Skip to main content

NCKAP5L Antibody - BSA Free

Novus Biologicals, part of Bio-Techne | Catalog # NBP1-93583

Novus Biologicals, part of Bio-Techne
Catalog #
Availability
Size / Price
Qty
Loading...
NBP1-93583
NBP1-93583-25ul

Key Product Details

Species Reactivity

Validated:

Human

Predicted:

Mouse (92%), Rat (90%). Backed by our 100% Guarantee.

Applications

Immunohistochemistry, Immunohistochemistry-Paraffin, Immunocytochemistry/ Immunofluorescence

Label

Unconjugated

Antibody Source

Polyclonal Rabbit IgG

Format

BSA Free

Concentration

Concentrations vary lot to lot. See vial label for concentration. If unlisted please contact technical services.

Product Specifications

Immunogen

This antibody was developed against Recombinant Protein corresponding to amino acids: EEKVMKGIEENVLRLQGQERAPGAEVKHRNTSSIASWFGLKKSKLPALNRRTEATKNKEGAGGGSPLRREVKMEARKL

Clonality

Polyclonal

Host

Rabbit

Isotype

IgG

Description

Novus Biologicals Rabbit NCKAP5L Antibody - BSA Free (NBP1-93583) is a polyclonal antibody validated for use in IHC and ICC/IF. All Novus Biologicals antibodies are covered by our 100% guarantee.

Scientific Data Images for NCKAP5L Antibody - BSA Free

Immunocytochemistry/ Immunofluorescence: NCKAP5L Antibody [NBP1-93583]

Immunocytochemistry/ Immunofluorescence: NCKAP5L Antibody [NBP1-93583]

Immunocytochemistry/Immunofluorescence: NCKAP5L Antibody [NBP1-93583] - Immunofluorescent staining of human cell line U-251 MG shows localization to the Golgi apparatus.
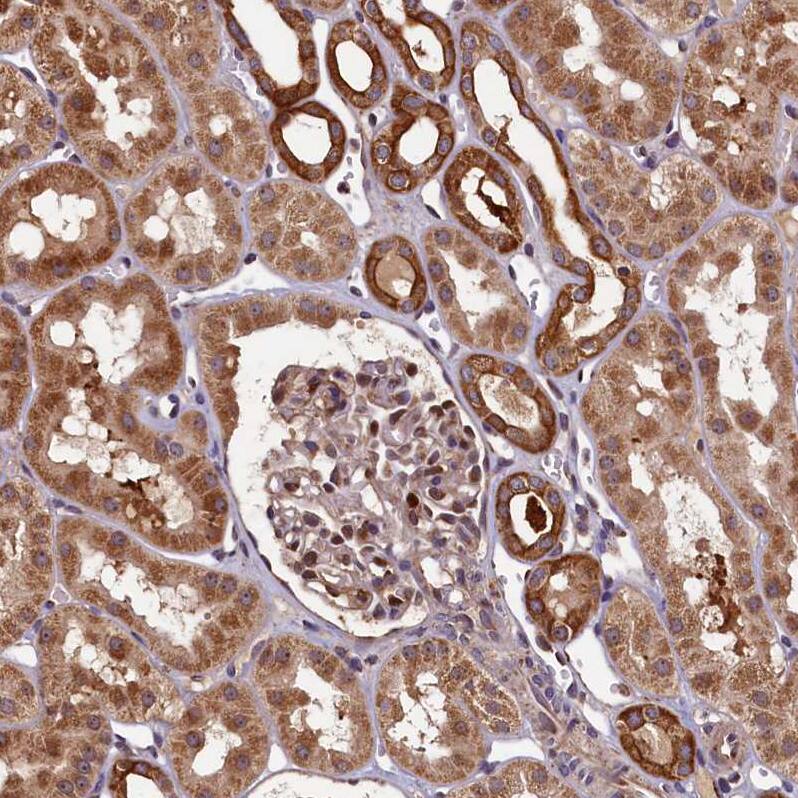
Immunohistochemistry-Paraffin: NCKAP5L Antibody [NBP1-93583]

Immunohistochemistry-Paraffin: NCKAP5L Antibody [NBP1-93583]

