Skip to main content

Nav1.7 Antibody - BSA Free

Novus Biologicals, part of Bio-Techne | Catalog # NBP3-45426

Novus Biologicals, part of Bio-Techne
Catalog #
Availability
Size / Price
Qty
Loading...
NBP3-45426

Key Product Details

Species Reactivity

Human

Applications

Immunohistochemistry, Western Blot, ELISA, Immunocytochemistry/ Immunofluorescence

Label

Unconjugated

Antibody Source

Polyclonal Rabbit IgG

Format

BSA Free

Concentration

Please see the vial label for concentration. If unlisted please contact technical services.

Product Specifications

Immunogen

sodium channel, voltage-gated, type IX, alpha subunit. (Uniprot# Q15858)

Clonality

Polyclonal

Host

Rabbit

Isotype

IgG

Theoretical MW

228 kDa.
Disclaimer note: The observed molecular weight of the protein may vary from the listed predicted molecular weight due to post translational modifications, post translation cleavages, relative charges, and other experimental factors.

Description

Novus Biologicals Rabbit Nav1.7 Antibody - BSA Free (NBP3-45426) is a polyclonal antibody validated for use in IHC, WB, ELISA and ICC/IF. All Novus Biologicals antibodies are covered by our 100% guarantee.

Scientific Data Images for Nav1.7 Antibody - BSA Free

Nav1.7 Antibody - BSA Free

Western Blot: Nav1.7 Antibody - BSA Free [NBP3-45426] -

Western Blot: Nav1.7 Antibody - BSA Free [NBP3-45426] - A431 cells were subjected to SDS PAGE followed by western blot with (Nav1.7 antibody) at dilution of 1:500
Nav1.7 Antibody - BSA Free

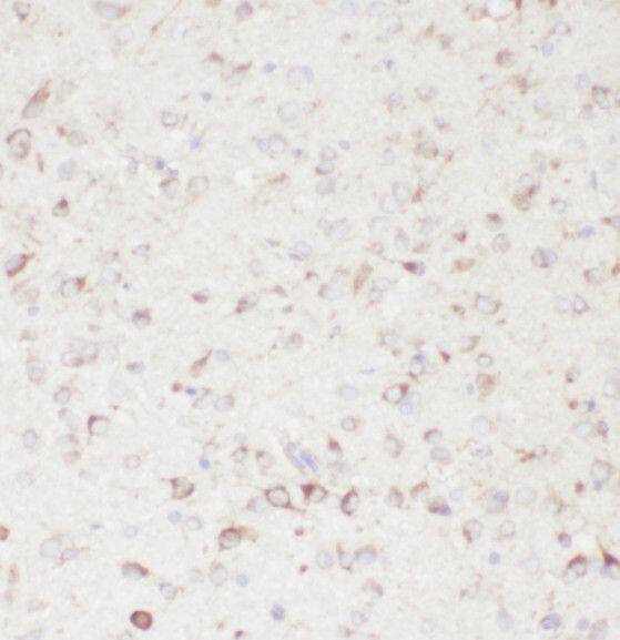
Immunohistochemistry: Nav1.7 Antibody - BSA Free [NBP3-45426] -

Immunohistochemistry: Nav1.7 Antibody - BSA Free [NBP3-45426] - Immunohistochemistry of paraffin-embedded human brain tissue slide using (Nav1.7 Antibody) at dilution of 1:200

Applications for Nav1.7 Antibody - BSA Free

Application
Recommended Usage

Immunocytochemistry/ Immunofluorescence

1:20-1:200

Immunohistochemistry

1:20-1:200

Western Blot

1:500-1:2000

Formulation, Preparation, and Storage

Purification

Immunogen affinity purified

Formulation

PBS, 50% Glycerol, pH (7.3)

Format

BSA Free

Preservative

0.02% Sodium Azide

Concentration

Please see the vial label for concentration. If unlisted please contact technical services.

Shipping

The product is shipped with polar packs. Upon receipt, store it immediately at the temperature recommended below.

Stability & Storage

Store at -20C. Avoid freeze-thaw cycles.

Background: Nav1.7

Mediates the voltage-dependent sodium ion permeability of excitable membranes. Assuming opened or closed conformations in response to the voltage difference across the membrane, the protein forms a sodium-selective channel through which Na(+) ions may pass in accordance with their electrochemical gradient. It is a tetrodotoxin-sensitive Na(+) channel isoform. Plays a role in pain mechanisms, especially in the development of inflammatory pain (from SwissProt).

Long Name

Sodium channel protein type 9 subunit alpha

Alternate Names

hNE-Na, Ne-Na, NENA, PN1, SCN9A

Gene Symbol

SCN9A

Additional Nav1.7 Products

Product Documents for Nav1.7 Antibody - BSA Free

Certificate of Analysis

To download a Certificate of Analysis, please enter a lot number in the search box below.

Product Specific Notices for Nav1.7 Antibody - BSA Free

This product is for research use only and is not approved for use in humans or in clinical diagnosis. Primary Antibodies are guaranteed for 1 year from date of receipt.

Loading...
Loading...
Loading...
Loading...