Skip to main content

Ndufs4 Antibody - BSA Free

Novus Biologicals, part of Bio-Techne | Catalog # NBP1-31465

Novus Biologicals, part of Bio-Techne
Catalog #
Availability
Size / Price
Qty
Loading...
NBP1-31465

Key Product Details

Species Reactivity

Validated:

Human, Mouse, Rat

Cited:

Human, Mouse

Predicted:

Chimpanzee (99%). Backed by our 100% Guarantee.

Applications

Validated:

Immunohistochemistry, Immunohistochemistry-Paraffin, Western Blot, Immunocytochemistry/ Immunofluorescence

Cited:

Knockout Validated, Immunohistochemistry-Paraffin, Western Blot

Label

Unconjugated

Antibody Source

Polyclonal Rabbit IgG

Format

BSA Free

Concentration

Concentrations vary lot to lot. See vial label for concentration. If unlisted please contact technical services.

Product Specifications

Immunogen

Recombinant protein encompassing a sequence within the center region of human Ndufs4. The exact sequence is proprietary.

Reactivity Notes

Immunogen displays the following percentage of sequence identity for non-tested species: Zebrafish (80%), Bovine (89%).

Localization

Mitochondrion inner membrane, Peripheral membrane protein, Matrix side

Clonality

Polyclonal

Host

Rabbit

Isotype

IgG

Theoretical MW

20 kDa.
Disclaimer note: The observed molecular weight of the protein may vary from the listed predicted molecular weight due to post translational modifications, post translation cleavages, relative charges, and other experimental factors.

Scientific Data Images for Ndufs4 Antibody - BSA Free

Western Blot: Ndufs4 Antibody [NBP1-31465]

Western Blot: Ndufs4 Antibody [NBP1-31465]

Western Blot: Ndufs4 Antibody [NBP1-31465] - Sample(30ug whole cell lysate) A: 293T 12% SDS PAGE, antibody diluted at 1:1000.
Immunocytochemistry/ Immunofluorescence: Ndufs4 Antibody [NBP1-31465]

Immunocytochemistry/ Immunofluorescence: Ndufs4 Antibody [NBP1-31465]

Immunocytochemistry/Immunofluorescence: Ndufs4 Antibody [NBP1-31465] - Analysis of methanol-fixed HeLa, using antibody at 1:100 dilution.
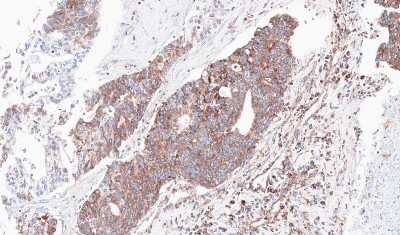
Immunohistochemistry-Paraffin: Ndufs4 Antibody [NBP1-31465]

Immunohistochemistry-Paraffin: Ndufs4 Antibody [NBP1-31465]

Immunohistochemistry-Paraffin: Ndufs4 Antibody [NBP1-31465] - Human ovarian cancer, using NDUFS4 antibody at 1:100 dilution. Antigen Retrieval: Trilogy™ (EDTA based, pH 8.0) buffer, 15min.

Applications for Ndufs4 Antibody - BSA Free

Application
Recommended Usage

Immunocytochemistry/ Immunofluorescence

1:100-1:1000

Immunohistochemistry

1:100-1:1000

Immunohistochemistry-Paraffin

1:100-1:1000

Western Blot

1:500-1:3000

Formulation, Preparation, and Storage

Purification

Antigen Affinity-purified

Formulation

0.1M Tris, 0.1M Glycine, 10% Glycerol

Format

BSA Free

Preservative

0.01% Thimerosal

Concentration

Concentrations vary lot to lot. See vial label for concentration. If unlisted please contact technical services.

Shipping

The product is shipped with polar packs. Upon receipt, store it immediately at the temperature recommended below.

Stability & Storage

Aliquot and store at -20C or -80C. Avoid freeze-thaw cycles.

Background: Ndufs4

This gene encodes an accessory subunit of the mitochondrial membrane respiratory chain NADH dehydrogenase (Complex I), or NADH:ubiquinone oxidoreductase, the first multi-subunit enzyme complex of the mitochondrial respiratory chain. Complex I plays a vital role in cellular ATP production, the primary source of energy for many crucial processes in living cells. It removes electrons from NADH and passes them by a series of different protein-coupled redox centers to the electron acceptor ubiquinone. In well-coupled mitochondria, the electron flux leads to ATP generation via the building of a proton gradient across the inner membrane. Complex I is composed of at least 41 subunits, of which 7 are encoded by the mitochondrial genome and the remainder by nuclear genes.

Alternate Names

AQDQ, AQDQmitochondrial, CI-18 kDa, NADH dehydrogenase (ubiquinone) Fe-S protein 4 (18kD) (NADH-coenzyme Qreductase), NADH dehydrogenase (ubiquinone) Fe-S protein 4, 18kDa (NADH-coenzyme Qreductase), NADH-coenzyme Q reductase, 18-KD, NADH-ubiquinone oxidoreductase 18 kDa subunit

Gene Symbol

NDUFS4

Additional Ndufs4 Products

Product Documents for Ndufs4 Antibody - BSA Free

Certificate of Analysis

To download a Certificate of Analysis, please enter a lot number in the search box below.

Product Specific Notices for Ndufs4 Antibody - BSA Free

This product is for research use only and is not approved for use in humans or in clinical diagnosis. Primary Antibodies are guaranteed for 1 year from date of receipt.

Loading...
Loading...
Loading...
Loading...

⚠ WARNING: This product can expose you to chemicals including mercury, which is known to the State of California to cause reproductive toxicity with developmental effects.  For more information go to www.P65Warnings.ca.gov.