Skip to main content

NAV2 Antibody - Azide and BSA Free

Novus Biologicals, part of Bio-Techne | Catalog # NBP3-04796

Novus Biologicals, part of Bio-Techne
Catalog #
Availability
Size / Price
Qty
Loading...
NBP3-04796-100ul
NBP3-04796-20ul

Key Product Details

Species Reactivity

Human

Applications

Immunohistochemistry, Immunohistochemistry-Paraffin, Western Blot

Label

Unconjugated

Antibody Source

Polyclonal Rabbit IgG

Format

Azide and BSA Free

Concentration

Please see the vial label for concentration. If unlisted please contact technical services.

Product Specifications

Immunogen

Recombinant fusion protein containing a sequence corresponding to amino acids 1800-1980 of human NAV2 (NP_660093.2). EEMTDSSLPSSPKLPHNGSTGSTPLLRNSHSNSLISECMDSEAETVMQLRNELRDKEMKLTDIRLEALSSAHQLDQLREAMNRMQSEIEKLKAENDRLKSESQGSGCSRAPSQVSISASPRQSMGLSQHSLNLTESTSLDMLLDDTGECSARKEGGRHVKIVVSFQEEMKWKEDSRPHLFL

Clonality

Polyclonal

Host

Rabbit

Isotype

IgG

Theoretical MW

268 kDa.
Disclaimer note: The observed molecular weight of the protein may vary from the listed predicted molecular weight due to post translational modifications, post translation cleavages, relative charges, and other experimental factors.

Description

Novus Biologicals Rabbit NAV2 Antibody - Azide and BSA Free (NBP3-04796) is a polyclonal antibody validated for use in IHC and WB. All Novus Biologicals antibodies are covered by our 100% guarantee.

Scientific Data Images for NAV2 Antibody - Azide and BSA Free

Western Blot: NAV2 AntibodyAzide and BSA Free [NBP3-04796]

Western Blot: NAV2 AntibodyAzide and BSA Free [NBP3-04796]

Western Blot: NAV2 Antibody [NBP3-04796] - Analysis of extracts of various cell lines, using NAV2 antibody at 1:3000 dilution. Secondary antibody: HRP Goat Anti-Rabbit IgG (H+L) at 1:10000 dilution. Lysates/proteins: 25ug per lane. Blocking buffer: 3% nonfat dry milk in TBST. Detection: ECL Basic Kit
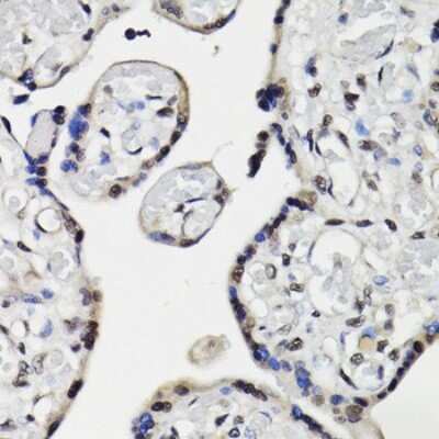
Immunohistochemistry-Paraffin: NAV2 Antibody - Azide and BSA Free [NBP3-04796]

Immunohistochemistry-Paraffin: NAV2 Antibody - Azide and BSA Free [NBP3-04796]

Immunohistochemistry-Paraffin: NAV2 Antibody [NBP3-04796] - Paraffin-embedded human placenta using NAV2 antibody at dilution of 1:100 (40x lens).

Applications for NAV2 Antibody - Azide and BSA Free

Application
Recommended Usage

Immunohistochemistry

1:50-1:100

Western Blot

1:500-1:2000

Formulation, Preparation, and Storage

Purification

Affinity purified

Formulation

PBS (pH 7.3), 50% glycerol

Format

Azide and BSA Free

Preservative

0.01% Thimerosal

Concentration

Please see the vial label for concentration. If unlisted please contact technical services.

Shipping

The product is shipped with polar packs. Upon receipt, store it immediately at the temperature recommended below.

Stability & Storage

Store at -20C. Avoid freeze-thaw cycles.

Background: NAV2

The vitamin A metabolite, all-trans retinoic acid (atRA), plays an important role in neuronal development, including neurite outgrowth. RAINB1 is an atRA-responsive gene.[supplied by OMIM]

Alternate Names

EC 3.6.4.12, FLJ10633, FLJ11030, FLJ23707, HELAD1UNC53H2, Helicase APC down-regulated 1, KIAA1419STEERIN2, neuron navigator 2, POMFIL2helicase, APC down-regulated 1, pore membrane and/or filament interacting like protein 2, Pore membrane and/or filament-interacting-like protein 2, RAINB1FLJ77876, retinoic acid inducible gene in neuroblastoma 1, Retinoic acid inducible in neuroblastoma 1, steerin-2, Unc-53 homolog 2, unc53H2

Gene Symbol

NAV2

Additional NAV2 Products

Product Documents for NAV2 Antibody - Azide and BSA Free

Certificate of Analysis

To download a Certificate of Analysis, please enter a lot number in the search box below.

Product Specific Notices for NAV2 Antibody - Azide and BSA Free

This product is for research use only and is not approved for use in humans or in clinical diagnosis. Primary Antibodies are guaranteed for 1 year from date of receipt.

Loading...
Loading...
Loading...
Loading...

⚠ WARNING: This product can expose you to chemicals including Methotrexate, which is known to the State of California to cause reproductive toxicity with developmental effects. For more information, go to www.P65Warnings.ca.gov