Skip to main content

NBPF3 Antibody - BSA Free

Novus Biologicals, part of Bio-Techne | Catalog # NBP2-46734

Novus Biologicals, part of Bio-Techne
Catalog #
Availability
Size / Price
Qty
Loading...
NBP2-46734

Key Product Details

Species Reactivity

Human

Applications

Immunohistochemistry, Immunohistochemistry-Paraffin, Western Blot

Label

Unconjugated

Antibody Source

Polyclonal Rabbit IgG

Format

BSA Free

Concentration

Concentrations vary lot to lot. See vial label for concentration. If unlisted please contact technical services.

Product Specifications

Immunogen

This antibody was developed against Recombinant Protein corresponding to amino acids: RELLDEKEPEVLQDSLDRCYSTPSGYLELP

Clonality

Polyclonal

Host

Rabbit

Isotype

IgG

Description

Novus Biologicals Rabbit NBPF3 Antibody - BSA Free (NBP2-46734) is a polyclonal antibody validated for use in IHC and WB. All Novus Biologicals antibodies are covered by our 100% guarantee.

Scientific Data Images for NBPF3 Antibody - BSA Free

Western Blot: NBPF3 Antibody [NBP2-46734]

Western Blot: NBPF3 Antibody [NBP2-46734]

Western Blot: NBPF12 Antibody [NBP2-46734] - Lane 1: Marker [kDa] 250, 130, 95, 72, 55, 36, 28, 17, 10. Lane 2: Human cell line RT-4. Lane 3: Human cell line U-251 MG. Lane 4: Human plasma Lane 5: Human Liver tissue. Lane 6: Human Tonsil tissue
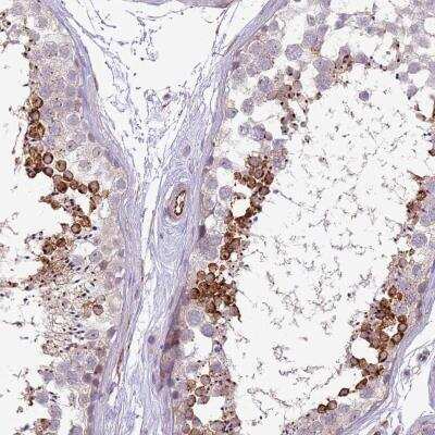
Immunohistochemistry: NBPF3 Antibody [NBP2-46734]

Immunohistochemistry: NBPF3 Antibody [NBP2-46734]

Immunohistochemistry: NBPF12 Antibody [NBP2-46734] - Staining of human testis shows strong cytoplasmic positivity in a subset of cells in seminiferous ducts.

Applications for NBPF3 Antibody - BSA Free

Application
Recommended Usage

Immunohistochemistry

1:20 - 1:50

Immunohistochemistry-Paraffin

1:20 - 1:50

Western Blot

0.04-0.4 ug/ml
Application Notes
For IHC-Paraffin, HIER pH 6 retrieval is recommended.

Formulation, Preparation, and Storage

Purification

Affinity purified

Formulation

PBS (pH 7.2) and 40% Glycerol

Format

BSA Free

Preservative

0.02% Sodium Azide

Concentration

Concentrations vary lot to lot. See vial label for concentration. If unlisted please contact technical services.

Shipping

The product is shipped with polar packs. Upon receipt, store it immediately at the temperature recommended below.

Stability & Storage

Store at 4C short term. Aliquot and store at -20C long term. Avoid freeze-thaw cycles.

Background: NBPF3

Alternate Names

AE2, Neuroblastoma Breakpoint Family Member 3, Neuroblastoma Breakpoint Family, Member 3, Protein AE2, Protein SHIIIa4

Gene Symbol

NBPF3

UniProt

Additional NBPF3 Products

Product Documents for NBPF3 Antibody - BSA Free

Certificate of Analysis

To download a Certificate of Analysis, please enter a lot number in the search box below.

Product Specific Notices for NBPF3 Antibody - BSA Free

This product is for research use only and is not approved for use in humans or in clinical diagnosis. Primary Antibodies are guaranteed for 1 year from date of receipt.

Loading...
Loading...
Loading...
Loading...