NCAPH Antibody - BSA Free
Novus Biologicals, part of Bio-Techne | Catalog # NBP1-88346
Key Product Details
Validated by
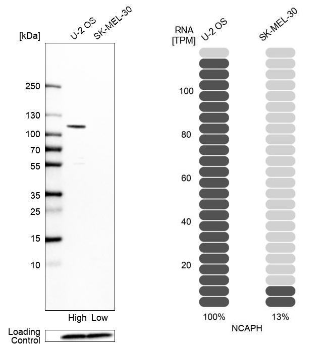
Orthogonal Validation, Independent Antibodies
Species Reactivity
Human
Applications
Immunohistochemistry, Immunohistochemistry-Paraffin, Western Blot
Label
Unconjugated
Antibody Source
Polyclonal Rabbit IgG
Format
BSA Free
Concentration
Concentrations vary lot to lot. See vial label for concentration. If unlisted please contact technical services.
Product Specifications
Immunogen
This antibody was developed against Recombinant Protein corresponding to amino acids: LHCQDYRSELLFPSDVQTLSTGEPLELPELGCVEMTDLKAPLQQCAEDRQICPSLAGFQFTQWDSETHNESVSALVDKFKKNDQVFDINAEVDESDCGDFPDGSLGDDFDANDEPDHT
Reactivity Notes
Immunogen displays the following percentage of sequence identity for non-tested species: Mouse (80%), Rat (82%)
Clonality
Polyclonal
Host
Rabbit
Isotype
IgG
Description
Novus Biologicals Rabbit NCAPH Antibody - BSA Free (NBP1-88346) is a polyclonal antibody validated for use in IHC and WB. All Novus Biologicals antibodies are covered by our 100% guarantee.
Scientific Data Images for NCAPH Antibody - BSA Free
Immunohistochemistry-Paraffin: NCAPH Antibody [NBP1-88346]
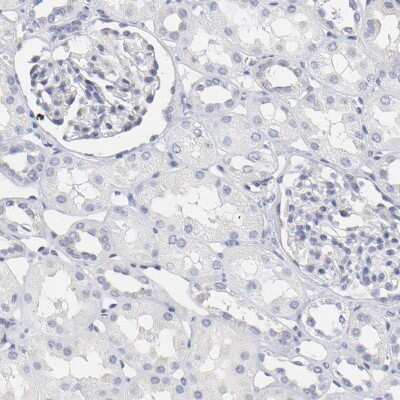
Immunohistochemistry-Paraffin: NCAPH Antibody [NBP1-88346] - Staining of human kidney, skin, testis and tonsil using Anti-NCAPH antibody NBP1-88346 (A) shows similar protein distribution across tissues to independent antibody NBP1-88345 (B).Immunohistochemistry-Paraffin: NCAPH Antibody [NBP1-88346]
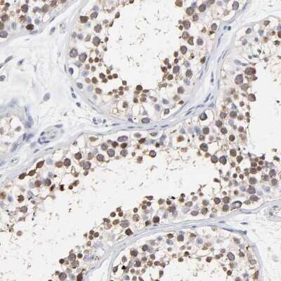
Immunohistochemistry-Paraffin: NCAPH Antibody [NBP1-88346] - Staining of human testis shows nuclear positivity in cells in seminiferous ducts.Applications for NCAPH Antibody - BSA Free
Application
Recommended Usage
Immunohistochemistry
1:50 - 1:200
Immunohistochemistry-Paraffin
1:50-1:200
Western Blot
0.04-0.4 ug/ml
Application Notes
For IHC-Paraffin, HIER pH 6 retrieval is recommended.
Formulation, Preparation, and Storage
Purification
Immunogen affinity purified
Formulation
PBS (pH 7.2) and 40% Glycerol
Format
BSA Free
Preservative
0.02% Sodium Azide
Concentration
Concentrations vary lot to lot. See vial label for concentration. If unlisted please contact technical services.
Shipping
The product is shipped with polar packs. Upon receipt, store it immediately at the temperature recommended below.
Stability & Storage
Store at 4C short term. Aliquot and store at -20C long term. Avoid freeze-thaw cycles.
Background: NCAPH
Alternate Names
barren (Drosophila) homolog, barren homolog (Drosophila), barren homolog 1, barren homolog 1 (Drosophila), Barren homolog protein 1, BRRN, BRRN1CAP-H, CAPH, Chromosome-associated protein H, condensin complex subunit 2, HCAP-H, KIAA0074, Non-SMC condensin I complex subunit H, non-SMC condensin I complex, subunit H, XCAP-H homolog
Gene Symbol
NCAPH
Additional NCAPH Products
Product Documents for NCAPH Antibody - BSA Free
Product Specific Notices for NCAPH Antibody - BSA Free
This product is for research use only and is not approved for use in humans or in clinical diagnosis. Primary Antibodies are guaranteed for 1 year from date of receipt.
Loading...
Loading...
Loading...
Loading...