Skip to main content

NCAPH Antibody - Azide and BSA Free

Novus Biologicals, part of Bio-Techne | Catalog # NBP2-98781

Novus Biologicals, part of Bio-Techne

Key Product Details

Species Reactivity

Human

Applications

Western Blot, Immunocytochemistry/ Immunofluorescence, Immunoprecipitation

Label

Unconjugated

Antibody Source

Polyclonal Rabbit IgG

Format

Azide and BSA Free

Concentration

Please see the vial label for concentration. If unlisted please contact technical services.

Product Specifications

Immunogen

Produced in rabbits immunized with a synthetic peptide corresponding to the C-terminus of the Human NCAPH.

Clonality

Polyclonal

Host

Rabbit

Isotype

IgG

Description

This antibody can be stored at 2C to 8C for one month without detectable loss of activity. Antibody products are stable for twelve months from date of receipt when stored at -20C to -80C. Avoid repeated freeze-thaw cycles.

Scientific Data Images for NCAPH Antibody - Azide and BSA Free

Western Blot: NCAPH Antibody [NBP2-98781]

Western Blot: NCAPH Antibody [NBP2-98781]

Western Blot: NCAPH Antibody [NBP2-98781] - Lane A: K562 Whole Cell LysateLane B: HepG2 Whole Cell LysateLysates/proteins at 30 ug per lane.SecondaryGoat Anti- Rabbit IgG H&L (Dylight 800) at 1/10000 dilution.Developed using the Odyssey technique. Performed under reducing conditions.Predicted band size:82 kDaObserved band size:110 kDa
Immunoprecipitation: NCAPH Antibody [NBP2-98781]

Immunoprecipitation: NCAPH Antibody [NBP2-98781]

Immunoprecipitation: NCAPH Antibody [NBP2-98781] - Lane A:0.5 mg K562 Whole Cell LysateLane B:0.5 mg HepG2 Whole Cell Lysate4 uL anti-NCAPH rabbit polyclonal antibody and 15 ul of 50 % Protein G agarose.Primary antibody:Anti-NCAPH rabbit polyclonal antibody,at 1:100 dilution Secondary antibody:Dylight 800-labeled antibody to rabbit IgG (H+L), at 1:5000 dilution Developed using the odssey technique.Performed under reducing conditions.Predicted band size: 83 kDaObserved band size: 110 kDa
NCAPH Antibody - Azide and BSA Free

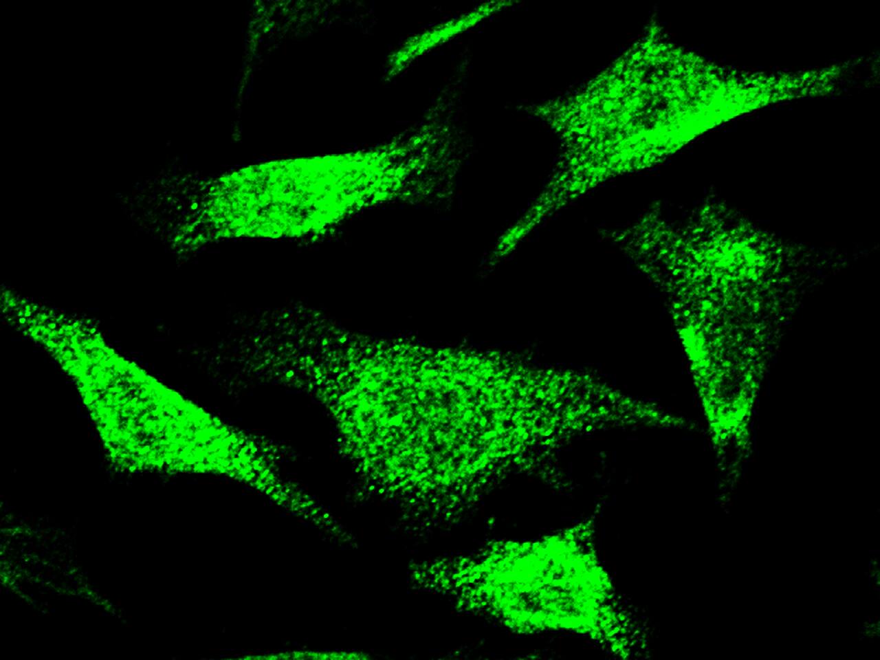
Immunocytochemistry/Immunofluorescence: NCAPH Antibody [NBP2-98781] -

Immunocytochemistry/Immunofluorescence: NCAPH Antibody [NBP2-98781] - Staining of NCAPH in HeLa cells. Cells were fixed with 4% PFA, permeabilzed with 0.3% Triton X-100 in PBS,blocked with 10% serum, and incubated with NBP2-98781 antibody (1:1000) at 4? overnight. Then cells were stained with the Alexa Fluor488-conjugated Goat Anti-rabbit IgG secondary antibody (green).Positive staining was localized to cytoplasm and nucleus.

Applications for NCAPH Antibody - Azide and BSA Free

Application
Recommended Usage

Immunocytochemistry/ Immunofluorescence

1:300-1:10000

Immunoprecipitation

4-8 uL/mg of lysate

Western Blot

1:500-1:2000

Formulation, Preparation, and Storage

Purification

Antigen and protein A Affinity-purified

Formulation

0.2 um filtered solution in PBS

Format

Azide and BSA Free

Preservative

No Preservative

Concentration

Please see the vial label for concentration. If unlisted please contact technical services.

Shipping

The product is shipped with polar packs. Upon receipt, store it immediately at the temperature recommended below.

Stability & Storage

Store at 4C short term. Aliquot and store at -20C long term. Avoid freeze-thaw cycles.

Background: NCAPH

NCAPH encodes a member of the barr gene family and a regulatory subunit of the condensin complex. This complex is required for the conversion of interphase chromatin into condensed chromosomes. The protein encoded by this gene is associated with mitotic chromosomes, except during the early phase of chromosome condensation. During interphase, the protein has a distinct punctate nucleolar localization.

Alternate Names

barren (Drosophila) homolog, barren homolog (Drosophila), barren homolog 1, barren homolog 1 (Drosophila), Barren homolog protein 1, BRRN, BRRN1CAP-H, CAPH, Chromosome-associated protein H, condensin complex subunit 2, HCAP-H, KIAA0074, Non-SMC condensin I complex subunit H, non-SMC condensin I complex, subunit H, XCAP-H homolog

Gene Symbol

NCAPH

Additional NCAPH Products

Product Documents for NCAPH Antibody - Azide and BSA Free

Certificate of Analysis

To download a Certificate of Analysis, please enter a lot number in the search box below.

Product Specific Notices for NCAPH Antibody - Azide and BSA Free

This product is for research use only and is not approved for use in humans or in clinical diagnosis. Primary Antibodies are guaranteed for 1 year from date of receipt.

Loading...
Loading...
Loading...
Loading...