NCAPH Antibody - BSA Free
Novus Biologicals, part of Bio-Techne | Catalog # NBP1-88345
Key Product Details
Validated by
Knockout/Knockdown, Orthogonal Validation, Independent Antibodies
Species Reactivity
Human
Applications
Immunohistochemistry, Immunohistochemistry-Paraffin, Western Blot, Immunocytochemistry/ Immunofluorescence, Simple Western, Knockdown Validated
Label
Unconjugated
Antibody Source
Polyclonal Rabbit IgG
Format
BSA Free
Concentration
Concentrations vary lot to lot. See vial label for concentration. If unlisted please contact technical services.
Product Specifications
Immunogen
This antibody was developed against Recombinant Protein corresponding to amino acids: KFTNTQITEHYSTCIKLSTENKITTKNAFGLHLIDFMSEILKQKDTEPTNFKVAAGTLDASTKIYAVRVDAVHADVYRVLGGLGKDAPSLEEVEGHVADGSATEMGTTKKAVKPKKKHLHRTIEQNINNLNVSEADRKCEI
Reactivity Notes
Immunogen displays the following percentage of sequence identity for non-tested species: Mouse (81%), Rat (84%).
Localization
Subcellular
Clonality
Polyclonal
Host
Rabbit
Isotype
IgG
Theoretical MW
82 kDa.
Disclaimer note: The observed molecular weight of the protein may vary from the listed predicted molecular weight due to post translational modifications, post translation cleavages, relative charges, and other experimental factors.
Disclaimer note: The observed molecular weight of the protein may vary from the listed predicted molecular weight due to post translational modifications, post translation cleavages, relative charges, and other experimental factors.
Description
Novus Biologicals Rabbit NCAPH Antibody - BSA Free (NBP1-88345) is a polyclonal antibody validated for use in IHC, WB, ICC/IF and Simple Western. Anti-NCAPH Antibody: Cited in 3 publications. All Novus Biologicals antibodies are covered by our 100% guarantee.
Scientific Data Images for NCAPH Antibody - BSA Free
Immunocytochemistry/ Immunofluorescence: NCAPH Antibody [NBP1-88345]
Immunocytochemistry/Immunofluorescence: NCAPH Antibody [NBP1-88345] - Staining of human cell line U-2 OS shows localization to nucleus and cytosol. Antibody staining is shown in green.Immunohistochemistry-Paraffin: NCAPH Antibody [NBP1-88345]
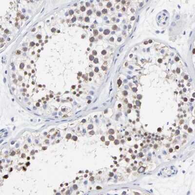
Immunohistochemistry-Paraffin: NCAPH Antibody [NBP1-88345] - Staining of human testis shows positivity in cells in seminiferous ducts.Applications for NCAPH Antibody - BSA Free
Application
Recommended Usage
Immunocytochemistry/ Immunofluorescence
0.25-2 ug/ml
Immunohistochemistry
1:50 - 1:200
Immunohistochemistry-Paraffin
1:50-1:200
Simple Western
1:20
Western Blot
0.04 - 0.4 ug/ml
Application Notes
For IHC-Paraffin, HIER pH 6 retrieval is recommended. ICC/IF Fixation Permeabilization: Use PFA/Triton X-100. In
In Simple Western only 10 - 15 uL of the recommended dilution is used per data point.
See Simple Western Antibody Database for Simple Western validation: Tested in RT-4 and U-251MG, separated by Size, antibody dilution of 1:20, apparent MW was 127 kDa. Separated by Size-Wes, Sally Sue/Peggy Sue.
In Simple Western only 10 - 15 uL of the recommended dilution is used per data point.
See Simple Western Antibody Database for Simple Western validation: Tested in RT-4 and U-251MG, separated by Size, antibody dilution of 1:20, apparent MW was 127 kDa. Separated by Size-Wes, Sally Sue/Peggy Sue.
Formulation, Preparation, and Storage
Purification
Immunogen affinity purified
Formulation
PBS (pH 7.2) and 40% Glycerol
Format
BSA Free
Preservative
0.02% Sodium Azide
Concentration
Concentrations vary lot to lot. See vial label for concentration. If unlisted please contact technical services.
Shipping
The product is shipped with polar packs. Upon receipt, store it immediately at the temperature recommended below.
Stability & Storage
Store at 4C short term. Aliquot and store at -20C long term. Avoid freeze-thaw cycles.
Background: NCAPH
Alternate Names
barren (Drosophila) homolog, barren homolog (Drosophila), barren homolog 1, barren homolog 1 (Drosophila), Barren homolog protein 1, BRRN, BRRN1CAP-H, CAPH, Chromosome-associated protein H, condensin complex subunit 2, HCAP-H, KIAA0074, Non-SMC condensin I complex subunit H, non-SMC condensin I complex, subunit H, XCAP-H homolog
Gene Symbol
NCAPH
Additional NCAPH Products
Product Documents for NCAPH Antibody - BSA Free
Product Specific Notices for NCAPH Antibody - BSA Free
This product is for research use only and is not approved for use in humans or in clinical diagnosis. Primary Antibodies are guaranteed for 1 year from date of receipt.
Loading...
Loading...
Loading...
Loading...