Skip to main content

NCOA6 Antibody - BSA Free

Novus Biologicals, part of Bio-Techne | Catalog # NB200-335

Novus Biologicals, part of Bio-Techne
Catalog #
Availability
Size / Price
Qty
Loading...
NB200-335

Key Product Details

Species Reactivity

Validated:

Human

Cited:

Human

Predicted:

Rat (100%). Backed by our 100% Guarantee.

Applications

Validated:

Immunohistochemistry, Immunohistochemistry-Paraffin, Western Blot, Immunoprecipitation

Cited:

IF/IHC

Label

Unconjugated

Antibody Source

Polyclonal Rabbit IgG

Format

BSA Free

Concentration

1.0 mg/ml

Product Specifications

Immunogen

A synthetic peptide that maps to a region between residues 1050 and 1100 of human Activating Signal Cointegrator-2 using the numbering given in Swiss-Prot entry Q14686 (GeneID 23054).

Clonality

Polyclonal

Host

Rabbit

Isotype

IgG

Scientific Data Images for NCOA6 Antibody - BSA Free

Western Blot: NCOA6 Antibody [NB200-335]

Western Blot: NCOA6 Antibody [NB200-335]

Western Blot: NCOA6 Antibody [NB200-335] - Detection of Human ASC2 by Western Blot. Samples: Whole cell lysate (5, 15 and 50 ug) from HeLa cells prepared using NETN lysis buffer. Antibody: Affinity purified rabbit anti-ASC2 antibody NB200-335 used for WB at 0.1 ug/ml. Detection: Chemiluminescence with an exposure time of 30 seconds.
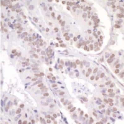
Immunohistochemistry-Paraffin: NCOA6 Antibody [NB200-335]

Immunohistochemistry-Paraffin: NCOA6 Antibody [NB200-335]

Immunohistochemistry-Paraffin: NCOA6 Antibody [NB200-335] - FFPE section of human colon carcinoma. Antibody: Affinity purified rabbit anti-ASC2 used at a dilution of 1:1,000 (1ug/ml). Detection: DAB
Immunoprecipitation: NCOA6 Antibody [NB200-335]

Immunoprecipitation: NCOA6 Antibody [NB200-335]

Immunoprecipitation: NCOA6 Antibody [NB200-335] - Whole cell lysate (0.5 or 1.0 mg per IP reaction; 20% of IP loaded) from HeLa cells prepared using NETN lysis buffer. Antibodies: Affinity purified rabbit anti-ASC2 antibody used for IP at 6 ug per reaction. ASC2 was also immunoprecipitated by a previous lot of this antibody and rabbit anti-ASC2 antibody. For blotting immunoprecipitated ASC2, was used at 1 ug/ml. Detection: Chemiluminescence with an exposure time of 30 seconds.

Applications for NCOA6 Antibody - BSA Free

Application
Recommended Usage

Immunohistochemistry

1:500 - 1:2000

Immunohistochemistry-Paraffin

1:500 - 1:2000

Immunoprecipitation

2-10 ug/mg lysate

Western Blot

1:2000 - 1:10000
Application Notes
Epitope retrieval with citrate buffer pH6.0 is recommended for FFPE tissue sections.

Formulation, Preparation, and Storage

Purification

Immunogen affinity purified

Formulation

Tris-Citrate/Phosphate (pH 7.0 - 8.0)

Format

BSA Free

Preservative

0.09% Sodium Azide

Concentration

1.0 mg/ml

Shipping

The product is shipped with polar packs. Upon receipt, store it immediately at the temperature recommended below.

Stability & Storage

Store at 4C. Do not freeze.

Background: NCOA6

Nuclear receptor coactivator that directly binds nuclear receptors and stimulates the transcriptional activities in a hormone-dependent fashion. Coactivates expression in an agonist- and AF2-dependent manner. Involved in the coactivation of different nuclear receptors, such as for steroids (GR and ERs), retinoids (RARs and RXRs), thyroid hormone (TRs), vitamin D3 (VDR) and prostanoids (PPARs). Probably functions as a general coactivator, rather than just a nuclear receptor coactivator. May also be involved in the coactivation of the NF-kappa-B pathway. May coactivate expression via a remodeling of chromatin and its interaction with histone acetyltransferase proteins. Involved in placental, cardiac, hepatic and embryonic development. NCOA6 is over-expressed in several breast cancer cell lines.

Alternate Names

Activating signal cointegrator 2, AIB3NRC RAP250, Amplified in breast cancer protein 3, ASC-2, Cancer-amplified transcriptional coactivator ASC-2, KIAA0181PPAR-interacting protein, NRCamplified in breast cancer-3 protein, nuclear receptor coactivator 6, Nuclear receptor coactivator RAP250, Nuclear receptor-activating protein, 250 kDa, peroxisome proliferator-activated receptor interacting protein, PRIPPeroxisome proliferator-activated receptor-interacting protein, RAP250Thyroid hormone receptor-binding protein, thyroid hormone receptor binding protein, TRBPASC2activating signal cointegrator-2

Entrez Gene IDs

56406 (Mouse)

Gene Symbol

NCOA6

UniProt

Additional NCOA6 Products

Product Documents for NCOA6 Antibody - BSA Free

Certificate of Analysis

To download a Certificate of Analysis, please enter a lot number in the search box below.

Product Specific Notices for NCOA6 Antibody - BSA Free

This product is for research use only and is not approved for use in humans or in clinical diagnosis. Primary Antibodies are guaranteed for 1 year from date of receipt.

Loading...
Loading...
Loading...
Loading...