Skip to main content

NDUFS7 Antibody - BSA Free

Novus Biologicals, part of Bio-Techne | Catalog # NBP3-47364

Novus Biologicals, part of Bio-Techne
Catalog #
Availability
Size / Price
Qty
Loading...
NBP3-47364

Key Product Details

Species Reactivity

Human, Mouse, Rat

Applications

Immunohistochemistry, Western Blot, ELISA, Immunocytochemistry/ Immunofluorescence

Label

Unconjugated

Antibody Source

Polyclonal Rabbit IgG

Format

BSA Free

Concentration

Please see the vial label for concentration. If unlisted please contact technical services.

Product Specifications

Immunogen

NADH dehydrogenase (ubiquinone) Fe-S protein 7, 20kDa (NADH-coenzyme Q reductase). (Uniprot# O75251)

Clonality

Polyclonal

Host

Rabbit

Isotype

IgG

Theoretical MW

24 kDa.
Disclaimer note: The observed molecular weight of the protein may vary from the listed predicted molecular weight due to post translational modifications, post translation cleavages, relative charges, and other experimental factors.

Description

Novus Biologicals Rabbit NDUFS7 Antibody - BSA Free (NBP3-47364) is a polyclonal antibody validated for use in IHC, WB, ELISA and ICC/IF. All Novus Biologicals antibodies are covered by our 100% guarantee.

Scientific Data Images for NDUFS7 Antibody - BSA Free

NDUFS7 Antibody - BSA Free

Western Blot: NDUFS7 Antibody - BSA Free [NBP3-47364] -

Western Blot: NDUFS7 Antibody - BSA Free [NBP3-47364] - Human brain tissue were subjected to SDS PAGE followed by western blot with (NDUFS7 antibody) at dilution of 1:1000
NDUFS7 Antibody - BSA Free

Immunocytochemistry/ Immunofluorescence: NDUFS7 Antibody - BSA Free [NBP3-47364] -

Immunocytochemistry/ Immunofluorescence: NDUFS7 Antibody - BSA Free [NBP3-47364] - Immunofluorescent analysis of Hela cells, using (NDUFS7 antibody) at 1:25 dilution and Rhodamine-labeled goat anti-rabbit IgG (red).
NDUFS7 Antibody - BSA Free

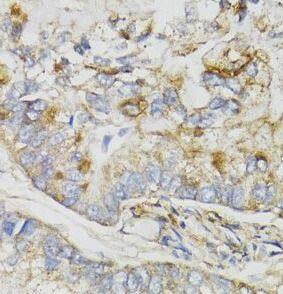
Immunohistochemistry: NDUFS7 Antibody - BSA Free [NBP3-47364] -

Immunohistochemistry: NDUFS7 Antibody - BSA Free [NBP3-47364] - Immunohistochemistry of paraffin-embedded human gastric cancer using (NDUFS7 antibody) at dilution of 1:100

Applications for NDUFS7 Antibody - BSA Free

Application
Recommended Usage

Immunocytochemistry/ Immunofluorescence

1:50 - 1:100

Immunohistochemistry

1:50 - 1:100

Western Blot

1:500 - 1:2000

Formulation, Preparation, and Storage

Purification

Immunogen affinity purified

Formulation

PBS, 50% Glycerol, pH (7.3)

Format

BSA Free

Preservative

0.02% Sodium Azide

Concentration

Please see the vial label for concentration. If unlisted please contact technical services.

Shipping

The product is shipped with polar packs. Upon receipt, store it immediately at the temperature recommended below.

Stability & Storage

Store at -20C. Avoid freeze-thaw cycles.

Background: NDUFS7

NADH Dehydrogenase (Ubiquinone) Fe-S Protein 7, 20kDa (NADH-Coenzyme Q Reductase), also known as NDUFS7 and NADH-Ubiquinone Oxidoreductase 20 KDa Subunit, is a core subunit of the mitochondrial membrane respiratory chain NADH dehydrogenase (complex 1). Complex 1 functions in the transfer of electrons from NADH to the respiratory chain. NDUFS7 is one of 40 subunits found in this complex. Mutations in the NDUFS7 gene cause Leigh syndrome due to mitochondrial complex I deficiency.

Alternate Names

CI-20, CI-20KD, complex I, mitochondrial respiratory chain, 20-KD subunit, Complex I-20kD, EC 1.6.5.3, EC 1.6.99.3, EC 1.6.99.5, FLJ45860, FLJ46880, MGC120002, MY017, NADH dehydrogenase (ubiquinone) Fe-S protein 7 (20kD) (NADH-coenzyme Qreductase), NADH dehydrogenase (ubiquinone) Fe-S protein 7, 20kDa (NADH-coenzyme Qreductase), NADH dehydrogenase [ubiquinone] iron-sulfur protein 7, mitochondrial, NADH:ubiquinone oxidoreductase PSST subunit, NADH-coenzyme Q reductase, NADH-ubiquinone oxidoreductase 20 kDa subunit, PSST subunit, PSSTcomplex I 20kDa subunit

Gene Symbol

NDUFS7

Additional NDUFS7 Products

Product Documents for NDUFS7 Antibody - BSA Free

Certificate of Analysis

To download a Certificate of Analysis, please enter a lot number in the search box below.

Product Specific Notices for NDUFS7 Antibody - BSA Free

This product is for research use only and is not approved for use in humans or in clinical diagnosis. Primary Antibodies are guaranteed for 1 year from date of receipt.

Loading...
Loading...
Loading...
Loading...