Skip to main content

Nectin-2/CD112 Antibody - BSA Free

Novus Biologicals, part of Bio-Techne | Catalog # NBP2-19507

Novus Biologicals, part of Bio-Techne
Catalog #
Availability
Size / Price
Qty
Loading...
NBP2-19507

Key Product Details

Species Reactivity

Validated:

Human

Predicted:

Rhesus Macaque (94%). Backed by our 100% Guarantee.

Applications

Immunohistochemistry, Immunohistochemistry-Paraffin, Western Blot

Label

Unconjugated

Antibody Source

Polyclonal Rabbit IgG

Format

BSA Free

Concentration

Concentrations vary lot to lot. See vial label for concentration. If unlisted please contact technical services.

Product Specifications

Immunogen

Recombinant protein encompassing a sequence within the center region of human Nectin-2/CD112. The exact sequence is proprietary.

Localization

Cell membrane; Single-pass type I membrane protein

Clonality

Polyclonal

Host

Rabbit

Isotype

IgG

Theoretical MW

58 kDa.
Disclaimer note: The observed molecular weight of the protein may vary from the listed predicted molecular weight due to post translational modifications, post translation cleavages, relative charges, and other experimental factors.

Description

Novus Biologicals Rabbit Nectin-2/CD112 Antibody - BSA Free (NBP2-19507) is a polyclonal antibody validated for use in IHC and WB. All Novus Biologicals antibodies are covered by our 100% guarantee.

Scientific Data Images for Nectin-2/CD112 Antibody - BSA Free

Western Blot: Nectin-2/CD112 Antibody [NBP2-19507]

Western Blot: Nectin-2/CD112 Antibody [NBP2-19507]

Western Blot: Nectin-2/CD112 Antibody [NBP2-19507] - Sample (30 ug of whole cell lysate) A: MCF-7 10% SDS PAGE gel, diluted at 1:1000.
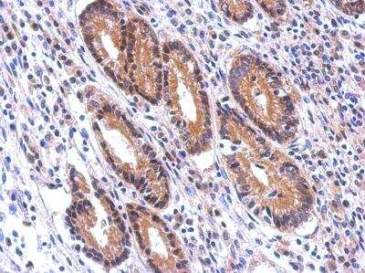
Immunohistochemistry-Paraffin: Nectin-2/CD112 Antibody [NBP2-19507]

Immunohistochemistry-Paraffin: Nectin-2/CD112 Antibody [NBP2-19507]

Immunohistochemistry-Paraffin: Nectin-2/CD112 Antibody [NBP2-19507] - Analysis of paraffin-embedded gastric ca, using antibody at 1:500 dilution.

Applications for Nectin-2/CD112 Antibody - BSA Free

Application
Recommended Usage

Immunohistochemistry

1:100-1:1000

Immunohistochemistry-Paraffin

1:100-1:1000

Western Blot

1:500-1:3000

Formulation, Preparation, and Storage

Purification

Antigen Affinity-purified

Formulation

0.1M Tris, 0.1M Glycine, 20% Glycerol

Format

BSA Free

Preservative

0.01% Thimerosal

Concentration

Concentrations vary lot to lot. See vial label for concentration. If unlisted please contact technical services.

Shipping

The product is shipped with polar packs. Upon receipt, store it immediately at the temperature recommended below.

Stability & Storage

Aliquot and store at -20C or -80C. Avoid freeze-thaw cycles.

Background: Nectin-2/CD112

This gene encodes a single-pass type I membrane glycoprotein with two Ig-like C2-type domains and an Ig-like V-type domain. This protein is one of the plasma membrane components of adherens junctions. It also serves as an entry for certain mutant strains of herpes simplex virus and pseudorabies virus, and it is involved in cell to cell spreading of these viruses. Variations in this gene have been associated with differences in the severity of multiple sclerosis. Alternate transcriptional splice variants, encoding different isoforms, have been characterized. [provided by RefSeq]

Long Name

Poliovirus Receptor Related 2

Alternate Names

CD112, HVEB, MPH, Nectin2, PRR2, PVRL2

Gene Symbol

NECTIN2

UniProt

Additional Nectin-2/CD112 Products

Product Documents for Nectin-2/CD112 Antibody - BSA Free

Certificate of Analysis

To download a Certificate of Analysis, please enter a lot number in the search box below.

Product Specific Notices for Nectin-2/CD112 Antibody - BSA Free

This product is for research use only and is not approved for use in humans or in clinical diagnosis. Primary Antibodies are guaranteed for 1 year from date of receipt.

Loading...
Loading...
Loading...
Loading...

⚠ WARNING: This product can expose you to chemicals including mercury, which is known to the State of California to cause reproductive toxicity with developmental effects.  For more information go to www.P65Warnings.ca.gov.