Skip to main content

Key Product Details

Validated by

Knockout/Knockdown

Species Reactivity

Human

Applications

Knockout Validated, Immunohistochemistry, Immunohistochemistry-Paraffin, Western Blot, ELISA, Flow Cytometry, Immunocytochemistry/ Immunofluorescence, Simple Western

Label

Unconjugated

Antibody Source

Monoclonal Mouse IgG2 Alpha Clone # 7E4A2

Format

BSA Free

Concentration

1.0 mg/ml

Product Specifications

Immunogen

Nbs1 Antibody (7E4A2) was made to partial recombinant human NBS1 (between residues 400-650) expressed in E. coli [Uniprot O60934]

Localization

Nucleus

Clonality

Monoclonal

Host

Mouse

Isotype

IgG2 Alpha

Theoretical MW

85 kDa.
Disclaimer note: The observed molecular weight of the protein may vary from the listed predicted molecular weight due to post translational modifications, post translation cleavages, relative charges, and other experimental factors.

Description

Novus Biologicals Knockout (KO) Validated Mouse Nbs1 Antibody (7E4A2) - BSA Free (NBP2-26297) is a monoclonal antibody validated for use in IHC, WB, ELISA, Flow, ICC/IF and Simple Western. All Novus Biologicals antibodies are covered by our 100% guarantee.

Scientific Data Images for Nbs1 Antibody (7E4A2) - BSA Free

Knockout Validated: Nbs1 Antibody (7E4A2) [NBP2-26297]

Western Blot: Nbs1 Antibody (7E4A2) [NBP2-26297]

Western Blot: Nbs1 Antibody (7E4A2) [NBP2-26297] - Western blot shows lysates of HeLa human cervical epithelial carcinoma parental cell line and Nbs1 knockout (KO) HeLa cell line. PVDF membrane was probed with 1:1000 of Mouse Anti-Human Polyclonal Nbs1 Antibody [NBP2-26297] followed by HRP-conjugated Anti-Mouse IgG Secondary Antibody [HAF018]. Specific band was detected for Nbs1 at approximately 95 kDa (as indicated) in the parental HeLa cell line, but is not detectable in the knockout HeLa cell line. This experiment was conducted under reducing conditions.
Immunocytochemistry/ Immunofluorescence: Nbs1 Antibody (7E4A2) [NBP2-26297]

Immunocytochemistry/ Immunofluorescence: Nbs1 Antibody (7E4A2) [NBP2-26297]

Immunocytochemistry/Immunofluorescence: Nbs1 Antibody (7E4A2) [NBP2-26297] - Analysis of Hela cells using mouse Nbs1 Antibody (7E4A2) [NBP2-26297] (green). Blue: DRAQ5 fluorescent DNA dye [NBP2-81125]. Red: Actin filaments have been labeled with Alexa Fluor-555 phalloidin.
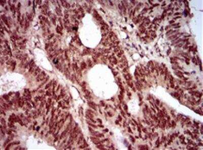
Immunohistochemistry: Nbs1 Antibody (7E4A2) [NBP2-26297]

Immunohistochemistry: Nbs1 Antibody (7E4A2) [NBP2-26297]

Immunohistochemistry: Nbs1 Antibody (7E4A2) [NBP2-26297] - Analysis of paraffin-embedded rectum cancer tissues using mouse Nbs1 Antibody (7E4A2) [NBP2-26297] with DAB staining.

Applications for Nbs1 Antibody (7E4A2) - BSA Free

Application
Recommended Usage

Flow Cytometry

1:200 - 1:400

Immunocytochemistry/ Immunofluorescence

1-50 - 1:100

Immunohistochemistry

1:200 - 1:1000

Simple Western

1:50

Western Blot

1:500 - 1:2000
Application Notes
In Simple Western only 10 - 15 uL of the recommended dilution is used per data point.
See Simple Western Antibody Database for Simple Western validation: Tested in HepG2 lysate 0.5 mg/mL, separated by Size, antibody dilution of 1:50, apparent MW was 71 kDa. Separated by Size-Wes, Sally Sue/Peggy Sue.

Formulation, Preparation, and Storage

Purification

Ammonium sulfate precipitation

Formulation

PBS, 0.5% proprietary protein stabilizer

Format

BSA Free

Preservative

0.05% Sodium Azide

Concentration

1.0 mg/ml

Shipping

The product is shipped with polar packs. Upon receipt, store it immediately at the temperature recommended below.

Stability & Storage

Store at 4C short term. Aliquot and store at -20C long term. Avoid freeze-thaw cycles.

Background: Nbs1

NBS1 (Nijmegen breakage syndrome protein 1, Nibrin) is the eukaryotic component of MRN complex (Mre11-Rad50-Nbs1) involved in homologous recombination repair for DNA double-strand breaks (DSBs) and DNA damage-induced checkpoint activation. NBS1, a nuclear protein with a theoretical molecular weight of 65-85 kDa, is composed of 2 functional regions: the forkhead associated (FHA) N-terminal domain (24-83 amino acids) and the breast cancer C-terminus (BRCT) domain (105-181 amino acids). Mutations in the NBN gene are associated with Nijmegen breakage syndrome, characterized by microcephaly, growth retardation, immunodeficiency, and an increased susceptibility to prostate cancer, lung cancer, liver cancer and intrahepatic cholangiocarcinoma (IHC) (1).

In DNA double strand break repair, the FHA/BRCT domains bind DNA damage sensor proteins including gamma H2AX (phospho Ser139), phosphorylated MDC1 and CtIP (CtBP-interacting protein). NBS1 then recruits the other members of the MRN complex, Mre11 and Rad50, to the proximity of DNA DSBs. The MRN complex has also been shown to interact with ATM or ATR kinases in the presence of DSBs or replication fork stalling, respectively. Phosphorylation of NBS1 at Ser 278 and Ser343 in response to ionizing radiation (IR) is dependent on ATM and is important for activation of the S phase checkpoint. The activation of ATM in response to DNA damage is also facilitated by MRN and may lead to induction of apoptosis (2, 3).

References

1. Bian L, Meng Y, Zhang M, Li D. (2019) MRE11-RAD50-NBS1 complex alterations and DNA damage response: implications for cancer treatment. Mol Cancer. 26;18(1):169. PMID: 31767017

2. Zhang Y, Zhou J, Lim CU. (2006) The role of NBS1 in DNA double strand break repair, telomere stability, and cell cycle checkpoint control. Cell Res. 16(1):45-54. PMID: 16467875

3. Komatsu K. NBS1 and multiple regulations of DNA damage response. (2016) J Radiat Res. 57 Suppl 1:i11-i17. PMID: 27068998

Long Name

Nijmegen Breakage Syndrome 1

Alternate Names

NBN, Nibrin, p95

Entrez Gene IDs

4683 (Human)

Gene Symbol

NBN

UniProt

Additional Nbs1 Products

Product Documents for Nbs1 Antibody (7E4A2) - BSA Free

Certificate of Analysis

To download a Certificate of Analysis, please enter a lot number in the search box below.

Product Specific Notices for Nbs1 Antibody (7E4A2) - BSA Free

This product is for research use only and is not approved for use in humans or in clinical diagnosis. Primary Antibodies are guaranteed for 1 year from date of receipt.

Loading...
Loading...
Loading...
Loading...
Loading...
Loading...