NDRG2 Antibody
Novus Biologicals, part of Bio-Techne | Catalog # NBP1-72052
Key Product Details
Species Reactivity
Human, Mouse, Rat
Applications
Immunohistochemistry, Immunohistochemistry-Paraffin, Western Blot, Peptide ELISA
Label
Unconjugated
Antibody Source
Polyclonal Goat IgG
Concentration
0.5 mg/ml
Product Specifications
Immunogen
Peptide with sequence KEAELAARILLDQGQ-C corresponding to N-Terminus (near) according to NP_963293.1.
Reactivity Notes
Expected from sequence similarity: Canine
Specificity
This antibody is expected to recognize reported isoform a (NP_963293.1) only. Reported variants represent identical protein: NP_963831.1, NP_963293.1, NP_963834.1, NP_963833.1.
Clonality
Polyclonal
Host
Goat
Isotype
IgG
Description
Novus Biologicals Goat NDRG2 Antibody (NBP1-72052) is a polyclonal antibody validated for use in IHC, WB and ELISA. Anti-NDRG2 Antibody: Cited in 1 publication. All Novus Biologicals antibodies are covered by our 100% guarantee.
Scientific Data Images for NDRG2 Antibody
Western Blot: NDRG2 Antibody [NBP1-72052]
Western Blot: NDRG2 Antibody [NBP1-72052] - (0.1ug/ml) staining of Human Temporal Cortex lysate (35ug protein in RIPA buffer). Primary incubation was 1 hour. Detected by chemiluminescence.Immunohistochemistry-Paraffin: NDRG2 Antibody [NBP1-72052]
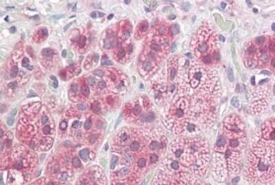
Immunohistochemistry-Paraffin: NDRG2 Antibody [NBP1-72052] - 3.75ug/ml staining of paraffin embedded Human Adrenal Gland. Steamed antigen retrieval with citrate buffer pH 6, AP-staining.Western Blot: NDRG2 Antibody [NBP1-72052]
Western Blot: NDRG2 Antibody [NBP1-72052] - Staining of Mouse (A) and Rat (B) Brain lysates (35 ug protein in RIPA buffer). Primary incubation was 1 hour. Detected by chemiluminescence.Applications for NDRG2 Antibody
Application
Recommended Usage
Immunohistochemistry
0.1-0.3ug/ml
Peptide ELISA
Detection limit 1:16000
Western Blot
1:1000
Application Notes
Western blot: Approx 45kDa band observed in Human Brain (Temporal Cortex), Mouse and Rat Brain lysates (calculated MW of 40.8kDa according to NP_963293.1). Primary incubation was 1 hour
IHC: Paraffin embedded Human Adrenal Gland.
IHC: Paraffin embedded Human Adrenal Gland.
Formulation, Preparation, and Storage
Purification
Immunogen affinity purified
Formulation
Tris saline (20 mM Tris pH 7.3, 150 mM NaCl), 0.5% BSA
Preservative
0.02% Sodium Azide
Concentration
0.5 mg/ml
Shipping
The product is shipped with polar packs. Upon receipt, store it immediately at the temperature recommended below.
Stability & Storage
Store at -20C. Avoid freeze-thaw cycles.
Background: NDRG2
Alternate Names
DKFZp781G1938, FLJ25522, KIAA1248cytoplasmic protein Ndr1, NDR1-related protein NDR2, NDRG family member 2, protein NDRG2, Protein Syld709613, syld709613 protein, SYLDN-myc downstream regulator 2
Gene Symbol
NDRG2
UniProt
Additional NDRG2 Products
Product Documents for NDRG2 Antibody
Product Specific Notices for NDRG2 Antibody
This product is for research use only and is not approved for use in humans or in clinical diagnosis. Primary Antibodies are guaranteed for 1 year from date of receipt.
Loading...
Loading...
Loading...
Loading...