Skip to main content

NDFIP2 Antibody - BSA Free

Novus Biologicals, part of Bio-Techne | Catalog # NBP1-81436

Novus Biologicals, part of Bio-Techne
Catalog #
Availability
Size / Price
Qty
Loading...
NBP1-81436
NBP1-81436-25ul

Key Product Details

Species Reactivity

Human

Applications

Immunohistochemistry, Immunohistochemistry-Paraffin, Western Blot, Immunocytochemistry/ Immunofluorescence

Label

Unconjugated

Antibody Source

Polyclonal Rabbit IgG

Format

BSA Free

Concentration

Concentrations vary lot to lot. See vial label for concentration. If unlisted please contact technical services.

Product Specifications

Immunogen

This antibody was developed against Recombinant Protein corresponding to amino acids: AAAGATGSEELPPGDRGCRNGGGRGPAATTSSTGVAVGAEHGEDSLSRKPDPEPGRMDHHQPGTGRYQVLLNEEDN

Clonality

Polyclonal

Host

Rabbit

Isotype

IgG

Scientific Data Images for NDFIP2 Antibody - BSA Free

Western Blot: NDFIP2 Antibody [NBP1-81436]

Western Blot: NDFIP2 Antibody [NBP1-81436]

Western Blot: NDFIP2 Antibody [NBP1-81436] - Analysis in human cell line A-431.
Immunocytochemistry/ Immunofluorescence: NDFIP2 Antibody [NBP1-81436]

Immunocytochemistry/ Immunofluorescence: NDFIP2 Antibody [NBP1-81436]

Immunocytochemistry/Immunofluorescence: NDFIP2 Antibody [NBP1-81436] - Immunofluorescent staining of human cell line CACO-2 shows localization to vesicles.
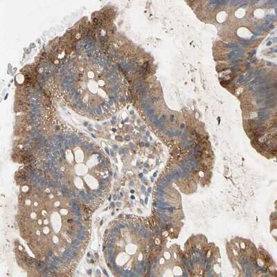
Immunohistochemistry-Paraffin: NDFIP2 Antibody [NBP1-81436]

Immunohistochemistry-Paraffin: NDFIP2 Antibody [NBP1-81436]

Immunohistochemistry-Paraffin: NDFIP2 Antibody [NBP1-81436] - Staining of human colon shows strong cytoplasmic positivity in glandular cells.

Applications for NDFIP2 Antibody - BSA Free

Application
Recommended Usage

Immunocytochemistry/ Immunofluorescence

0.25-2 ug/ml

Immunohistochemistry

1:20 - 1:50

Immunohistochemistry-Paraffin

1:20 - 1:50

Western Blot

0.04-0.4 ug/ml
Application Notes
For IHC-Paraffin, HIER pH 6 retrieval is recommended. ICC/IF Fixation Permeabilization: Use PFA/Triton X-100.

Formulation, Preparation, and Storage

Purification

Affinity purified

Formulation

PBS (pH 7.2) and 40% Glycerol

Format

BSA Free

Preservative

0.02% Sodium Azide

Concentration

Concentrations vary lot to lot. See vial label for concentration. If unlisted please contact technical services.

Shipping

The product is shipped with polar packs. Upon receipt, store it immediately at the temperature recommended below.

Stability & Storage

Store at 4C short term. Aliquot and store at -20C long term. Avoid freeze-thaw cycles.

Background: NDFIP2

NDFIP2, also known as NEDD4 family-interacting protein 2, NEDD4 WW domain-binding protein 5A, putative MAPK-activating protein PM04/PM05/PM06/PM07 and putative NF-kappa-B-activating protein 413, is a member of the Nedd4 family. NDFIP2 activates the HECT domain-containing E3 ubiquitin-protein ligases, including ITCH, NEDD4, NEDD4L, SMURF2, WWP1 and WWP2. NDFIP2 also recruits ITCH, NEDD4, and SMURF2 to endosomal membranes. NDFIP2 may also play a role in modulating EGFR signaling and other cellular processes.

Alternate Names

FLJ25842, KIAA1165N4WBP5APutative MAPK-activating protein PM04/PM05/PM06/PM07, MAPK-activating protein PM04 PM05 PM06 PM07, N4wbp5a, Nedd4 family interacting protein 2, NEDD4 family-interacting protein 2, NEDD4 WW domain-binding protein 5A, NF-kappa-B-activating protein 413, Putative NF-kappa-B-activating protein 413

Gene Symbol

NDFIP2

Additional NDFIP2 Products

Product Documents for NDFIP2 Antibody - BSA Free

Certificate of Analysis

To download a Certificate of Analysis, please enter a lot number in the search box below.

Product Specific Notices for NDFIP2 Antibody - BSA Free

This product is for research use only and is not approved for use in humans or in clinical diagnosis. Primary Antibodies are guaranteed for 1 year from date of receipt.

Loading...
Loading...
Loading...
Loading...