expression in luminal cells of 12 weeks TRAMP mice prostate tissue. IHC-P image submitted by a verified customer review.
Immunohistochemistry-Paraffin: NEK1 Antibody [NBP1-82884]

Immunohistochemistry-Paraffin: NEK1 Antibody [NBP1-82884]

Immunohistochemistry-Paraffin: NEK1 Antibody [NBP1-82884] - Analysis in human testis and skin tissues. Corresponding NEK1 RNA-seq data are presented for the same tissues.
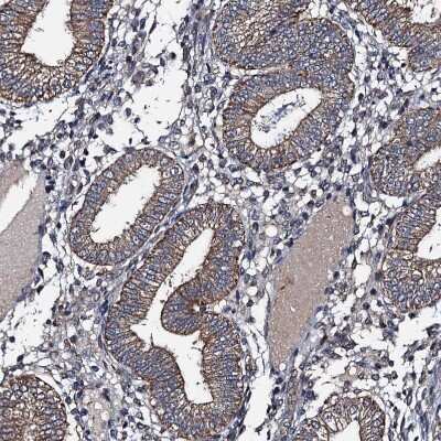
Immunohistochemistry-Paraffin: NEK1 Antibody [NBP1-82884]

Immunohistochemistry-Paraffin: NEK1 Antibody [NBP1-82884]

Immunohistochemistry-Paraffin: NEK1 Antibody [NBP1-82884] - Staining of human endometrium shows moderate membranous positivity in glandular cells.

Applications for NEK1 Antibody - BSA Free

Application
Recommended Usage

Immunohistochemistry

1:200 - 1:500

Immunohistochemistry-Paraffin

1:200 - 1:500
Application Notes
For IHC-Paraffin, HIER pH 6 retrieval is recommended.

Reviewed Applications

Read 1 review rated 4 using NBP1-82884 in the following applications:

Formulation, Preparation, and Storage

Purification

Affinity purified

Formulation

PBS (pH 7.2) and 40% Glycerol

Format

BSA Free

Preservative

0.02% Sodium Azide

Concentration

Concentrations vary lot to lot. See vial label for concentration. If unlisted please contact technical services.

Shipping

The product is shipped with polar packs. Upon receipt, store it immediately at the temperature recommended below.

Stability & Storage

Store at 4C short term. Aliquot and store at -20C long term. Avoid freeze-thaw cycles.

Background: NEK1

Belonging to the NEK Ser/Thr protein kinase family, NEK1 plays an important role in the cell by responding to DNA damage. Molecular functions for NEK1 include protein serine/threonine kinase activity, protein tyrosine kinase activity, protein binding and ATP binding. More specifically, NEK1 is involved in cell cycle regulation, and the protein encoded by this gene is a serine/threonine kinase which is found in a centrosomal complex with FEZ1. Additionally, NEK1 also appears to possess tyrosine kinase activity and is involved in the control of meiosis and cilium assembly. NEK1 is known to interact with FEZ1, FEZ2, KIF3A, TSC2 and MRE11A. Common diseases for NEK1 include adenocarcinoma, cancer, short rib-polydactyly syndrome II and epithelial neoplasia.

Alternate Names

DKFZp686D06121, DKFZp686K12169, EC 2.7.11, EC 2.7.11.1, KIAA1901MGC138800, Never in mitosis A-related kinase 1, NIMA (never in mitosis gene a)-related kinase 1, NimA-related protein kinase 1, NY-REN-55, protein-serine/threonine kinase, Renal carcinoma antigen NY-REN-55, serine/threonine-protein kinase Nek1, SRPS2

Gene Symbol

NEK1

Additional NEK1 Products

Product Documents for NEK1 Antibody - BSA Free

Certificate of Analysis

To download a Certificate of Analysis, please enter a lot number in the search box below.

Product Specific Notices for NEK1 Antibody - BSA Free

This product is for research use only and is not approved for use in humans or in clinical diagnosis. Primary Antibodies are guaranteed for 1 year from date of receipt.

Loading...
Loading...
Loading...
Loading...