Skip to main content

Ndufs1 Antibody (S02-3I2)

Novus Biologicals, part of Bio-Techne | Catalog # NBP3-19894

Recombinant Monoclonal Antibody
Novus Biologicals, part of Bio-Techne
Catalog #
Availability
Size / Price
Qty
Loading...
NBP3-19894-100ul
NBP3-19894-50ul

Key Product Details

Species Reactivity

Human, Mouse, Rat

Applications

Immunohistochemistry, Immunohistochemistry-Paraffin, Western Blot

Label

Unconjugated

Antibody Source

Recombinant Monoclonal Rabbit IgG Clone # S02-3I2 expressed in HEK293

Concentration

0.3 mg/ml

Product Specifications

Immunogen

A synthetic peptide of human Ndufs1 (Uniprot # P28331)

Clonality

Monoclonal

Host

Rabbit

Isotype

IgG

Theoretical MW

77 kDa.
Disclaimer note: The observed molecular weight of the protein may vary from the listed predicted molecular weight due to post translational modifications, post translation cleavages, relative charges, and other experimental factors.

Description

Novus Biologicals Rabbit Ndufs1 Antibody (S02-3I2) (NBP3-19894) is a recombinant monoclonal antibody validated for use in IHC and WB. All Novus Biologicals antibodies are covered by our 100% guarantee.

Scientific Data Images for Ndufs1 Antibody (S02-3I2)

Western Blot: Ndufs1 Antibody (S02-3I2) [NBP3-19894]

Western Blot: Ndufs1 Antibody (S02-3I2) [NBP3-19894]

Western Blot: Ndufs1 Antibody (S02-3I2) [NBP3-19894] - Western blot detection of Ndufs1 in Hela, A549, HL-60 using NBP3-19894 (1:1000 diluted)
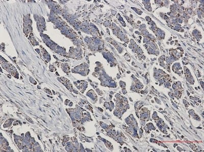
Immunohistochemistry-Paraffin: Ndufs1 Antibody (S02-3I2) [NBP3-19894]

Immunohistochemistry-Paraffin: Ndufs1 Antibody (S02-3I2) [NBP3-19894]

Immunohistochemistry-Paraffin: Ndufs1 Antibody (S02-3I2) [NBP3-19894] - Immunohistochemistry of Ndufs1 in paraffin-embedded Human Cholangiocarcinoma using NBP3-19894 at dilution 1/50

Applications for Ndufs1 Antibody (S02-3I2)

Application
Recommended Usage

Immunohistochemistry

1/20

Western Blot

1/2000-1/10000

Formulation, Preparation, and Storage

Purification

Affinity purified

Formulation

50mM Tris-Glycine(pH 7.4), 0.15M NaCl, 40% Glycerol, 0.05% BSA

Preservative

0.01% Sodium Azide

Concentration

0.3 mg/ml

Shipping

The product is shipped with polar packs. Upon receipt, store it immediately at the temperature recommended below.

Stability & Storage

Store at 4C short term. Aliquot and store at -20C long term. Avoid freeze-thaw cycles.

Background: Ndufs1

Ndufs1 is encoded by this gene belongs to the complex I 75 kDa subunit family. Mammalian complex I is composed of 45 different subunits. It locates at the mitochondrial inner membrane. This protein has NADH dehydrogenase activity and oxidoreductase activity. It transfers electrons from NADH to the respiratory chain. The immediate electron acceptor for the enzyme is believed to be ubiquinone. This protein is the largest subunit of complex I and it is a component of the iron-sulfur (IP) fragment of the enzyme. It may form part of the active site crevice where NADH is oxidized. Mutations in this gene are associated with complex I deficiency. [provided by RefSeq]

Long Name

NADH-ubiquinone oxidoreductase 75 kDa subunit, mitochondrial

Alternate Names

CI-75kD, Complex I-75kD, EC 7.1.1.2

Gene Symbol

NDUFS1

Additional Ndufs1 Products

Product Documents for Ndufs1 Antibody (S02-3I2)

Certificate of Analysis

To download a Certificate of Analysis, please enter a lot number in the search box below.

Product Specific Notices for Ndufs1 Antibody (S02-3I2)

This product is for research use only and is not approved for use in humans or in clinical diagnosis. Primary Antibodies are guaranteed for 1 year from date of receipt.

Loading...
Loading...
Loading...
Loading...