Skip to main content

Ndufs4 Antibody - BSA Free

Novus Biologicals, part of Bio-Techne | Catalog # NBP1-89026

Novus Biologicals, part of Bio-Techne
Catalog #
Availability
Size / Price
Qty
Loading...
NBP1-89026
NBP1-89026-25ul

Key Product Details

Species Reactivity

Validated:

Human

Predicted:

Mouse (92%), Rat (91%). Backed by our 100% Guarantee.

Applications

Immunohistochemistry, Immunohistochemistry-Paraffin

Label

Unconjugated

Antibody Source

Polyclonal Rabbit IgG

Format

BSA Free

Concentration

Concentrations vary lot to lot. See vial label for concentration. If unlisted please contact technical services.

Product Specifications

Immunogen

This antibody was developed against Recombinant Protein corresponding to amino acids: RSLRTSTWRLAQDQTQDTQLITVDEKLDITTLTGVPEEHIKTRKVRIFVPARNNMQSGVNNTKKWKMEFDTRERWENPLMGWASTADPLSNMVLTFSTKEDAVSFAEKNGWSYDIEERKVPKPKSKSYGANFSWNKRTRVS

Clonality

Polyclonal

Host

Rabbit

Isotype

IgG

Scientific Data Images for Ndufs4 Antibody - BSA Free

Immunohistochemistry-Paraffin: Ndufs4 Antibody [NBP1-89026]

Immunohistochemistry-Paraffin: Ndufs4 Antibody [NBP1-89026]

Immunohistochemistry-Paraffin: Ndufs4 Antibody [NBP1-89026] - Staining of human rectum shows strong cytoplasmic positivity in glandular cells.
Immunohistochemistry-Paraffin: Ndufs4 Antibody [NBP1-89026]

Immunohistochemistry-Paraffin: Ndufs4 Antibody [NBP1-89026]

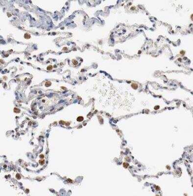
Immunohistochemistry-Paraffin: Ndufs4 Antibody [NBP1-89026] - Staining of human lung shows moderate cytoplasmic positivity in macrophages.

Applications for Ndufs4 Antibody - BSA Free

Application
Recommended Usage

Immunohistochemistry

1:200 - 1:500

Immunohistochemistry-Paraffin

1:200 - 1:500
Application Notes
For IHC-Paraffin, HIER pH 6 retrieval is recommended.

Formulation, Preparation, and Storage

Purification

Affinity purified

Formulation

PBS (pH 7.2) and 40% Glycerol

Format

BSA Free

Preservative

0.02% Sodium Azide

Concentration

Concentrations vary lot to lot. See vial label for concentration. If unlisted please contact technical services.

Shipping

The product is shipped with polar packs. Upon receipt, store it immediately at the temperature recommended below.

Stability & Storage

Store at 4C short term. Aliquot and store at -20C long term. Avoid freeze-thaw cycles.

Background: Ndufs4

Ndufs4 encodes an accessory subunit of the mitochondrial membrane respiratory chain NADH dehydrogenase (Complex I), or NADH:ubiquinone oxidoreductase, the first multi-subunit enzyme complex of the mitochondrial respiratory chain. Complex I plays a vital role in cellular ATP production, the primary source of energy for many crucial processes in living cells. It removes electrons from NADH and passes them by a series of different protein-coupled redox centers to the electron acceptor ubiquinone. In well-coupled mitochondria, the electron flux leads to ATP generation via the building of a proton gradient across the inner membrane. Complex I is composed of at least 41 subunits, of which 7 are encoded by the mitochondrial genome and the remainder by nuclear genes.

Alternate Names

AQDQ, AQDQmitochondrial, CI-18 kDa, NADH dehydrogenase (ubiquinone) Fe-S protein 4 (18kD) (NADH-coenzyme Qreductase), NADH dehydrogenase (ubiquinone) Fe-S protein 4, 18kDa (NADH-coenzyme Qreductase), NADH-coenzyme Q reductase, 18-KD, NADH-ubiquinone oxidoreductase 18 kDa subunit

Gene Symbol

NDUFS4

Additional Ndufs4 Products

Product Documents for Ndufs4 Antibody - BSA Free

Certificate of Analysis

To download a Certificate of Analysis, please enter a lot number in the search box below.

Product Specific Notices for Ndufs4 Antibody - BSA Free

This product is for research use only and is not approved for use in humans or in clinical diagnosis. Primary Antibodies are guaranteed for 1 year from date of receipt.

Loading...
Loading...
Loading...
Loading...