NDUFA9 Antibody (3D7) - Azide and BSA Free
Novus Biologicals, part of Bio-Techne | Catalog # H00004704-M01
Key Product Details
Species Reactivity
Human, Mouse, Rat
Applications
ELISA, Immunocytochemistry/ Immunofluorescence, Immunohistochemistry, Immunohistochemistry-Paraffin, Sandwich ELISA, Western Blot
Label
Unconjugated
Antibody Source
Monoclonal Mouse IgG2a Kappa Clone # 3D7
Format
Azide and BSA Free
Concentration
Concentrations vary lot to lot. See vial label for concentration. If unlisted please contact technical services.
Product Specifications
Immunogen
NDUFA9 (NP_004993, 303 a.a. ~ 377 a.a) partial recombinant protein with GST tag. MW of the GST tag alone is 26 KDa. RVFEISPFEPWITRDKVERMHITDMKLPHLPGLEDLGIQATPLELKAIEVLRRHRTYRWLSAEIEDVKPAKTVNI
Reactivity Notes
Please note that this antibody is reactive to Mouse and derived from the same host, Mouse. Additional Mouse on Mouse blocking steps may be required for IHC and ICC experiments. Please contact Technical Support for more information.
Specificity
NDUFA9 - NADH dehydrogenase (ubiquinone) 1 alpha subcomplex, 9, 39kDa
Clonality
Monoclonal
Host
Mouse
Isotype
IgG2a Kappa
Description
Quality control test: Antibody Reactive Against Recombinant Protein.
Scientific Data Images for NDUFA9 Antibody (3D7) - Azide and BSA Free
Western Blot: NDUFA9 Antibody (3D7) [H00004704-M01]
Western Blot: NDUFA9 Antibody (3D7) [H00004704-M01] - NDUFA9 monoclonal antibody (M01), clone 3D7 Analysis of NDUFA9 expression in NIH/3T3.Immunocytochemistry/ Immunofluorescence: NDUFA9 Antibody (3D7) [H00004704-M01]
Immunocytochemistry/Immunofluorescence: NDUFA9 Antibody (3D7) [H00004704-M01] - Analysis of monoclonal antibody to NDUFA9 on NIH/3T3 cell. Antibody concentration 10 ug/ml.Immunohistochemistry-Paraffin: NDUFA9 Antibody (3D7) [H00004704-M01]
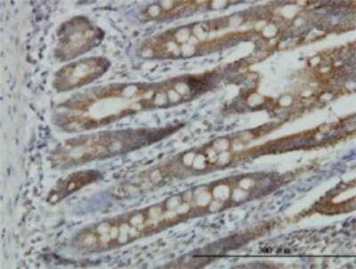
Immunohistochemistry-Paraffin: NDUFA9 Antibody (3D7) [H00004704-M01] - Analysis of monoclonal antibody to NDUFA9 on formalin-fixed paraffin-embedded human small Intestine. Antibody concentration 0.8 ug/ml.Applications for NDUFA9 Antibody (3D7) - Azide and BSA Free
Application
Recommended Usage
Western Blot
1:500
Application Notes
Antibody reactivity against cell lysate and recombinant protein for WB. It has also been used for IF, IHC-P and ELISA.
Formulation, Preparation, and Storage
Purification
IgG purified
Formulation
In 1x PBS, pH 7.4
Format
Azide and BSA Free
Preservative
No Preservative
Concentration
Concentrations vary lot to lot. See vial label for concentration. If unlisted please contact technical services.
Shipping
The product is shipped with polar packs. Upon receipt, store it immediately at the temperature recommended below.
Stability & Storage
Aliquot and store at -20C or -80C. Avoid freeze-thaw cycles.
Background: NDUFA9
Alternate Names
CC6, CI39k, CI-39k, CI-39kD, complex I 39kDa subunit, Complex I-39kD, MGC111043, NADH dehydrogenase (ubiquinone) 1 alpha subcomplex, 9 (39kD), NADH dehydrogenase (ubiquinone) 1 alpha subcomplex, 9, 39kDa, NADH dehydrogenase (ubiquinone) Fe-S protein 2-like (NADH-coenzyme Q reductase), NADH dehydrogenase [ubiquinone] 1 alpha subcomplex subunit 9, mitochondrial, NADH-ubiquinone oxidoreductase 39 kDa subunit, NDUFS2L, SDR22E1, short chain dehydrogenase/reductase family 22E, member 1
Entrez Gene IDs
4704 (Human)
Gene Symbol
NDUFA9
OMIM
603834 (Human)
UniProt
Additional NDUFA9 Products
Product Documents for NDUFA9 Antibody (3D7) - Azide and BSA Free
Product Specific Notices for NDUFA9 Antibody (3D7) - Azide and BSA Free
This product is produced by and distributed for Abnova, a company based in Taiwan.
This product is for research use only and is not approved for use in humans or in clinical diagnosis. Primary Antibodies are guaranteed for 1 year from date of receipt.
Loading...
Loading...
Loading...
Loading...