Skip to main content

NDUFV3 Antibody - BSA Free

Novus Biologicals, part of Bio-Techne | Catalog # NBP1-85622

Novus Biologicals, part of Bio-Techne
Catalog #
Availability
Size / Price
Qty
Loading...
NBP1-85622
NBP1-85622-25ul

Key Product Details

Validated by

Independent Antibodies

Species Reactivity

Human

Applications

Immunohistochemistry, Immunohistochemistry-Paraffin, Immunocytochemistry/ Immunofluorescence

Label

Unconjugated

Antibody Source

Polyclonal Rabbit IgG

Format

BSA Free

Concentration

Concentrations vary lot to lot. See vial label for concentration. If unlisted please contact technical services.

Product Specifications

Immunogen

This antibody was developed against Recombinant Protein corresponding to amino acids: RVVSKGRGGLRKPEASHSFENRAPRVTVSAKEKTLLQKPHVDITDPEKPHQPKKKGSPAKPSEGRENARPKTTMPRSQVDEEFLKQSLKEKQLQKTFRLNEIDKESQKPFEVKGPLPVHTKSGLSA

Clonality

Polyclonal

Host

Rabbit

Isotype

IgG

Description

Novus Biologicals Rabbit NDUFV3 Antibody - BSA Free (NBP1-85622) is a polyclonal antibody validated for use in IHC and ICC/IF. Anti-NDUFV3 Antibody: Cited in 1 publication. All Novus Biologicals antibodies are covered by our 100% guarantee.

Scientific Data Images for NDUFV3 Antibody - BSA Free

Immunocytochemistry/ Immunofluorescence: NDUFV3 Antibody [NBP1-85622]

Immunocytochemistry/ Immunofluorescence: NDUFV3 Antibody [NBP1-85622]

Immunocytochemistry/Immunofluorescence: NDUFV3 Antibody [NBP1-85622] - Immunofluorescent staining of human cell line U-2 OS shows localization to mitochondria.
Immunohistochemistry-Paraffin: NDUFV3 Antibody [NBP1-85622]

Immunohistochemistry-Paraffin: NDUFV3 Antibody [NBP1-85622]

Immunohistochemistry-Paraffin: NDUFV3 Antibody [NBP1-85622] - Staining of human cerebral cortex.
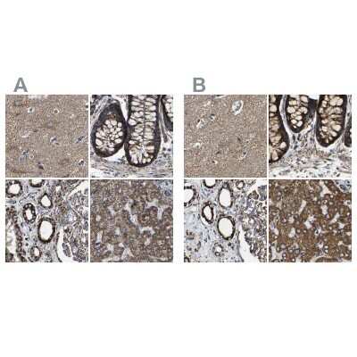
Immunohistochemistry-Paraffin: NDUFV3 Antibody [NBP1-85622]

Immunohistochemistry-Paraffin: NDUFV3 Antibody [NBP1-85622]

Immunohistochemistry-Paraffin: NDUFV3 Antibody [NBP1-85622] - Staining of human cerebral cortex, colon, kidney and liver using Anti-NDUFV3 antibody NBP1-85622 (A) shows similar protein distribution across tissues to independent antibody NBP1-85623 (B).

Applications for NDUFV3 Antibody - BSA Free

Application
Recommended Usage

Immunocytochemistry/ Immunofluorescence

0.25-2 ug/ml

Immunohistochemistry

1:200 - 1:500

Immunohistochemistry-Paraffin

1:200 - 1:500
Application Notes
For IHC-Paraffin, HIER pH 6 retrieval is recommended. Immunocytochemistry/Immunofluorescence Fixation Permeabilization: Use PFA/Triton X-100.

Formulation, Preparation, and Storage

Purification

Immunogen affinity purified

Formulation

PBS (pH 7.2) and 40% Glycerol

Format

BSA Free

Preservative

0.02% Sodium Azide

Concentration

Concentrations vary lot to lot. See vial label for concentration. If unlisted please contact technical services.

Shipping

The product is shipped with polar packs. Upon receipt, store it immediately at the temperature recommended below.

Stability & Storage

Store at 4C short term. Aliquot and store at -20C long term. Avoid freeze-thaw cycles.

Background: NDUFV3

NDUFV3 - NADH dehydrogenase (ubiquinone) flavoprotein 3, 10kDa

Alternate Names

CI-10k, CI-9KD, complex I 10kDa subunit, complex I, mitochondrial respiratory chain, 10-kD subunit, Complex I-9kD, mitochondrial NADH oxidoreductase-like protein, NADH dehydrogenase (ubiquinone) flavoprotein 3 (10kD), NADH dehydrogenase (ubiquinone) flavoprotein 3, 10kDa, NADH dehydrogenase [ubiquinone] flavoprotein 3, mitochondrial, NADH-ubiquinone oxidoreductase 9 kD subunit, NADH-ubiquinone oxidoreductase 9 kD subunit precursor, EC 1.6.5.310CI-9kD, NADH-ubiquinone oxidoreductase 9 kDa subunit, NADH-ubiquinone oxidoreductase flavoprotein 3, 10kD, Renal carcinoma antigen NY-REN-4

Gene Symbol

NDUFV3

Additional NDUFV3 Products

Product Documents for NDUFV3 Antibody - BSA Free

Certificate of Analysis

To download a Certificate of Analysis, please enter a lot number in the search box below.

Product Specific Notices for NDUFV3 Antibody - BSA Free

This product is for research use only and is not approved for use in humans or in clinical diagnosis. Primary Antibodies are guaranteed for 1 year from date of receipt.

Loading...
Loading...
Loading...
Loading...