Skip to main content

NCBP1 Antibody - BSA Free

Novus Biologicals, part of Bio-Techne | Catalog # NBP2-33897

Novus Biologicals, part of Bio-Techne
Catalog #
Availability
Size / Price
Qty
Loading...
NBP2-33897-25ul
NBP2-33897

Key Product Details

Validated by

Orthogonal Validation

Species Reactivity

Validated:

Human

Predicted:

Mouse (98%), Rat (98%). Backed by our 100% Guarantee.

Applications

Immunohistochemistry, Immunohistochemistry-Paraffin, Western Blot, Immunocytochemistry/ Immunofluorescence

Label

Unconjugated

Antibody Source

Polyclonal Rabbit IgG

Format

BSA Free

Concentration

Concentrations vary lot to lot. See vial label for concentration. If unlisted please contact technical services.

Product Specifications

Immunogen

This antibody was developed against a recombinant protein corresponding to amino acids: FVSVTQEEDVPQVRRDWYVYAFLSSLPWVGKELYEKKDAEMDRIFANTESYLKRRQKTHVPMLQVWTADKPHPQEEYLDCLWAQIQKLKKDRWQERHILRPYLAFDSILCEALQHNLPPFTPPPH

Clonality

Polyclonal

Host

Rabbit

Isotype

IgG

Description

Novus Biologicals Rabbit NCBP1 Antibody - BSA Free (NBP2-33897) is a polyclonal antibody validated for use in IHC, WB and ICC/IF. All Novus Biologicals antibodies are covered by our 100% guarantee.

Scientific Data Images for NCBP1 Antibody - BSA Free

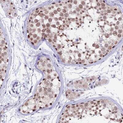
Immunohistochemistry-Paraffin: NCBP1 Antibody [NBP2-33897]

Immunohistochemistry-Paraffin: NCBP1 Antibody [NBP2-33897]

Immunohistochemistry-Paraffin: NCBP1 Antibody [NBP2-33897] - Staining in human testis and pancreas tissues using anti-NCBP1 antibody. Corresponding NCBP1 RNA-seq data are presented for the same tissues.
Immunocytochemistry/ Immunofluorescence: NCBP1 Antibody [NBP2-33897]

Immunocytochemistry/ Immunofluorescence: NCBP1 Antibody [NBP2-33897]

Immunocytochemistry/Immunofluorescence: NCBP1 Antibody [NBP2-33897] - Immunofluorescent staining of human cell line A-431 shows localization to nucleoplasm & cytosol.
Immunohistochemistry-Paraffin: NCBP1 Antibody [NBP2-33897]

Immunohistochemistry-Paraffin: NCBP1 Antibody [NBP2-33897]

Immunohistochemistry-Paraffin: NCBP1 Antibody [NBP2-33897] - Staining of human pancreas shows low expression as expected.

Applications for NCBP1 Antibody - BSA Free

Application
Recommended Usage

Immunocytochemistry/ Immunofluorescence

0.25-2 ug/ml

Immunohistochemistry

1:50 - 1:200

Immunohistochemistry-Paraffin

1:50 - 1:200

Western Blot

0.04-0.4 ug/ml
Application Notes
IHC-Paraffin, HIER pH 6 retrieval is recommended. ICC/IF,Fixation Permeabilization: Use PFA/Triton X-100.

Formulation, Preparation, and Storage

Purification

Affinity purified

Formulation

PBS (pH 7.2) and 40% Glycerol

Format

BSA Free

Preservative

0.02% Sodium Azide

Concentration

Concentrations vary lot to lot. See vial label for concentration. If unlisted please contact technical services.

Shipping

The product is shipped with polar packs. Upon receipt, store it immediately at the temperature recommended below.

Stability & Storage

Store at 4C short term. Aliquot and store at -20C long term. Avoid freeze-thaw cycles.

Background: NCBP1

The product of this gene is a component of the nuclear cap-binding protein complex (CBC), which binds to the monomethylated 5' cap of nascent pre-mRNA in the nucleoplasm. The encoded protein promotes high-affinity mRNA-cap binding and associates with the CTD of RNA polymerase II. The CBC promotes pre-mRNA splicing, 3'-end processing, RNA nuclear export, and nonsense-mediated mRNA decay. [provided by RefSeq]

Alternate Names

CBP80nuclear cap binding protein subunit 1, 80kD, NCBP 80 kDa subunit, NCBPMGC2087, nuclear cap binding protein subunit 1, 80kDa, nuclear cap-binding protein subunit 1,80 kDa nuclear cap-binding protein, Sto1

Gene Symbol

NCBP1

UniProt

Additional NCBP1 Products

Product Documents for NCBP1 Antibody - BSA Free

Certificate of Analysis

To download a Certificate of Analysis, please enter a lot number in the search box below.

Product Specific Notices for NCBP1 Antibody - BSA Free

This product is for research use only and is not approved for use in humans or in clinical diagnosis. Primary Antibodies are guaranteed for 1 year from date of receipt.

Loading...
Loading...
Loading...
Loading...