Skip to main content

NDUFB9 Antibody - Azide and BSA Free

Novus Biologicals, part of Bio-Techne | Catalog # NBP2-93573

Novus Biologicals, part of Bio-Techne
Catalog #
Availability
Size / Price
Qty
Loading...
NBP2-93573-0.02ml
NBP2-93573-0.1ml

Key Product Details

Species Reactivity

Human, Mouse, Rat

Applications

Immunohistochemistry, Immunohistochemistry-Paraffin, Western Blot

Label

Unconjugated

Antibody Source

Polyclonal Rabbit IgG

Format

Azide and BSA Free

Concentration

Please see the vial label for concentration. If unlisted please contact technical services.

Product Specifications

Immunogen

Recombinant fusion protein containing a sequence corresponding to amino acids 80-170 of human NDUFB9 (NP_004996.1). YIFPDSPGGTSYERYDCYKVPEWCLDDWHPSEKAMYPDYFAKREQWKKLRRESWEREVKQLQEETPPGGPLTEALPPARKEGDLPPLWWYI

Clonality

Polyclonal

Host

Rabbit

Isotype

IgG

Theoretical MW

21 kDa.
Disclaimer note: The observed molecular weight of the protein may vary from the listed predicted molecular weight due to post translational modifications, post translation cleavages, relative charges, and other experimental factors.

Description

Novus Biologicals Rabbit NDUFB9 Antibody - Azide and BSA Free (NBP2-93573) is a polyclonal antibody validated for use in IHC and WB. All Novus Biologicals antibodies are covered by our 100% guarantee.

Scientific Data Images for NDUFB9 Antibody - Azide and BSA Free

Western Blot: NDUFB9 AntibodyAzide and BSA Free [NBP2-93573]

Western Blot: NDUFB9 AntibodyAzide and BSA Free [NBP2-93573]

Western Blot: NDUFB9 Antibody [NBP2-93573] - Western blot analysis of extracts of various cell lines, using NDUFB9 Rabbit pAb (NBP2-93573) at 1:1000 dilution. Secondary antibody: HRP Goat Anti-Rabbit IgG (H+L) at 1:10000 dilution. Lysates/proteins: 25ug per lane. Blocking buffer: 3% nonfat dry milk in TBST. Detection: ECL Basic Kit. Exposure time: 1s.
Immunohistochemistry-Paraffin: NDUFB9 Antibody - Azide and BSA Free [NBP2-93573]

Immunohistochemistry-Paraffin: NDUFB9 Antibody - Azide and BSA Free [NBP2-93573]

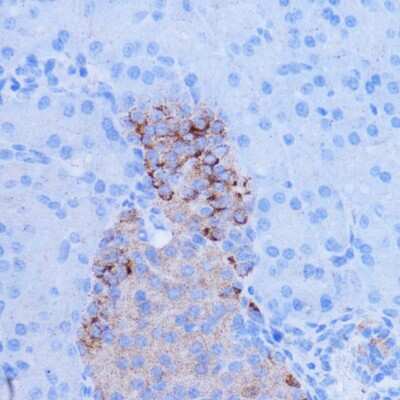
Immunohistochemistry-Paraffin: NDUFB9 Antibody [NBP2-93573] - Paraffin-embedded mouse pancreas using NDUFB9 .
Immunohistochemistry-Paraffin: NDUFB9 Antibody - Azide and BSA Free [NBP2-93573]

Immunohistochemistry-Paraffin: NDUFB9 Antibody - Azide and BSA Free [NBP2-93573]

Immunohistochemistry-Paraffin: NDUFB9 Antibody [NBP2-93573] - Paraffin-embedded human colon using NDUFB9 .

Applications for NDUFB9 Antibody - Azide and BSA Free

Application
Recommended Usage

Immunohistochemistry

1:50-1:200

Western Blot

1:500 - 1:1000

Formulation, Preparation, and Storage

Purification

Affinity purified

Formulation

PBS (pH 7.3), 50% glycerol

Format

Azide and BSA Free

Preservative

0.01% Thimerosal

Concentration

Please see the vial label for concentration. If unlisted please contact technical services.

Shipping

The product is shipped with polar packs. Upon receipt, store it immediately at the temperature recommended below.

Stability & Storage

Store at -20C. Avoid freeze-thaw cycles.

Background: NDUFB9

Accessory subunit of the mitochondrial membrane respiratory chain NADH dehydrogenase (Complex I), that is believed to be not involved in catalysis. Complex I functions in the transfer of electrons from NADH to the respiratory chain. The immediate electron acceptor for the enzyme is believed to be ubiquinone

Alternate Names

B22, CI-B22, complex I B22 subunit, Complex I-B22, FLJ22885, LYR motif-containing protein 3, LYRM3DKFZp566O173, NADH dehydrogenase (ubiquinone) 1 beta subcomplex, 9, 22kDa, NADH dehydrogenase [ubiquinone] 1 beta subcomplex subunit 9, NADH-ubiquinone oxidoreductase B22 subunit, UQOR22NADH dehydrogenase (ubiquinone) 1 beta subcomplex, 9 (22kD, B22)

Gene Symbol

NDUFB9

Additional NDUFB9 Products

Product Documents for NDUFB9 Antibody - Azide and BSA Free

Certificate of Analysis

To download a Certificate of Analysis, please enter a lot number in the search box below.

Product Specific Notices for NDUFB9 Antibody - Azide and BSA Free

This product is for research use only and is not approved for use in humans or in clinical diagnosis. Primary Antibodies are guaranteed for 1 year from date of receipt.

Loading...
Loading...
Loading...
Loading...

⚠ WARNING: This product can expose you to chemicals including Methotrexate, which is known to the State of California to cause reproductive toxicity with developmental effects. For more information, go to www.P65Warnings.ca.gov