Skip to main content

NDUFS7 Antibody

Novus Biologicals, part of Bio-Techne | Catalog # NBP1-49846

Novus Biologicals, part of Bio-Techne
Catalog #
Availability
Size / Price
Qty
Loading...
NBP1-49846

Key Product Details

Species Reactivity

Validated:

Human

Predicted:

Bovine (100%), Canine (100%), Mouse (100%), Rat (100%). Backed by our 100% Guarantee.

Applications

Immunohistochemistry, Immunohistochemistry-Paraffin, Western Blot, Peptide ELISA

Label

Unconjugated

Antibody Source

Polyclonal Goat IgG

Concentration

0.5 mg/ml

Product Specifications

Immunogen

Peptide with sequence C-SRGEYVVAKLD corresponding to internal region according to NP_077718.3.

Epitope

SRGEYVVAKLD - internal region

Clonality

Polyclonal

Host

Goat

Isotype

IgG

Scientific Data Images for NDUFS7 Antibody

Western Blot: NDUFS7 Antibody [NBP1-49846]

Western Blot: NDUFS7 Antibody [NBP1-49846]

Western Blot: NDUFS7 Antibody [NBP1-49846] - (35ug protein in RIPA buffer). Primary incubation was 1 hour. Detected by chemiluminescence.
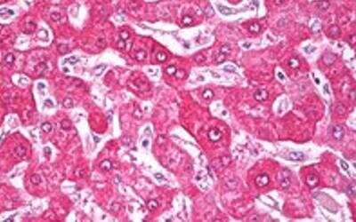
Immunohistochemistry-Paraffin: NDUFS7 Antibody [NBP1-49846]

Immunohistochemistry-Paraffin: NDUFS7 Antibody [NBP1-49846]

Immunohistochemistry-Paraffin: NDUFS7 Antibody [NBP1-49846] - Staining of paraffin embedded Human Liver at dilution of 5ug/ml. Steamed antigen retrieval with citrate buffer pH 6, AP-staining.
Immunohistochemistry-Paraffin: NDUFS7 Antibody [NBP1-49846]

Immunohistochemistry-Paraffin: NDUFS7 Antibody [NBP1-49846]

Immunohistochemistry-Paraffin: NDUFS7 Antibody [NBP1-49846] - Staining of paraffin embedded Human Cortex at dilution of 5ug/ml. Steamed antigen retrieval with citrate buffer pH 6, AP-staining.

Applications for NDUFS7 Antibody

Application
Recommended Usage

Immunohistochemistry

5 ug/ml

Immunohistochemistry-Paraffin

5 ug/ml

Peptide ELISA

Detection limit 1:16000

Western Blot

1 - 3 ug/ml
Application Notes
WB: Approx. 20 kDa band observed in human heart and human skeletal muscle lysates (calculated MW of 23.6 kDa band according to NP_077718.3).

Formulation, Preparation, and Storage

Purification

Immunogen affinity purified

Formulation

Tris saline (20 mM Tris pH 7.3, 150 mM NaCl), 0.5% BSA

Preservative

0.02% Sodium Azide

Concentration

0.5 mg/ml

Shipping

The product is shipped with polar packs. Upon receipt, store it immediately at the temperature recommended below.

Stability & Storage

Store at -20C. Avoid freeze-thaw cycles.

Background: NDUFS7

This gene encodes a protein that is a subunit of one of the complexes that forms the mitochondrial respiratory chain. This protein is one of over 40 subunits found in complex I, the nicotinamide adenine dinucleotide (NADH):ubiquinone oxidoreductase. This complex functions in the transfer of electrons from NADH to the respiratory chain, and ubiquinone is believed to be the immediate electron acceptor for the enzyme. Mutations in this gene cause Leigh syndrome due to mitochondrial complex I deficiency, a severe neurological disorder that results in bilaterally symmetrical necrotic lesions in subcortical brain regions. [provided by RefSeq]

Alternate Names

CI-20, CI-20KD, complex I, mitochondrial respiratory chain, 20-KD subunit, Complex I-20kD, EC 1.6.5.3, EC 1.6.99.3, EC 1.6.99.5, FLJ45860, FLJ46880, MGC120002, MY017, NADH dehydrogenase (ubiquinone) Fe-S protein 7 (20kD) (NADH-coenzyme Qreductase), NADH dehydrogenase (ubiquinone) Fe-S protein 7, 20kDa (NADH-coenzyme Qreductase), NADH dehydrogenase [ubiquinone] iron-sulfur protein 7, mitochondrial, NADH:ubiquinone oxidoreductase PSST subunit, NADH-coenzyme Q reductase, NADH-ubiquinone oxidoreductase 20 kDa subunit, PSST subunit, PSSTcomplex I 20kDa subunit

Entrez Gene IDs

374291 (Human); 75406 (Mouse); 362837 (Rat)

Gene Symbol

NDUFS7

Additional NDUFS7 Products

Product Documents for NDUFS7 Antibody

Certificate of Analysis

To download a Certificate of Analysis, please enter a lot number in the search box below.

Product Specific Notices for NDUFS7 Antibody

This product is for research use only and is not approved for use in humans or in clinical diagnosis. Primary Antibodies are guaranteed for 1 year from date of receipt.

Loading...
Loading...
Loading...
Loading...