Skip to main content

NDUFB7 Antibody - Azide and BSA Free

Novus Biologicals, part of Bio-Techne | Catalog # NBP2-94617

Novus Biologicals, part of Bio-Techne
Catalog #
Availability
Size / Price
Qty
Loading...
NBP2-94617-0.02ml
NBP2-94617-0.1ml

Key Product Details

Species Reactivity

Human, Mouse, Rat

Applications

ELISA, Immunocytochemistry/ Immunofluorescence, Immunohistochemistry, Immunohistochemistry-Paraffin, Western Blot

Label

Unconjugated

Antibody Source

Polyclonal Rabbit IgG

Format

Azide and BSA Free

Concentration

Please see the vial label for concentration. If unlisted please contact technical services.

Product Specifications

Immunogen

Recombinant fusion protein containing a sequence corresponding to amino acids 1-137 of human NDUFB7 (NP_004137.2). MGAHLVRRYLGDASVEPDPLQMPTFPPDYGFPERKEREMVATQQEMMDAQLRLQLRDYCAHHLIRLLKCKRDSFPNFLACKQERHDWDYCEHRDYVMRMKEFERERRLLQRKKRREKKAAELAKGQGPGEVDPKVAL

Clonality

Polyclonal

Host

Rabbit

Isotype

IgG

Theoretical MW

16 kDa.
Disclaimer note: The observed molecular weight of the protein may vary from the listed predicted molecular weight due to post translational modifications, post translation cleavages, relative charges, and other experimental factors.

Description

Novus Biologicals Rabbit NDUFB7 Antibody - Azide and BSA Free (NBP2-94617) is a polyclonal antibody validated for use in IHC, WB, ELISA and ICC/IF. All Novus Biologicals antibodies are covered by our 100% guarantee.

Scientific Data Images for NDUFB7 Antibody - Azide and BSA Free

Western Blot: NDUFB7 AntibodyAzide and BSA Free [NBP2-94617]

Western Blot: NDUFB7 AntibodyAzide and BSA Free [NBP2-94617]

Western Blot: NDUFB7 Antibody [NBP2-94617] - Analysis of extracts of various cell lines, using NDUFB7 at 1:3000 dilution.Secondary antibody: HRP Goat Anti-Rabbit IgG (H+L) at 1:10000 dilution.Lysates/proteins: 25ug per lane.Blocking buffer: 3% nonfat dry milk in TBST.Detection: ECL Basic Kit .Exposure time: 90s.
Immunocytochemistry/ Immunofluorescence: NDUFB7 Antibody - Azide and BSA Free [NBP2-94617]

Immunocytochemistry/ Immunofluorescence: NDUFB7 Antibody - Azide and BSA Free [NBP2-94617]

Immunocytochemistry/Immunofluorescence: NDUFB7 Antibody [NBP2-94617] - Analysis of L929 cells using NDUFB7 . Blue: DAPI for nuclear staining.
NDUFB7 Antibody - Azide and BSA Free

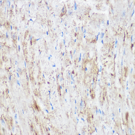
Immunohistochemistry: NDUFB7 Antibody - Azide and BSA Free [NDUFB7] -

Immunohistochemistry: NDUFB7 Antibody - Azide and BSA Free [NDUFB7] - Immunohistochemistry analysis of paraffin-embedded rat heart using NDUFB7 Rabbit pAb at dilution of 1:200 (40x lens).Perform high pressure antigen retrieval with 10 mM citrate buffer pH 6.0 before commencing with IHC staining protocol.

Applications for NDUFB7 Antibody - Azide and BSA Free

Application
Recommended Usage

Immunocytochemistry/ Immunofluorescence

1:50-1:100

Immunohistochemistry

1:50-1:100

Western Blot

1:500-1:2000

Formulation, Preparation, and Storage

Purification

Affinity purified

Formulation

PBS (pH 7.3), 50% glycerol

Format

Azide and BSA Free

Preservative

0.01% Thimerosal

Concentration

Please see the vial label for concentration. If unlisted please contact technical services.

Shipping

The product is shipped with polar packs. Upon receipt, store it immediately at the temperature recommended below.

Stability & Storage

Store at -20C. Avoid freeze-thaw cycles.

Background: NDUFB7

NDUFB7 is encoded by this gene is a subunit of the multisubunit NADH:ubiquinone oxidoreductase (complex I). Mammalian complex I is composed of 45 different subunits. It is located at the mitochondrial inner membrane. This protein has NADH dehydrogenase activity and oxidoreductase activity. It transfers electrons from NADH to the respiratory chain. The immediate electron acceptor for the enzyme is believed to be ubiquinone.

Alternate Names

B18, Cell adhesion protein SQM1, CI-B18NADH-ubiquinone oxidoreductase B18 subunit, complex I B18 subunit, Complex I-B18, MGC2480, NADH dehydrogenase (ubiquinone) 1 beta subcomplex, 7 (18kD, B18), NADH dehydrogenase (ubiquinone) 1 beta subcomplex, 7, 18kDa, NADH dehydrogenase [ubiquinone] 1 beta subcomplex subunit 7

Gene Symbol

NDUFB7

Additional NDUFB7 Products

Product Documents for NDUFB7 Antibody - Azide and BSA Free

Certificate of Analysis

To download a Certificate of Analysis, please enter a lot number in the search box below.

Product Specific Notices for NDUFB7 Antibody - Azide and BSA Free

This product is for research use only and is not approved for use in humans or in clinical diagnosis. Primary Antibodies are guaranteed for 1 year from date of receipt.

Loading...
Loading...
Loading...
Loading...

⚠ WARNING: This product can expose you to chemicals including Methotrexate, which is known to the State of California to cause reproductive toxicity with developmental effects. For more information, go to www.P65Warnings.ca.gov