Skip to main content

NDUFA9 Antibody

Novus Biologicals, part of Bio-Techne | Catalog # NBP3-13155

Novus Biologicals, part of Bio-Techne
Catalog #
Availability
Size / Price
Qty
Loading...
NBP3-13155

Key Product Details

Species Reactivity

Validated:

Human, Mouse, Rat

Predicted:

Chimpanzee (100%). Backed by our 100% Guarantee.

Applications

Immunohistochemistry, Immunohistochemistry-Paraffin, Western Blot, Immunocytochemistry/ Immunofluorescence

Label

Unconjugated

Antibody Source

Polyclonal Rabbit IgG

Concentration

Concentrations vary lot to lot. See vial label for concentration. If unlisted please contact technical services.

Product Specifications

Immunogen

Carrier-protein conjugated synthetic peptide encompassing a sequence within the center region of human NDUFA9. The exact sequence is proprietary.

Clonality

Polyclonal

Host

Rabbit

Isotype

IgG

Description

Centrifuge briefly prior to opening.

Scientific Data Images for NDUFA9 Antibody

Western Blot: NDUFA9 Antibody [NBP3-13155]

Western Blot: NDUFA9 Antibody [NBP3-13155]

Western Blot: NDUFA9 Antibody [NBP3-13155] - Various whole cell extracts (30 ug) were separated by 10% SDS-PAGE, and the membrane was blotted with NDUFA9 antibody (NBP3-13155) diluted at 1:1000. The HRP-conjugated anti-rabbit IgG antibody (NBP2-19301) was used to detect the primary antibody.
Immunocytochemistry/ Immunofluorescence: NDUFA9 Antibody [NBP3-13155]

Immunocytochemistry/ Immunofluorescence: NDUFA9 Antibody [NBP3-13155]

Immunocytochemistry/Immunofluorescence: NDUFA9 Antibody [NBP3-13155] - NDUFA9 antibody detects NDUFA9 protein at mitochondria by immunofluorescent analysis. Sample: HepG2 cells were fixed in ice-cold MeOH for 5 min. Green: NDUFA9 stained by NDUFA9 antibody (NBP3-13155) diluted at 1:500. Blue: Hoechst 33342 staining.
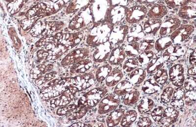
Immunohistochemistry-Paraffin: NDUFA9 Antibody [NBP3-13155]

Immunohistochemistry-Paraffin: NDUFA9 Antibody [NBP3-13155]

Immunohistochemistry-Paraffin: NDUFA9 Antibody [NBP3-13155] - NDUFA9 antibody detects NDUFA9 protein at mitochondria by immunohistochemical analysis. Sample: Paraffin-embedded rat colon. NDUFA9 stained by NDUFA9 antibody (NBP3-13155) diluted at 1:500. Antigen Retrieval: Citrate buffer, pH 6.0, 15 min

Applications for NDUFA9 Antibody

Application
Recommended Usage

Immunocytochemistry/ Immunofluorescence

Optimal dilutions of this antibody should be experimentally determined.

Immunohistochemistry

Optimal dilutions of this antibody should be experimentally determined.

Immunohistochemistry-Paraffin

Optimal dilutions of this antibody should be experimentally determined.

Western Blot

Optimal dilutions of this antibody should be experimentally determined.

Formulation, Preparation, and Storage

Purification

Antigen Affinity-purified

Formulation

PBS, 1% BSA, 20% Glycerol

Preservative

0.025% Proclin 300

Concentration

Concentrations vary lot to lot. See vial label for concentration. If unlisted please contact technical services.

Shipping

The product is shipped with polar packs. Upon receipt, store it immediately at the temperature recommended below.

Stability & Storage

Store at 4C short term. Aliquot and store at -20C long term. Avoid freeze-thaw cycles.

Background: NDUFA9

ATP is generated via oxidative phosphorylation (Oxphos) in the mitochondria of almost all cells. The protein components of Oxphos, 4 respiratory chain complexes (I-IV) and an ATP synthase, are encoded in both the mitochondrial and nuclear genomes. Of the 4 respiratory chain complexes, complex I is the largest at 900 kD and contains at least 41 polypeptide subunits, 7 of which are encoded in the mitochondria, the remaining subunits are encoded in the nucleus. The multisubunit NADH:ubiquinone oxidoreductase is the first enzyme complex. By use of chaotropic agents, complex I can be fragmented into 3 different fractions. The flavoprotein fraction contains the NDUFV1, NDUFV2, and NDUFV3 subunits. The iron-sulfur protein (IP) fraction contains at least 7 subunits, NDUFS1-NDUFS6 and NDUFA5. The remaining subunits are part of the hydrophobic protein (HP) fraction. NDUFA9 is part of the hydrophobic protein fraction of the enzyme complex. However, it is predominantly hydrophilic, and appears to lie mostly outside the lipid bilayer.

Alternate Names

CC6, CI39k, CI-39k, CI-39kD, complex I 39kDa subunit, Complex I-39kD, MGC111043, NADH dehydrogenase (ubiquinone) 1 alpha subcomplex, 9 (39kD), NADH dehydrogenase (ubiquinone) 1 alpha subcomplex, 9, 39kDa, NADH dehydrogenase (ubiquinone) Fe-S protein 2-like (NADH-coenzyme Q reductase), NADH dehydrogenase [ubiquinone] 1 alpha subcomplex subunit 9, mitochondrial, NADH-ubiquinone oxidoreductase 39 kDa subunit, NDUFS2L, SDR22E1, short chain dehydrogenase/reductase family 22E, member 1

Gene Symbol

NDUFA9

Additional NDUFA9 Products

Product Documents for NDUFA9 Antibody

Certificate of Analysis

To download a Certificate of Analysis, please enter a lot number in the search box below.

Product Specific Notices for NDUFA9 Antibody

This product is for research use only and is not approved for use in humans or in clinical diagnosis. Primary Antibodies are guaranteed for 1 year from date of receipt.

Loading...
Loading...
Loading...
Loading...