Immunohistochemistry-Paraffin: NCKAP5L Antibody [NBP1-93583] - Staining of human kidney shows strong cytoplasmic positivity in cells of tubules.
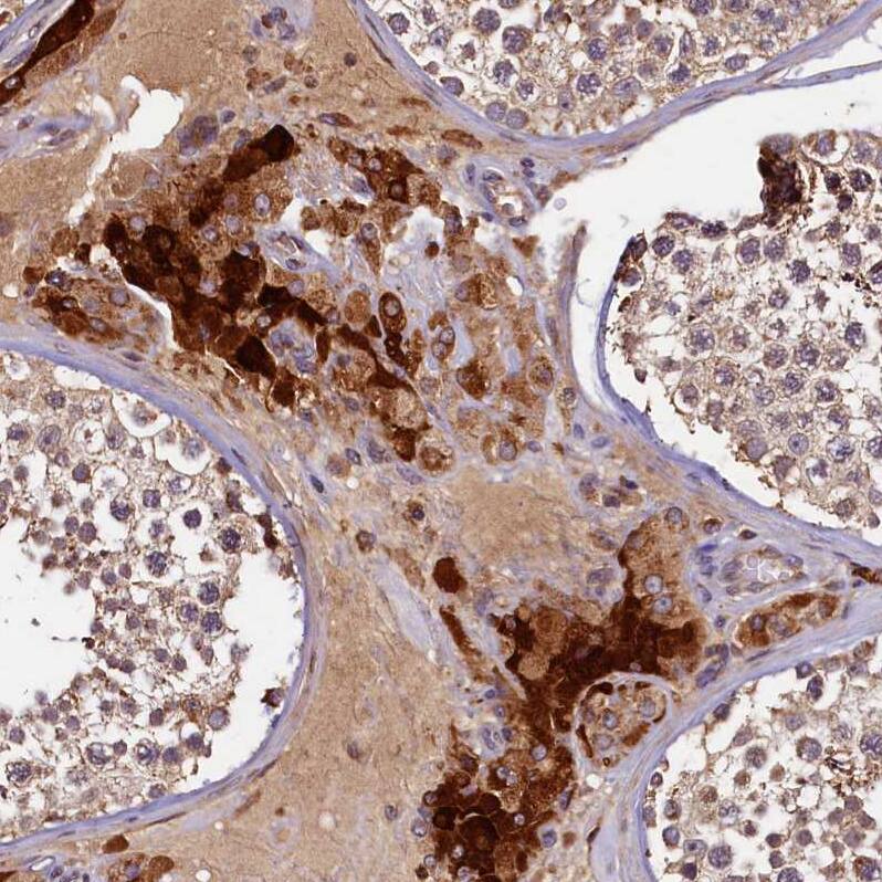
NCKAP5L Antibody - BSA Free Immunohistochemistry: NCKAP5L Antibody - BSA Free [NBP1-93583]

Immunohistochemistry: NCKAP5L Antibody - BSA Free [NBP1-93583]

Staining of human testis shows strong cytoplasmic positivity in Leydig cells.

Applications for NCKAP5L Antibody - BSA Free

Application
Recommended Usage

Immunocytochemistry/ Immunofluorescence

0.25-2 ug/ml

Immunohistochemistry

1:50 - 1:200

Immunohistochemistry-Paraffin

1:50 - 1:200
Application Notes
For IHC-Paraffin, HIER pH 6 retrieval is recommended. ICC/IF, Fixation Permeabilization: Use PFA/Triton X-100.

Formulation, Preparation, and Storage

Purification

Affinity purified

Formulation

PBS (pH 7.2) and 40% Glycerol

Format

BSA Free

Preservative

0.02% Sodium Azide

Concentration

Concentrations vary lot to lot. See vial label for concentration. If unlisted please contact technical services.

Shipping

The product is shipped with polar packs. Upon receipt, store it immediately at the temperature recommended below.

Stability & Storage

Store at 4C short term. Aliquot and store at -20C long term. Avoid freeze-thaw cycles.

Background: NCKAP5L

Alternate Names

FLJ36581, KIAA1602, nck-associated protein 5-like

Gene Symbol

NCKAP5L

Additional NCKAP5L Products

Product Documents for NCKAP5L Antibody - BSA Free

Certificate of Analysis

To download a Certificate of Analysis, please enter a lot number in the search box below.

Product Specific Notices for NCKAP5L Antibody - BSA Free

This product is for research use only and is not approved for use in humans or in clinical diagnosis. Primary Antibodies are guaranteed for 1 year from date of receipt.

Loading...
Loading...
Loading...
Loading...